• 文献检索
  • 文档翻译
  • 深度研究
  • 学术资讯
  • Suppr Zotero 插件Zotero 插件
  • 邀请有礼
  • 套餐&价格
  • 历史记录
应用&插件
Suppr Zotero 插件Zotero 插件浏览器插件Mac 客户端Windows 客户端微信小程序
定价
高级版会员购买积分包购买API积分包
服务
文献检索文档翻译深度研究API 文档MCP 服务
关于我们
关于 Suppr公司介绍联系我们用户协议隐私条款
关注我们

Suppr 超能文献

核心技术专利:CN118964589B侵权必究
粤ICP备2023148730 号-1Suppr @ 2026

文献检索

告别复杂PubMed语法,用中文像聊天一样搜索,搜遍4000万医学文献。AI智能推荐,让科研检索更轻松。

立即免费搜索

文件翻译

保留排版,准确专业,支持PDF/Word/PPT等文件格式,支持 12+语言互译。

免费翻译文档

深度研究

AI帮你快速写综述,25分钟生成高质量综述,智能提取关键信息,辅助科研写作。

立即免费体验

心力衰竭后心肌重塑的组织病理学分析:一例尸体病例报告。

Histopathological Analysis of Myocardial Remodeling Following Heart Failure: A Cadaveric Case Report.

作者信息

DeSomma Anthony, Lee Jeung Woon

机构信息

Anatomy, Lake Erie College of Osteopathic Medicine, Bradenton, USA.

School of Dental Medicine, Lake Erie College of Osteopathic Medicine, Bradenton, USA.

出版信息

Cureus. 2025 Jul 14;17(7):e87889. doi: 10.7759/cureus.87889. eCollection 2025 Jul.

DOI:10.7759/cureus.87889
PMID:40809625
原文链接:https://pmc.ncbi.nlm.nih.gov/articles/PMC12345069/
Abstract

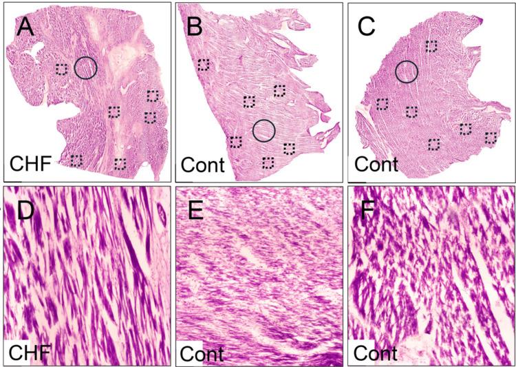
Cardiovascular disease and aging are key contributors to myocardial remodeling, often leading to fibrosis, cellular hypertrophy, and impaired cardiac function. Understanding these structural changes is essential for explaining the pathophysiology of heart failure. This study examined histopathological changes in myocardial tissue from a post-mortem cadaver with heart failure. Two age-matched cadavers without cardiac disease were used as controls. Ventricular tissue samples were thin-sectioned and stained for collagen deposition and cellular morphology using Masson's Trichrome and Cresyl Violet dyes. Histopathological findings showed the presence of increased collagen deposition and fibrosis in the myocardial tissue with heart failure, consistent with a stiffened myocardium. Additionally, Cresyl Violet staining showed cardiomyocyte hypertrophy compared to control samples, suggesting cellular remodeling, which is well characterized following heart failure. These findings provide further histological evidence of myocardial remodeling in heart failure, characterized by fibrosis and cardiomyocyte hypertrophy. Further quantitative analysis is needed to deepen our understanding of these pathological changes and their implications for cardiac function.

摘要

心血管疾病和衰老都是心肌重塑的关键因素,常常导致纤维化、细胞肥大以及心脏功能受损。了解这些结构变化对于解释心力衰竭的病理生理学至关重要。本研究检查了一名心力衰竭尸检尸体心肌组织的组织病理学变化。选取两名年龄匹配的无心脏病尸体作为对照。将心室组织样本制成薄片,使用Masson三色染色法和甲酚紫染料对胶原沉积和细胞形态进行染色。组织病理学结果显示,心力衰竭心肌组织中胶原沉积和纤维化增加,这与心肌僵硬一致。此外,与对照样本相比,甲酚紫染色显示心肌细胞肥大,提示细胞重塑,这在心力衰竭后表现明显。这些发现为心力衰竭时以纤维化和心肌细胞肥大特征的心肌重塑提供了进一步的组织学证据。需要进一步的定量分析来加深我们对这些病理变化及其对心脏功能影响的理解。

https://cdn.ncbi.nlm.nih.gov/pmc/blobs/c500/12345069/a1a39c2b2b28/cureus-0017-00000087889-i05.jpg
https://cdn.ncbi.nlm.nih.gov/pmc/blobs/c500/12345069/dc687ff7eaa3/cureus-0017-00000087889-i01.jpg
https://cdn.ncbi.nlm.nih.gov/pmc/blobs/c500/12345069/eb87b48d9420/cureus-0017-00000087889-i02.jpg
https://cdn.ncbi.nlm.nih.gov/pmc/blobs/c500/12345069/a6088f893abd/cureus-0017-00000087889-i03.jpg
https://cdn.ncbi.nlm.nih.gov/pmc/blobs/c500/12345069/0b94e14899dc/cureus-0017-00000087889-i04.jpg
https://cdn.ncbi.nlm.nih.gov/pmc/blobs/c500/12345069/a1a39c2b2b28/cureus-0017-00000087889-i05.jpg
https://cdn.ncbi.nlm.nih.gov/pmc/blobs/c500/12345069/dc687ff7eaa3/cureus-0017-00000087889-i01.jpg
https://cdn.ncbi.nlm.nih.gov/pmc/blobs/c500/12345069/eb87b48d9420/cureus-0017-00000087889-i02.jpg
https://cdn.ncbi.nlm.nih.gov/pmc/blobs/c500/12345069/a6088f893abd/cureus-0017-00000087889-i03.jpg
https://cdn.ncbi.nlm.nih.gov/pmc/blobs/c500/12345069/0b94e14899dc/cureus-0017-00000087889-i04.jpg
https://cdn.ncbi.nlm.nih.gov/pmc/blobs/c500/12345069/a1a39c2b2b28/cureus-0017-00000087889-i05.jpg

相似文献

1
Histopathological Analysis of Myocardial Remodeling Following Heart Failure: A Cadaveric Case Report.心力衰竭后心肌重塑的组织病理学分析:一例尸体病例报告。
Cureus. 2025 Jul 14;17(7):e87889. doi: 10.7759/cureus.87889. eCollection 2025 Jul.
2
Beta-blockers in patients without heart failure after myocardial infarction.心肌梗死后无心力衰竭的患者使用β受体阻滞剂。
Cochrane Database Syst Rev. 2021 Nov 5;11(11):CD012565. doi: 10.1002/14651858.CD012565.pub2.
3
Prescription of Controlled Substances: Benefits and Risks管制药品的处方:益处与风险
4
Histopathological Study of Varicose Veins with Special Emphasis on Masson Trichrome and Verhoeff's van Gieson Stains.静脉曲张的组织病理学研究,特别着重于马松三色染色法和魏尔啸-范吉森染色法
Niger Postgrad Med J. 2025 Jul 1;32(3):187-191. doi: 10.4103/npmj.npmj_42_25. Epub 2025 Aug 1.
5
Canagliflozin Ameliorates Myocardial Fibrosis and Cardiac Function in Chronic Heart Failure: A Dose-Independent Therapeutic Approach.卡格列净改善慢性心力衰竭中的心肌纤维化和心脏功能:一种剂量非依赖性治疗方法。
J Cell Mol Med. 2025 Aug;29(15):e70718. doi: 10.1111/jcmm.70718.
6
Sex-specific cardiac remodeling in aged rats after adolescent chronic stress: associations with endocrine and metabolic factors.青春期慢性应激后老年大鼠心脏性别特异性重构:与内分泌和代谢因素的关系。
Biol Sex Differ. 2024 Aug 23;15(1):65. doi: 10.1186/s13293-024-00639-7.
7
A Transient Increase in Cardiomyocyte Protein O-GlcNAcylation Enhances Susceptibility to Pressure Overload-Induced Cardiac Remodeling.心肌细胞蛋白O-连接N-乙酰葡糖胺化的短暂增加增强了对压力超负荷诱导的心脏重塑的易感性。
bioRxiv. 2025 Jun 7:2025.06.04.657956. doi: 10.1101/2025.06.04.657956.
8
Inhibiting Fibronectin Attenuates Fibrosis and Improves Cardiac Function in a Model of Heart Failure.抑制纤维连接蛋白可减轻心力衰竭模型中的纤维化并改善心功能。
Circulation. 2018 Sep 18;138(12):1236-1252. doi: 10.1161/CIRCULATIONAHA.118.034609.
9
Inhaled mannitol for cystic fibrosis.吸入用甘露醇治疗囊性纤维化。
Cochrane Database Syst Rev. 2018 Feb 9;2(2):CD008649. doi: 10.1002/14651858.CD008649.pub3.
10
Mitochondrial Tumor Suppressor 1A Attenuates Myocardial Infarction Injury by Maintaining the Coupling Between Mitochondria and Endoplasmic Reticulum.线粒体肿瘤抑制因子1A通过维持线粒体与内质网之间的偶联减轻心肌梗死损伤。
Circulation. 2025 Jun 30. doi: 10.1161/CIRCULATIONAHA.124.069737.

本文引用的文献

1
Comparison of ante- and postmortem ventricular wall thickness using echocardiography and autopsy findings.使用超声心动图和尸检结果比较生前和死后心室壁厚度。
Virchows Arch. 2025 Apr;486(4):833-842. doi: 10.1007/s00428-024-03960-z. Epub 2024 Nov 8.
2
Demographic and clinical characteristics of New York City Health + Hospitals HIV Heart Failure (NYC4H cohort): cohort profile.纽约市健康与医院艾滋病毒心力衰竭(NYC4H 队列)的人口统计学和临床特征:队列特征。
BMJ Open. 2024 Oct 29;14(10):e085081. doi: 10.1136/bmjopen-2024-085081.
3
Detection, Isolation and Quantification of Myocardial Infarct with Four Different Histological Staining Techniques.
四种不同组织学染色技术对心肌梗死的检测、分离与定量分析
Diagnostics (Basel). 2024 Oct 18;14(20):2325. doi: 10.3390/diagnostics14202325.
4
Left ventricular remodelling post-myocardial infarction: pathophysiology, imaging, and novel therapies.心肌梗死后左心室重构:病理生理学、影像学及新疗法
Eur Heart J. 2022 Jul 14;43(27):2549-2561. doi: 10.1093/eurheartj/ehac223.
5
Extracellular Matrix in Heart Disease: Focus on Circulating Collagen Type I and III Derived Peptides as Biomarkers of Myocardial Fibrosis and Their Potential in the Prognosis of Heart Failure: A Concise Review.心脏病中的细胞外基质:聚焦循环中的I型和III型胶原衍生肽作为心肌纤维化生物标志物及其在心力衰竭预后中的潜力:简要综述
Metabolites. 2022 Mar 28;12(4):297. doi: 10.3390/metabo12040297.
6
Arrhythmias in adults with congenital heart disease and heart failure.患有先天性心脏病和心力衰竭的成人心律失常
Heart Rhythm O2. 2021 Dec 17;2(6Part B):744-753. doi: 10.1016/j.hroo.2021.10.005. eCollection 2021 Dec.
7
Mechanisms and Models in Heart Failure: A Translational Approach.心力衰竭的机制与模型:转化医学方法。
Circ Res. 2021 May 14;128(10):1435-1450. doi: 10.1161/CIRCRESAHA.121.318158. Epub 2021 May 13.
8
Progression of Myocardial Fibrosis in Nonischemic DCM and Association With Mortality and Heart Failure Outcomes.非缺血性 DCM 中心肌纤维化的进展及其与死亡率和心力衰竭结局的关系。
JACC Cardiovasc Imaging. 2021 Jul;14(7):1338-1350. doi: 10.1016/j.jcmg.2020.11.006. Epub 2021 Jan 13.
9
Collagen Cross-Linking Is Associated With Cardiac Remodeling in Hypertrophic Obstructive Cardiomyopathy.胶原交联与肥厚型梗阻性心肌病的心脏重构相关。
J Am Heart Assoc. 2021 Jan 5;10(1):e017752. doi: 10.1161/JAHA.120.017752. Epub 2020 Dec 25.
10
Cardiac fibrosis.心肌纤维化。
Cardiovasc Res. 2021 May 25;117(6):1450-1488. doi: 10.1093/cvr/cvaa324.