• 文献检索
  • 文档翻译
  • 深度研究
  • 学术资讯
  • Suppr Zotero 插件Zotero 插件
  • 邀请有礼
  • 套餐&价格
  • 历史记录
应用&插件
Suppr Zotero 插件Zotero 插件浏览器插件Mac 客户端Windows 客户端微信小程序
定价
高级版会员购买积分包购买API积分包
服务
文献检索文档翻译深度研究API 文档MCP 服务
关于我们
关于 Suppr公司介绍联系我们用户协议隐私条款
关注我们

Suppr 超能文献

核心技术专利:CN118964589B侵权必究
粤ICP备2023148730 号-1Suppr @ 2026

文献检索

告别复杂PubMed语法,用中文像聊天一样搜索,搜遍4000万医学文献。AI智能推荐,让科研检索更轻松。

立即免费搜索

文件翻译

保留排版,准确专业,支持PDF/Word/PPT等文件格式,支持 12+语言互译。

免费翻译文档

深度研究

AI帮你快速写综述,25分钟生成高质量综述,智能提取关键信息,辅助科研写作。

立即免费体验

NXF1通过与SRSF3相互作用来调节SP4剪接,从而抑制子宫内膜癌的进展。

NXF1 suppresses progression of endometrial cancer by interacting with the SRSF3 to regulate SP4 splicing.

作者信息

Meng Nan, Li Lingjun, Yang Xueqin, Tang Hui, Wang Jizhong, Zhang Songbai, Xia Zongbao, Yao Jia, Zhang Qi, Hu Changrong, Su Chunjie, Duan Rui

机构信息

Jingmen Central Hospital, Jingmen Central Hospital Affiliated to Jingchu University of Technology, HuBei 448000, China.

Institute of Cancer Clinical Prevention and Control, Medical Department of Jingchu University of Technology, HuBei 448000, China.

出版信息

iScience. 2025 Jul 22;28(8):113113. doi: 10.1016/j.isci.2025.113113. eCollection 2025 Aug 15.

DOI:10.1016/j.isci.2025.113113
PMID:40792019
原文链接:https://pmc.ncbi.nlm.nih.gov/articles/PMC12335961/
Abstract

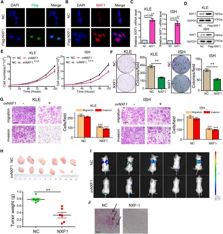
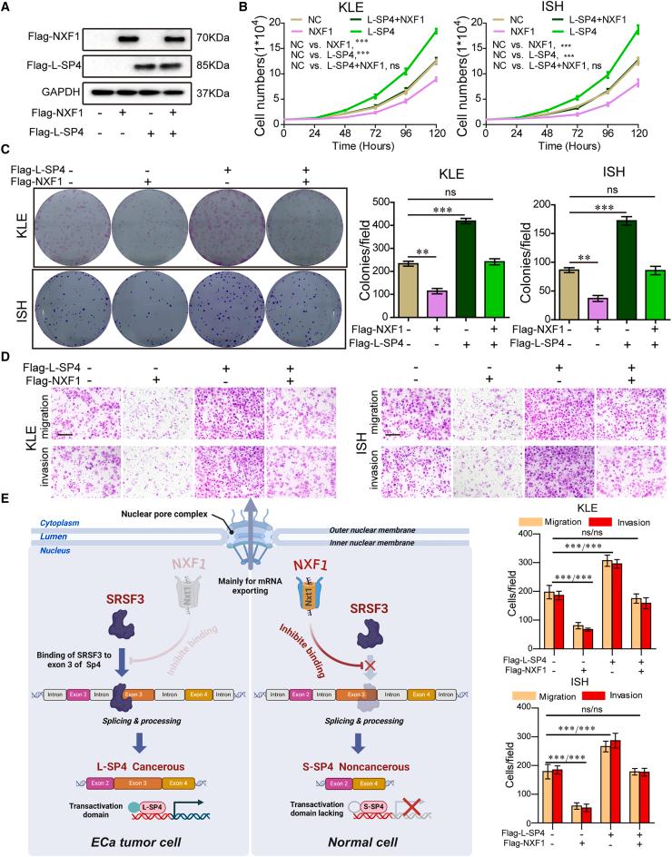
Conventional treatments for advanced endometriosis often have limited efficacy due to chemotherapy resistance, recurrence, and metastasis. This study analyzed clinical specimens to investigate the role of NXF1 in endometrial cancer (ECa) progression. Mouse models and molecular biology assays were used to elucidate NXF1's function and mechanisms and . Results showed NXF1 expression was negatively correlated with histological grade and poor patient prognosis. NXF1 inhibited ECa cell proliferation, colony formation, migration, and invasion , and suppressed tumor growth and metastasis . Mechanistically, NXF1 interferes with the binding of SRSF3 to exon 3 of SP4, preventing the formation of the "cancerous" long SP4 isoform (L-SP4) and promoting the "noncancerous" short SP4 isoform (S-SP4), which lacks the transactivation domain. In conclusion, NXF1 suppresses ECa tumorigenicity and progression through an SRSF3-mediated SP4 alternative splicing mechanism, and could serve as a novel prognostic biomarker for clinical intervention in ECa.

摘要

由于化疗耐药、复发和转移,晚期子宫内膜异位症的传统治疗方法往往疗效有限。本研究分析了临床标本,以探讨NXF1在子宫内膜癌(ECa)进展中的作用。使用小鼠模型和分子生物学实验来阐明NXF1的功能和机制。结果显示,NXF1表达与组织学分级及患者预后不良呈负相关。NXF1抑制ECa细胞增殖、集落形成、迁移和侵袭,并抑制肿瘤生长和转移。机制上,NXF1干扰SRSF3与SP4外显子3的结合,阻止“致癌性”长SP4异构体(L-SP4)的形成,并促进缺乏反式激活结构域的“非致癌性”短SP4异构体(S-SP4)的形成。总之,NXF1通过SRSF3介导的SP4可变剪接机制抑制ECa的致瘤性和进展,并可作为ECa临床干预的新型预后生物标志物。

https://cdn.ncbi.nlm.nih.gov/pmc/blobs/94f7/12335961/46d10a23a7c3/gr8.jpg
https://cdn.ncbi.nlm.nih.gov/pmc/blobs/94f7/12335961/1a0710983c7f/fx1.jpg
https://cdn.ncbi.nlm.nih.gov/pmc/blobs/94f7/12335961/2bad3fee184e/gr1.jpg
https://cdn.ncbi.nlm.nih.gov/pmc/blobs/94f7/12335961/a2af9e1cf43e/gr2.jpg
https://cdn.ncbi.nlm.nih.gov/pmc/blobs/94f7/12335961/b41dd8bd8e9c/gr3.jpg
https://cdn.ncbi.nlm.nih.gov/pmc/blobs/94f7/12335961/240e989db98c/gr4.jpg
https://cdn.ncbi.nlm.nih.gov/pmc/blobs/94f7/12335961/d6c46f400e2b/gr5.jpg
https://cdn.ncbi.nlm.nih.gov/pmc/blobs/94f7/12335961/6fa7b58b1767/gr6.jpg
https://cdn.ncbi.nlm.nih.gov/pmc/blobs/94f7/12335961/4cc7e213369b/gr7.jpg
https://cdn.ncbi.nlm.nih.gov/pmc/blobs/94f7/12335961/46d10a23a7c3/gr8.jpg
https://cdn.ncbi.nlm.nih.gov/pmc/blobs/94f7/12335961/1a0710983c7f/fx1.jpg
https://cdn.ncbi.nlm.nih.gov/pmc/blobs/94f7/12335961/2bad3fee184e/gr1.jpg
https://cdn.ncbi.nlm.nih.gov/pmc/blobs/94f7/12335961/a2af9e1cf43e/gr2.jpg
https://cdn.ncbi.nlm.nih.gov/pmc/blobs/94f7/12335961/b41dd8bd8e9c/gr3.jpg
https://cdn.ncbi.nlm.nih.gov/pmc/blobs/94f7/12335961/240e989db98c/gr4.jpg
https://cdn.ncbi.nlm.nih.gov/pmc/blobs/94f7/12335961/d6c46f400e2b/gr5.jpg
https://cdn.ncbi.nlm.nih.gov/pmc/blobs/94f7/12335961/6fa7b58b1767/gr6.jpg
https://cdn.ncbi.nlm.nih.gov/pmc/blobs/94f7/12335961/4cc7e213369b/gr7.jpg
https://cdn.ncbi.nlm.nih.gov/pmc/blobs/94f7/12335961/46d10a23a7c3/gr8.jpg

相似文献

1
NXF1 suppresses progression of endometrial cancer by interacting with the SRSF3 to regulate SP4 splicing.NXF1通过与SRSF3相互作用来调节SP4剪接,从而抑制子宫内膜癌的进展。
iScience. 2025 Jul 22;28(8):113113. doi: 10.1016/j.isci.2025.113113. eCollection 2025 Aug 15.
2
Cost-effectiveness of using prognostic information to select women with breast cancer for adjuvant systemic therapy.利用预后信息为乳腺癌患者选择辅助性全身治疗的成本效益
Health Technol Assess. 2006 Sep;10(34):iii-iv, ix-xi, 1-204. doi: 10.3310/hta10340.
3
Unveiling the molecular mechanisms of human platelet lysate in enhancing endometrial receptivity.揭示人血小板裂解物增强子宫内膜容受性的分子机制。
Hum Reprod. 2025 Jul 15. doi: 10.1093/humrep/deaf118.
4
Systemic treatments for metastatic cutaneous melanoma.转移性皮肤黑色素瘤的全身治疗
Cochrane Database Syst Rev. 2018 Feb 6;2(2):CD011123. doi: 10.1002/14651858.CD011123.pub2.
5
FCGBP promotes ovarian cancer progression via activation of IL-6/JAK-STAT signaling pathway.FCGBP通过激活IL-6/JAK-STAT信号通路促进卵巢癌进展。
J Transl Med. 2025 Jul 25;23(1):827. doi: 10.1186/s12967-025-06854-z.
6
The novel ferroptosis-inducing molecule can inhibit the progression of BC by regulating the ubiquitination of UHRF1.这种新型的铁死亡诱导分子可通过调节UHRF1的泛素化来抑制乳腺癌的进展。
Epigenomics. 2025 Jul 16:1-15. doi: 10.1080/17501911.2025.2530923.
7
Integrin αVβ1-activated PYK2 promotes the progression of non-small-cell lung cancer via the STAT3-VGF axis.整合素 αVβ1 激活的 PYK2 通过 STAT3-VGF 轴促进非小细胞肺癌的进展。
Cell Commun Signal. 2024 Jun 6;22(1):313. doi: 10.1186/s12964-024-01639-1.
8
Are Current Survival Prediction Tools Useful When Treating Subsequent Skeletal-related Events From Bone Metastases?当前的生存预测工具在治疗骨转移后的骨骼相关事件时有用吗?
Clin Orthop Relat Res. 2024 Sep 1;482(9):1710-1721. doi: 10.1097/CORR.0000000000003030. Epub 2024 Mar 22.
9
Stratifying IVF population endometria using a prognosis gradient independent of endometrial timing†.使用独立于子宫内膜时间的预后梯度对体外受精人群的子宫内膜进行分层†
Hum Reprod. 2025 Aug 12. doi: 10.1093/humrep/deaf156.
10
Prognostic significance and immune infiltration analysis of HMGA2 in endometrial cancer.HMGA2在子宫内膜癌中的预后意义及免疫浸润分析
Front Immunol. 2025 Jul 9;16:1559278. doi: 10.3389/fimmu.2025.1559278. eCollection 2025.

本文引用的文献

1
Gene Architecture and Sequence Composition Underpin Selective Dependency of Nuclear Export of Long RNAs on NXF1 and the TREX Complex.基因结构和序列组成是长 RNA 核输出依赖于 NXF1 和 TREX 复合物的选择性基础。
Mol Cell. 2020 Jul 16;79(2):251-267.e6. doi: 10.1016/j.molcel.2020.05.013. Epub 2020 Jun 5.
2
Small Protein Hidden in lncRNA Promotes "Cancerous" RNA Splicing and Tumorigenesis.隐藏在长链非编码RNA中的小蛋白促进“癌性”RNA剪接和肿瘤发生。
Adv Sci (Weinh). 2020 Mar 11;7(10):1903233. doi: 10.1002/advs.201903233. eCollection 2020 May.
3
The RNA-binding protein AKAP8 suppresses tumor metastasis by antagonizing EMT-associated alternative splicing.
RNA 结合蛋白 AKAP8 通过拮抗 EMT 相关的可变剪接抑制肿瘤转移。
Nat Commun. 2020 Jan 24;11(1):486. doi: 10.1038/s41467-020-14304-1.
4
PKM2-dependent glycolysis promotes the proliferation and migration of vascular smooth muscle cells during atherosclerosis.PKM2 依赖性糖酵解促进动脉粥样硬化过程中血管平滑肌细胞的增殖和迁移。
Acta Biochim Biophys Sin (Shanghai). 2020 Jan 2;52(1):9-17. doi: 10.1093/abbs/gmz135.
5
Targeting transcription factors in cancer - from undruggable to reality.靶向癌症转录因子——从不可成药到现实。
Nat Rev Cancer. 2019 Nov;19(11):611-624. doi: 10.1038/s41568-019-0196-7. Epub 2019 Sep 11.
6
SRSF3-Regulated RNA Alternative Splicing Promotes Glioblastoma Tumorigenicity by Affecting Multiple Cellular Processes.SRSF3 调控的 RNA 可变剪接通过影响多种细胞过程促进神经胶质瘤的肿瘤发生。
Cancer Res. 2019 Oct 15;79(20):5288-5301. doi: 10.1158/0008-5472.CAN-19-1504. Epub 2019 Aug 28.
7
A Heterochromatin-Specific RNA Export Pathway Facilitates piRNA Production.异染色质特异性 RNA 输出途径促进 piRNA 的产生。
Cell. 2019 Aug 8;178(4):964-979.e20. doi: 10.1016/j.cell.2019.07.007.
8
Co-transcriptional Loading of RNA Export Factors Shapes the Human Transcriptome.RNA 输出因子的共转录加载塑造了人类转录组。
Mol Cell. 2019 Jul 25;75(2):310-323.e8. doi: 10.1016/j.molcel.2019.04.034. Epub 2019 May 16.
9
Alternative-splicing defects in cancer: Splicing regulators and their downstream targets, guiding the way to novel cancer therapeutics.癌症中的可变剪接缺陷:剪接调控因子及其下游靶点,为新型癌症治疗方法指明方向。
Wiley Interdiscip Rev RNA. 2018 Jul;9(4):e1476. doi: 10.1002/wrna.1476. Epub 2018 Apr 25.
10
Specificity Protein Transcription Factors and Cancer: Opportunities for Drug Development.特异性蛋白转录因子与癌症:药物研发的机遇。
Cancer Prev Res (Phila). 2018 Jul;11(7):371-382. doi: 10.1158/1940-6207.CAPR-17-0407. Epub 2018 Mar 15.