Suppr超能文献

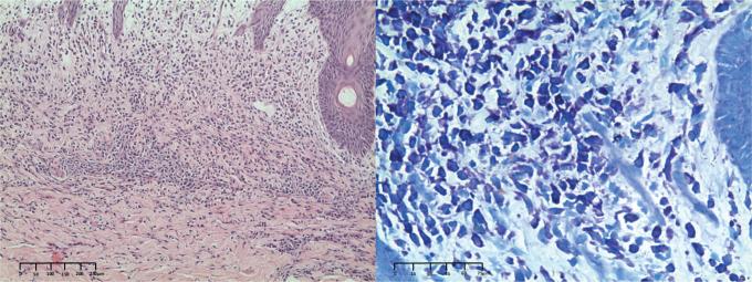
A 9-month-old Child with Diffuse Cutaneous Bullous Erythema: A Quiz.

作者信息

Hua Shengyuan, Chen Jing, Qian Qiufang, Zhang Jia

机构信息

Department of Dermatology, Shanghai Children's Hospital, School of medicine, Shanghai Jiao Tong University, Shanghai, Chin.

Shanghai Municipal Hospital of Traditional Chinese Medicine, Shanghai University of Traditional Chinese Medicine, Shanghai, China.

出版信息

Acta Derm Venereol. 2025 Aug 21;105:adv43939. doi: 10.2340/actadv.v105.43939.

Abstract
摘要
https://cdn.ncbi.nlm.nih.gov/pmc/blobs/2f31/12382381/26dc85ff1699/ActaDV-105-43939-g001.jpg

相似文献

1
A 9-month-old Child with Diffuse Cutaneous Bullous Erythema: A Quiz.
Acta Derm Venereol. 2025 Aug 21;105:adv43939. doi: 10.2340/actadv.v105.43939.
2
A widespread blistering eruption: diffuse cutaneous mastocytosis.
Dermatol Online J. 2023 Dec 15;29(6). doi: 10.5070/D329663004.
3
Bullous Pemphigoid Masquerading as Erythema Annulare Centrifugum.
Acta Dermatovenerol Croat. 2017 Oct;25(3):255-256.
6
Cutaneous Mass with Indurated Erythema in the Right Popliteal Fossa: A Quiz.
Acta Derm Venereol. 2025 Jul 11;105:adv43722. doi: 10.2340/actadv.v105.43722.
7
Diffuse cutaneous bullous mastocytosis with IgM deposits at dermo-epidermal junction.
J Cutan Pathol. 2016 Mar;43(3):263-9. doi: 10.1111/cup.12635. Epub 2015 Oct 29.
8
Two cases of annular erythema without bullous lesions by autoimmune blistering diseases.
Mod Rheumatol. 2018 Jan;28(1):200-202. doi: 10.3109/14397595.2015.1081721. Epub 2015 Oct 19.
9
Diffuse cutaneous mastocytosis with bullous lesions and pulmonary involvement: a rare case.
Indian J Dermatol. 2015 Mar-Apr;60(2):179-81. doi: 10.4103/0019-5154.152522.

文献AI研究员

20分钟写一篇综述,助力文献阅读效率提升50倍。

立即体验

用中文搜PubMed

大模型驱动的PubMed中文搜索引擎

马上搜索

文档翻译

学术文献翻译模型,支持多种主流文档格式。

立即体验