Suppr超能文献

脊椎包虫囊肿:并非最常见的部位。病例报告。

Vertebral hydatidosis cyst: Not the most common location. A case report.

作者信息

Bennasser Abdallah, El Mostarchid Ahmed, El Bqaq Ibtissam, Jiddane Mohamed, Touarsa Firdaous

机构信息

Department of Radiology, Specialty hospital, Rabat, Morocco.

出版信息

Radiol Case Rep. 2025 Jul 30;20(10):5246-5250. doi: 10.1016/j.radcr.2025.06.086. eCollection 2025 Oct.

Abstract

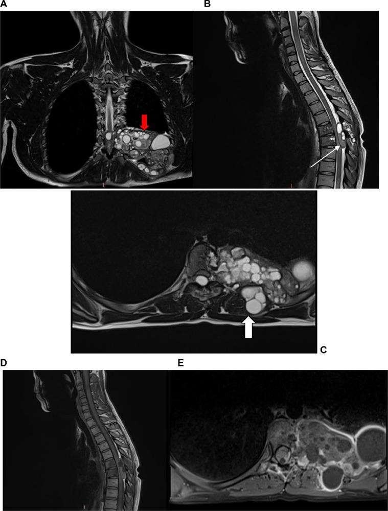
Hydatid cyst is a well-known pathology today. Although uncommon in Western countries, it remains endemic in countries with a strong livestock culture. It is caused by , whose larval form develops in herbivores, primarily sheep, before infecting dogs. Humans, however, are considered accidental hosts. In the vast majority of cases, the liver and then the lungs are affected, but any organ can be involved, leading to atypical locations. Here, we present the case of a 32-year-old female patient who presented with a clinical picture of back pain and slow spinal cord compression. Imaging revealed a 12 cm polycystic dorsal costovertebral mass compressing the spinal cord. A decompressive laminectomy was performed, resulting in a reduction of spasticity.

摘要

包虫囊肿如今是一种广为人知的病理学疾病。尽管在西方国家并不常见,但在有着浓厚畜牧文化的国家中仍属地方病。它由[某种寄生虫]引起,其幼虫形式在食草动物,主要是绵羊体内发育,之后感染犬类。然而,人类被视为意外宿主。在绝大多数情况下,肝脏继而肺部会受到影响,但任何器官都可能受累,导致出现非典型部位。在此,我们报告一例32岁女性患者,其临床表现为背痛和脊髓缓慢受压。影像学检查显示一个12厘米的多囊性背侧肋椎肿块压迫脊髓。实施了减压性椎板切除术,痉挛症状有所减轻。

https://cdn.ncbi.nlm.nih.gov/pmc/blobs/e40e/12335942/cccd702e0150/gr1.jpg

文献AI研究员

20分钟写一篇综述,助力文献阅读效率提升50倍。

立即体验

用中文搜PubMed

大模型驱动的PubMed中文搜索引擎

马上搜索

文档翻译

学术文献翻译模型,支持多种主流文档格式。

立即体验