Suppr超能文献

胃:两例报告。

Gastric : A Report on Two Cases.

作者信息

Chen Yaomin, Liu Yu, Fu Zhiyan

机构信息

Department of Pathology, LSUHSC School of Medicine, New Orleans, LA 70112, USA.

出版信息

Reports (MDPI). 2025 Aug 1;8(3):128. doi: 10.3390/reports8030128.

Abstract

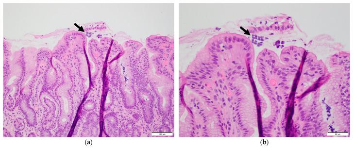
: is a rare Gram-positive coccus that thrives in acidic environments such as the human stomach. It has been increasingly identified in individuals with delayed gastric emptying and has been reported in association with various gastric disorders. However, its exact pathogenic role is not fully understood and remains controversial. : We present two cases of patients, one with a small bowel obstruction and the other with epigastric pain, both diagnosed with infection by histological examination of gastric biopsies. The patients were managed with a combination of antibiotics and a proton pump inhibitor, resulting in symptom resolution and clearance of upon follow-up examinations. : This report explores the pathogenicity of by documenting its presence in symptomatic patients without other identifiable pathogens and demonstrating complete symptom resolution following targeted therapy. These findings raise the possibility of 's pathogenic potential under specific clinical conditions, suggesting it may act as more than a benign colonizer.

摘要

[细菌名称]是一种罕见的革兰氏阳性球菌,在诸如人类胃部等酸性环境中生长旺盛。它在胃排空延迟的个体中越来越多地被发现,并已报道与各种胃部疾病有关。然而,其确切的致病作用尚未完全了解,仍存在争议。我们报告两例患者,一例患有小肠梗阻,另一例患有上腹部疼痛,两者均通过胃活检组织学检查诊断为[细菌名称]感染。患者接受抗生素和质子泵抑制剂联合治疗,随访检查时症状缓解且[细菌名称]清除。本报告通过记录其在无其他可识别病原体的有症状患者中的存在,并证明靶向治疗后症状完全缓解,探讨了[细菌名称]的致病性。这些发现增加了[细菌名称]在特定临床条件下致病潜力的可能性,表明它可能不仅仅是一种良性定植菌。

https://cdn.ncbi.nlm.nih.gov/pmc/blobs/657f/12371949/cd865d8a928e/reports-08-00128-g001.jpg

文献AI研究员

20分钟写一篇综述,助力文献阅读效率提升50倍。

立即体验

用中文搜PubMed

大模型驱动的PubMed中文搜索引擎

马上搜索

文档翻译

学术文献翻译模型,支持多种主流文档格式。

立即体验