• 文献检索
  • 文档翻译
  • 深度研究
  • 学术资讯
  • Suppr Zotero 插件Zotero 插件
  • 邀请有礼
  • 套餐&价格
  • 历史记录
应用&插件
Suppr Zotero 插件Zotero 插件浏览器插件Mac 客户端Windows 客户端微信小程序
定价
高级版会员购买积分包购买API积分包
服务
文献检索文档翻译深度研究API 文档MCP 服务
关于我们
关于 Suppr公司介绍联系我们用户协议隐私条款
关注我们

Suppr 超能文献

核心技术专利:CN118964589B侵权必究
粤ICP备2023148730 号-1Suppr @ 2026

文献检索

告别复杂PubMed语法,用中文像聊天一样搜索,搜遍4000万医学文献。AI智能推荐,让科研检索更轻松。

立即免费搜索

文件翻译

保留排版,准确专业,支持PDF/Word/PPT等文件格式,支持 12+语言互译。

免费翻译文档

深度研究

AI帮你快速写综述,25分钟生成高质量综述,智能提取关键信息,辅助科研写作。

立即免费体验

肺泡微石症:一例报告并文献简要综述

Pulmonary alveolar microlithiasis: A case report and brief review of literature.

作者信息

Mohseni Ahangar Reza, Golparvar Azizi Mohammad, Babazadeh Sara, Hosseini Nasab Seyed Ali Akbar, Tavakoli Pirzaman Ali

机构信息

Department of Internal Medicine, Babol University of Medical Sciences, Babol, Iran.

Student Research Committee, Babol University of Medical Sciences, Babol, Iran.

出版信息

Caspian J Intern Med. 2025 Jun 23;16(3):570-576. doi: 10.22088/cjim.16.3.570. eCollection 2025 Summer.

DOI:10.22088/cjim.16.3.570
PMID:40786574
原文链接:https://pmc.ncbi.nlm.nih.gov/articles/PMC12329359/
Abstract

BACKGROUND

Pulmonary alveolar microlithiasis (PAM), a rare autosomal recessive pulmonary disease, is mainly characterized by extensive calcium phosphate microliths deposition in the alveoli. The major mutation, causing the characteristic of this disease, occurs in solute carrier family 34 members 2 (SLC34A2), which is placed on chromosome 4p15.2. SLC34A2 encodes sodium-phosphate cotransporter type IIb, NPT2b, which plays a critical role in the transportation of phosphate ions from pulmonary alveoli into type II pneumocytes.

CASE PRESENTATION

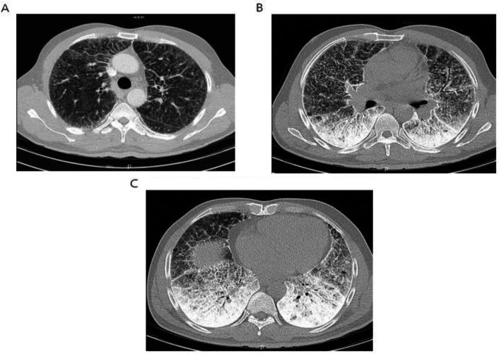
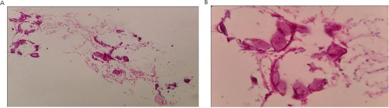
Herein, we have reported a 50-year-old male presented with recent sore throat, fever, and sweating. Radiological findings revealed bilateral micronodular pattern with diffuse ground glass attenuation in lower regions. Subsequent histologic examination of lung biopsy confirmed intra-alveolar accumulation of calculi and the diagnosis of PAM. In addition, we reviewed the literature narratively to clarify different aspects of PAM.

CONCLUSION

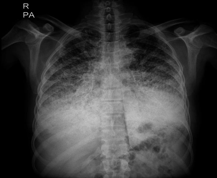
In this paper, we presented a sporadic case of PAM which was suspected with chest x-ray and confirmed by HRCT and trans-bronchial lung biopsy. We hope that it can help clinicians to be more aware of this condition and make proper diagnosis.

摘要

背景

肺泡微石症(PAM)是一种罕见的常染色体隐性遗传性肺部疾病,主要特征是肺泡内广泛的磷酸钙微结石沉积。导致该疾病特征的主要突变发生在位于4号染色体p15.2的溶质载体家族34成员2(SLC34A2)中。SLC34A2编码IIb型钠-磷酸盐共转运体NPT2b,其在磷酸根离子从肺泡转运至II型肺细胞过程中起关键作用。

病例报告

在此,我们报告了一名50岁男性,近期出现咽痛、发热和出汗症状。影像学检查发现双肺下叶有微结节影伴弥漫性磨玻璃影。随后的肺活检组织学检查证实肺泡内有结石堆积,确诊为PAM。此外,我们对相关文献进行了叙述性综述,以阐明PAM的不同方面。

结论

本文报告了一例散发的PAM病例,通过胸部X线检查怀疑,经高分辨率CT(HRCT)和经支气管肺活检确诊。我们希望这能帮助临床医生更好地认识这种疾病并做出正确诊断。

https://cdn.ncbi.nlm.nih.gov/pmc/blobs/84f2/12329359/92c7d1ce3c3c/cjim-16-3-570-g003.jpg
https://cdn.ncbi.nlm.nih.gov/pmc/blobs/84f2/12329359/411545c00951/cjim-16-3-570-g001.jpg
https://cdn.ncbi.nlm.nih.gov/pmc/blobs/84f2/12329359/787f28d3501c/cjim-16-3-570-g002.jpg
https://cdn.ncbi.nlm.nih.gov/pmc/blobs/84f2/12329359/92c7d1ce3c3c/cjim-16-3-570-g003.jpg
https://cdn.ncbi.nlm.nih.gov/pmc/blobs/84f2/12329359/411545c00951/cjim-16-3-570-g001.jpg
https://cdn.ncbi.nlm.nih.gov/pmc/blobs/84f2/12329359/787f28d3501c/cjim-16-3-570-g002.jpg
https://cdn.ncbi.nlm.nih.gov/pmc/blobs/84f2/12329359/92c7d1ce3c3c/cjim-16-3-570-g003.jpg

相似文献

1
Pulmonary alveolar microlithiasis: A case report and brief review of literature.肺泡微石症:一例报告并文献简要综述
Caspian J Intern Med. 2025 Jun 23;16(3):570-576. doi: 10.22088/cjim.16.3.570. eCollection 2025 Summer.
2
New insights in the genetic variant spectrum of SLC34A2 in pulmonary alveolar microlithiasis; a systematic review.肺肺泡微结石症中 SLC34A2 遗传变异谱的新见解;系统评价。
Orphanet J Rare Dis. 2023 May 31;18(1):130. doi: 10.1186/s13023-023-02712-7.
3
Signs and symptoms to determine if a patient presenting in primary care or hospital outpatient settings has COVID-19.在基层医疗机构或医院门诊环境中,如果患者出现以下症状和体征,可判断其是否患有 COVID-19。
Cochrane Database Syst Rev. 2022 May 20;5(5):CD013665. doi: 10.1002/14651858.CD013665.pub3.
4
Pulmonary alveolar microlithiasis: an interesting case report with systematic review of Indian literature.肺泡微石症:一例有趣的病例报告及对印度文献的系统综述
Front Med. 2015 Jun;9(2):229-38. doi: 10.1007/s11684-015-0394-y. Epub 2015 May 30.
5
Antibiotic treatment for non-tuberculous mycobacteria lung infection in people with cystic fibrosis.囊性纤维化患者非结核分枝杆菌肺部感染的抗生素治疗
Cochrane Database Syst Rev. 2025 Mar 27;3(3):CD016039. doi: 10.1002/14651858.CD016039.
6
Ventilator Management呼吸机管理
7
Severe Relapsing Hailey-Hailey Disease Displaying a Durable Complete Response to Hydroxyurea.严重复发性黑利-黑利病对羟基脲呈现持久完全缓解
Acta Dermatovenerol Croat. 2024 Nov;32(3):168-169.
8
[Volume and health outcomes: evidence from systematic reviews and from evaluation of Italian hospital data].[容量与健康结果:来自系统评价和意大利医院数据评估的证据]
Epidemiol Prev. 2013 Mar-Jun;37(2-3 Suppl 2):1-100.
9
Management of urinary stones by experts in stone disease (ESD 2025).结石病专家对尿路结石的管理(2025年结石病专家共识)
Arch Ital Urol Androl. 2025 Jun 30;97(2):14085. doi: 10.4081/aiua.2025.14085.
10
Can a Liquid Biopsy Detect Circulating Tumor DNA With Low-passage Whole-genome Sequencing in Patients With a Sarcoma? A Pilot Evaluation.液体活检能否通过低深度全基因组测序检测肉瘤患者的循环肿瘤DNA?一项初步评估。
Clin Orthop Relat Res. 2025 Jan 1;483(1):39-48. doi: 10.1097/CORR.0000000000003161. Epub 2024 Jun 21.

本文引用的文献

1
Pulmonary AL amyloidosis: A review and update on treatment options.肺AL型淀粉样变性:治疗选择的综述与更新
Ann Med Surg (Lond). 2022 Jul 8;80:104060. doi: 10.1016/j.amsu.2022.104060. eCollection 2022 Aug.
2
Pulmonary Alveolar Microlithiasis - A Review.肺肺泡微结石症——综述。
Yale J Biol Med. 2021 Dec 29;94(4):637-644. eCollection 2021 Dec.
3
Pulmonary Alveolar Microlithiasis: A Unique Case of Familial PAM Complicated by Transplant Rejection.肺泡微石症:一例并发移植排斥反应的家族性肺泡微石症的独特病例。
Case Rep Pathol. 2021 Apr 5;2021:6674173. doi: 10.1155/2021/6674173. eCollection 2021.
4
Pulmonary alveolar microlithiasis.肺肺泡微石症。
Eur Respir Rev. 2020 Nov 27;29(158). doi: 10.1183/16000617.0024-2020. Print 2020 Dec 31.
5
Pulmonary Alveolar Microlithiasis: An Isolated Case in a Hispanic Male.肺泡微石症:一名西班牙裔男性的孤立病例。
Case Rep Pathol. 2020 Mar 27;2020:6247920. doi: 10.1155/2020/6247920. eCollection 2020.
6
Pulmonary Alveolar Microlithiasis: A Case Report.肺泡微石症:一例报告
Oman Med J. 2020 Apr 20;35(2):e115. doi: 10.5001/omj.2020.33. eCollection 2020 Mar.
7
Pulmonary Alveolar Microlithiasis.肺肺泡微石症。
Semin Respir Crit Care Med. 2020 Apr;41(2):280-287. doi: 10.1055/s-0040-1702211. Epub 2020 Apr 12.
8
Calcium-solubilizing sodium thiosulfate failed to improve pulmonary alveolar microlithiasis: Evaluation of calcium content with CT scan.可溶解钙的硫代硫酸钠未能改善肺泡微石症:利用CT扫描评估钙含量
Respir Med Res. 2019 May;75:10-12. doi: 10.1016/j.resmer.2019.04.003. Epub 2019 Apr 17.
9
Pulmonary Alveolar Microlithiasis: A commonly misdiagnosed rare entity.肺泡微结石症:一种常被误诊的罕见病症。
Sultan Qaboos Univ Med J. 2018 May;18(2):e236-e238. doi: 10.18295/squmj.2018.18.02.021. Epub 2018 Sep 9.
10
Pulmonary alveolar microlithiasis: A case report and review of the literature.肺泡微石症:一例报告并文献复习
Exp Ther Med. 2018 Jan;15(1):831-837. doi: 10.3892/etm.2017.5457. Epub 2017 Nov 7.