Suppr超能文献

具有相互学习的联邦元数据约束iRadonMAP框架用于一体化计算机断层扫描成像

Federated Metadata-Constrained iRadonMAP Framework with Mutual Learning for All-in-One Computed Tomography Imaging.

作者信息

Wang Hao, Zhang Xiaoyu, Guo Hengtao, Ren Xuebin, Wang Shipeng, Fan Fenglei, Ma Jianhua, Zeng Dong

机构信息

School of Biomedical Engineering, Southern Medical University, Guangzhou 510515, China.

Seattle, WA, USA.

出版信息

Cyborg Bionic Syst. 2025 Aug 27;6:0376. doi: 10.34133/cbsystems.0376. eCollection 2025.

Abstract

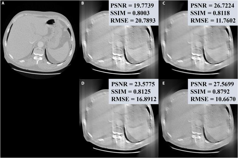
With the increasing use of computed tomography (CT), concerns about radiation dose have grown. Deep-learning-based methods have shown great promise in improving low-dose CT image quality while further reducing patient dose. However, most deep-learning-based methods are trained on vendor-specific CT datasets with varying imaging conditions and dose levels, which results in poor generalizability across vendors due to marked data heterogeneity. Moreover, the centralization of multicenter datasets is restricted by the high costs of data collection and privacy regulations. To overcome these challenges, we propose FedM2CT, a federated metadata-constrained method with mutual learning for all-in-one CT reconstruction. This method enables simultaneous reconstruction of multivendor CT images with different imaging geometries and sampling protocols in one framework. Specifically, FedM2CT consists of 3 modules: task-specific iRadonMAP (TS-iRadonMAP), condition-prompted mutual learning (CPML), and federated metadata learning (FMDL). TS-iRadonMAP performs task-specific low-dose reconstruction, CPML shares condition-prompted knowledge between clients and the server, and FMDL aggregates model parameters with a metamodel to effectively mitigate the effect of data heterogeneity. Extensive experiments under 3 different settings demonstrate that the proposed FedM2CT achieves outstanding results compared to other methods, both qualitatively and quantitatively, showing the potential to achieve the goal of all-in-one CT reconstruction with different low-dose tasks, i.e., low-milliampere-second, sparse-view, and limited-angle.

摘要

随着计算机断层扫描(CT)的使用日益增加,对辐射剂量的担忧也与日俱增。基于深度学习的方法在提高低剂量CT图像质量的同时进一步降低患者剂量方面显示出巨大潜力。然而,大多数基于深度学习的方法是在具有不同成像条件和剂量水平的特定厂商CT数据集上进行训练的,由于显著的数据异质性,这导致跨厂商的泛化能力较差。此外,多中心数据集的集中化受到数据收集高成本和隐私法规的限制。为了克服这些挑战,我们提出了FedM2CT,一种用于一体化CT重建的具有相互学习的联邦元数据约束方法。该方法能够在一个框架中同时重建具有不同成像几何形状和采样协议的多厂商CT图像。具体而言,FedM2CT由3个模块组成:特定任务的iRadonMAP(TS-iRadonMAP)、条件提示相互学习(CPML)和联邦元数据学习(FMDL)。TS-iRadonMAP执行特定任务的低剂量重建,CPML在客户端和服务器之间共享条件提示知识,FMDL使用元模型聚合模型参数以有效减轻数据异质性的影响。在3种不同设置下进行的大量实验表明,与其他方法相比,所提出的FedM2CT在定性和定量方面均取得了出色的结果,显示出实现不同低剂量任务(即低毫安秒、稀疏视图和有限角度)一体化CT重建目标的潜力。

https://cdn.ncbi.nlm.nih.gov/pmc/blobs/03ad/12381943/f10cfdaa3123/cbsystems.0376.fig.001.jpg

文献AI研究员

20分钟写一篇综述,助力文献阅读效率提升50倍。

立即体验

用中文搜PubMed

大模型驱动的PubMed中文搜索引擎

马上搜索

文档翻译

学术文献翻译模型,支持多种主流文档格式。

立即体验