Suppr超能文献

H5N1病毒通过“口到乳头”传播方式侵入奶牛的乳腺。

H5N1 virus invades the mammary glands of dairy cattle through 'mouth-to-teat' transmission.

作者信息

Shi Jianzhong, Kong Huihui, Cui Pengfei, Deng Guohua, Zeng Xianying, Jiang Yongping, He Xijun, Zhang Xianfeng, Chen Lei, Zhuang Yichao, Wang Yan, Ma Jinming, Li Jiaqi, Zhang Yaping, Wang Congcong, He Chen, Yang Jiaxin, Li Jiongjie, Liu Wenyu, Yang Jinyu, Mao Shenggang, Liu Jinxiong, Chen Pucheng, Tian Guobin, Li Chengjun, Guan Yuntao, Bu Zhigao, Chen Hualan

机构信息

State Key Laboratory of Animal Disease Control, Harbin Veterinary Research Institute, Chinese Academy of Agricultural Sciences, Harbin 150069, China.

National High Containment Laboratory for Animal Disease Control and Prevention, Harbin 150069, China.

出版信息

Natl Sci Rev. 2025 Jul 1;12(9):nwaf262. doi: 10.1093/nsr/nwaf262. eCollection 2025 Sep.

Abstract

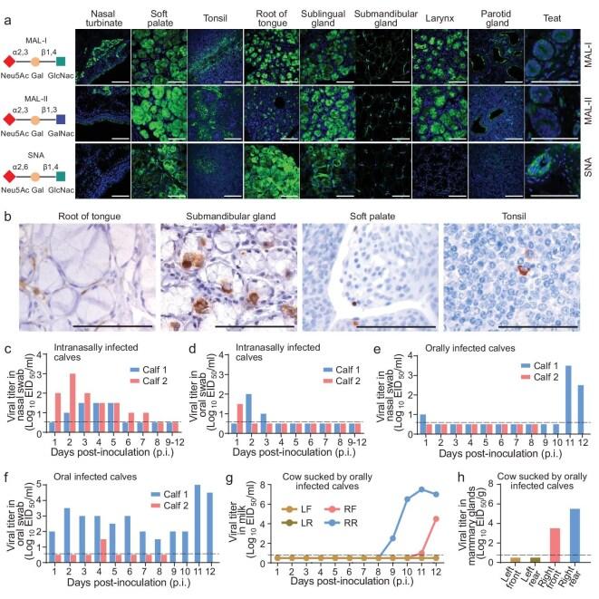
H5N1 influenza outbreaks have been reported on more than 1070 dairy farms across 17 states in the USA. Damage to the mammary gland and high levels of virus in milk were common features of the infected cattle, but it is unclear how the virus initially invades the mammary glands, and no control strategy is currently available. Here, we found that cattle oral tissues support H5N1 virus binding and replication, and virus replicating in the mouth of cattle transmitted to the mammary glands of dairy cattle during sucking. We also found that an H5 inactivated vaccine or a hemagglutinin-based DNA vaccine induced sterilizing immunity in cows against challenges with different H5N1 viruses. Our study provides insights into H5N1 virus transmission and control in cattle.

摘要

美国17个州的1070多个奶牛场报告了H5N1流感疫情。乳腺受损和牛奶中病毒含量高是受感染奶牛的常见特征,但目前尚不清楚病毒最初是如何侵入乳腺的,且目前没有可用的控制策略。在此,我们发现牛口腔组织支持H5N1病毒结合和复制,在牛口腔中复制的病毒在吸吮过程中传播到奶牛的乳腺。我们还发现,一种H5灭活疫苗或一种基于血凝素的DNA疫苗可诱导奶牛产生针对不同H5N1病毒攻击的无菌免疫。我们的研究为牛H5N1病毒的传播和控制提供了见解。

https://cdn.ncbi.nlm.nih.gov/pmc/blobs/3ef3/12342610/f192020730c5/nwaf262fig1.jpg

文献检索

告别复杂PubMed语法,用中文像聊天一样搜索,搜遍4000万医学文献。AI智能推荐,让科研检索更轻松。

立即免费搜索

文件翻译

保留排版,准确专业,支持PDF/Word/PPT等文件格式,支持 12+语言互译。

免费翻译文档

深度研究

AI帮你快速写综述,25分钟生成高质量综述,智能提取关键信息,辅助科研写作。

立即免费体验