• 文献检索
  • 文档翻译
  • 深度研究
  • 学术资讯
  • Suppr Zotero 插件Zotero 插件
  • 邀请有礼
  • 套餐&价格
  • 历史记录
应用&插件
Suppr Zotero 插件Zotero 插件浏览器插件Mac 客户端Windows 客户端微信小程序
定价
高级版会员购买积分包购买API积分包
服务
文献检索文档翻译深度研究API 文档MCP 服务
关于我们
关于 Suppr公司介绍联系我们用户协议隐私条款
关注我们

Suppr 超能文献

核心技术专利:CN118964589B侵权必究
粤ICP备2023148730 号-1Suppr @ 2026

文献检索

告别复杂PubMed语法,用中文像聊天一样搜索,搜遍4000万医学文献。AI智能推荐,让科研检索更轻松。

立即免费搜索

文件翻译

保留排版,准确专业,支持PDF/Word/PPT等文件格式,支持 12+语言互译。

免费翻译文档

深度研究

AI帮你快速写综述,25分钟生成高质量综述,智能提取关键信息,辅助科研写作。

立即免费体验

胆囊切除术后16年发生胆石性肠梗阻?

Gallstone ileus 16 years postcholecystectomy?

作者信息

Tarar Roma, Rahman Anishur

机构信息

New York Institute of Technology College of Osteopathic Medicine, 100 Northern Blvd Glen Head, Old Westbury, NY 11542, USA.

UHS Wilson Medical Center, 33-57 Harrison St, Johnson City, NY 13790, USA.

出版信息

Radiol Case Rep. 2025 Aug 22;20(11):5668-5675. doi: 10.1016/j.radcr.2025.07.060. eCollection 2025 Nov.

DOI:10.1016/j.radcr.2025.07.060
PMID:40894996
原文链接:https://pmc.ncbi.nlm.nih.gov/articles/PMC12397815/
Abstract

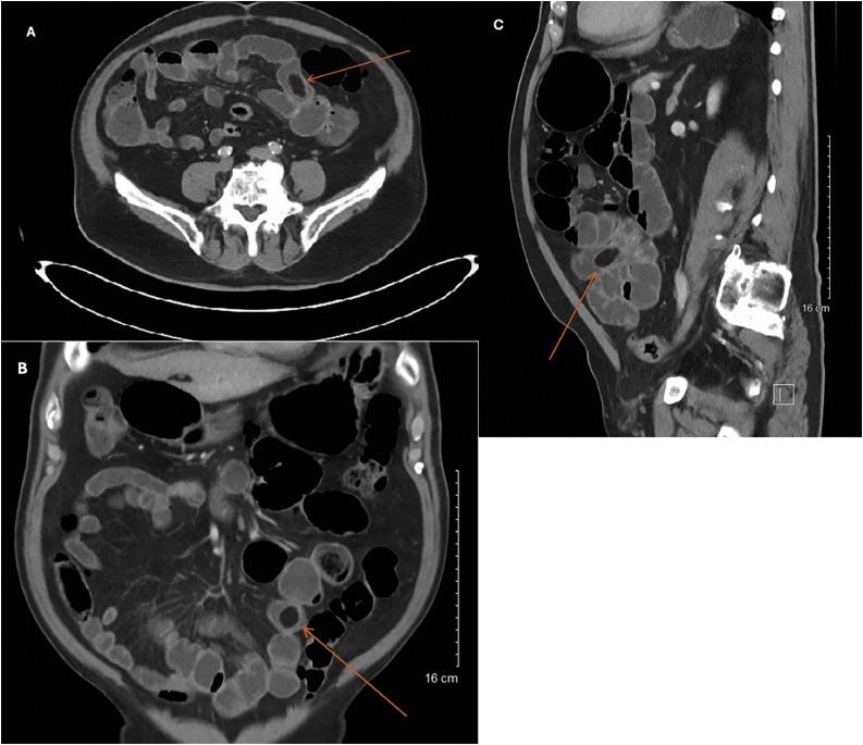
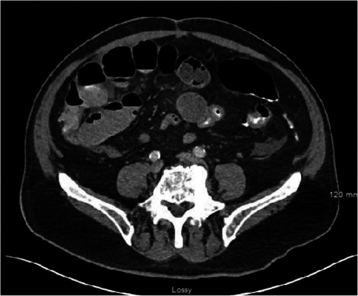
Gallstone ileus, a rare complication of cholecystitis, occurs when the distal ileum becomes obstructed by gallstone causing, mechanical bowel obstruction. Gallstone ileus with history of cholecystectomy is exceptionally rare, with few cases documented in literature. This case report details the discovery of a large, impacted gallstone 16 years postcholecystectomy. An 87-year-old male presented with progressively worsening right-sided abdominal pain over 2-3 days. Exploratory laparotomy unveiled a 2.0 cm × 2.5 cm gallstone was obstructing the terminal ileum. Patient improved remarkably postoperatively and was discharged with resolution of symptoms. A potential cause for this large gallstone impaction within the terminal ileum is gallstone ileus, which can be explained with history of intentional or unintentional subtotal cholecystectomy or long cystic duct remnant. Both rare occurrences that allow gallstone formation or passage through a chronic cholecystoduodenal fistula due to inflammatory changes. With increasing trend toward subtotal cholecystectomies and division of cystic duct closer to the gallbladder neck, this case could potentially be explained as a gallstone ileus, despite extended postoperative intervals.

摘要

胆石性肠梗阻是胆囊炎的一种罕见并发症,当远端回肠被胆结石阻塞导致机械性肠梗阻时发生。有胆囊切除术史的胆石性肠梗阻极为罕见,文献中记载的病例很少。本病例报告详细描述了胆囊切除术后16年发现的一枚巨大嵌顿胆结石。一名87岁男性在2至3天内出现右侧腹痛逐渐加重。剖腹探查发现一枚2.0厘米×2.5厘米的胆结石阻塞了回肠末端。患者术后明显好转,症状缓解后出院。回肠末端出现这种巨大胆结石嵌顿的一个潜在原因是胆石性肠梗阻,这可以用有意或无意的次全胆囊切除术史或长胆囊管残端来解释。这两种罕见情况都因炎症变化而导致胆结石形成或通过慢性胆囊十二指肠瘘管。随着次全胆囊切除术以及在更靠近胆囊颈部处切断胆囊管的趋势增加,尽管术后间隔时间较长,本病例仍可能被解释为胆石性肠梗阻。

https://cdn.ncbi.nlm.nih.gov/pmc/blobs/2010/12397815/92df96f4d6ea/gr3.jpg
https://cdn.ncbi.nlm.nih.gov/pmc/blobs/2010/12397815/65e430d97e2c/gr1.jpg
https://cdn.ncbi.nlm.nih.gov/pmc/blobs/2010/12397815/1fb0075d23ec/gr2.jpg
https://cdn.ncbi.nlm.nih.gov/pmc/blobs/2010/12397815/92df96f4d6ea/gr3.jpg
https://cdn.ncbi.nlm.nih.gov/pmc/blobs/2010/12397815/65e430d97e2c/gr1.jpg
https://cdn.ncbi.nlm.nih.gov/pmc/blobs/2010/12397815/1fb0075d23ec/gr2.jpg
https://cdn.ncbi.nlm.nih.gov/pmc/blobs/2010/12397815/92df96f4d6ea/gr3.jpg

相似文献

1
Gallstone ileus 16 years postcholecystectomy?胆囊切除术后16年发生胆石性肠梗阻?
Radiol Case Rep. 2025 Aug 22;20(11):5668-5675. doi: 10.1016/j.radcr.2025.07.060. eCollection 2025 Nov.
2
"An unusual cause of small bowel obstruction: Gallstone ileus, a rare presentation of chronic gallstone disease".小肠梗阻的一种罕见病因:胆石性肠梗阻,慢性胆石病的一种罕见表现
Int J Surg Case Rep. 2025 Oct;135:111894. doi: 10.1016/j.ijscr.2025.111894. Epub 2025 Sep 4.
3
Prescription of Controlled Substances: Benefits and Risks管制药品的处方:益处与风险
4
Gallstone ileus: What to do, when, and why: A case-based review of surgical options.胆结石性肠梗阻:如何做、何时做以及为何做:基于病例的手术选择综述
Int J Surg Case Rep. 2025 Sep;134:111684. doi: 10.1016/j.ijscr.2025.111684. Epub 2025 Jul 18.
5
Gallstones (Cholelithiasis)胆结石(胆石症)
6
An unusual case of gallstone ileus with rare spontaneous resolution and literature review.一例罕见的自发缓解型胆石性肠梗阻病例及文献综述
J Surg Case Rep. 2025 Aug 15;2025(8):rjaf634. doi: 10.1093/jscr/rjaf634. eCollection 2025 Aug.
7
Gallstone ileus with Rigler's triad in a 68-year-old male: An uncommon cause of intestinal obstruction.一名68岁男性患胆囊结石性肠梗阻并伴有里格勒三联征:肠梗阻的罕见病因。
Radiol Case Rep. 2025 Jun 24;20(9):4526-4529. doi: 10.1016/j.radcr.2025.05.085. eCollection 2025 Sep.
8
Management of urinary stones by experts in stone disease (ESD 2025).结石病专家对尿路结石的管理(2025年结石病专家共识)
Arch Ital Urol Androl. 2025 Jun 30;97(2):14085. doi: 10.4081/aiua.2025.14085.
9
Successful endoscopic mechanical lithotripsy for post-ERCP gallstone ileus: a case report.内镜下机械碎石术成功治疗ERCP术后胆石性肠梗阻:一例报告
Front Med (Lausanne). 2025 Jul 2;12:1604835. doi: 10.3389/fmed.2025.1604835. eCollection 2025.
10
Gallstone ileus associated with obstructive jaundice and intestinal ischemia: a case report.胆囊结石性肠梗阻合并梗阻性黄疸及肠缺血:一例报告
J Surg Case Rep. 2025 Aug 21;2025(8):rjaf544. doi: 10.1093/jscr/rjaf544. eCollection 2025 Aug.

本文引用的文献

1
Clinical and patient-reported outcomes following subtotal cholecystectomy: 10-year single-institution experience.胆囊次全切除术后的临床及患者报告结局:单机构10年经验
Surgery. 2025 Mar;179:108805. doi: 10.1016/j.surg.2024.07.060. Epub 2024 Oct 2.
2
A systematic review on laparoscopic subtotal cholecystectomy for difficult gallbladders: a lifesaving bailout or an incomplete operation?腹腔镜胆囊次全切除术治疗困难性胆囊的系统评价:是救命的后备方案还是不完整的手术?
Ann R Coll Surg Engl. 2024 Mar;106(3):205-212. doi: 10.1308/rcsann.2023.0008. Epub 2023 Jun 27.
3
Surgical management of cystic duct stump calculi causing post-cholecystectomy syndrome: A prospective study.
胆囊切除术后综合征中胆囊管残端结石的外科治疗:一项前瞻性研究。
J Minim Access Surg. 2023 Apr-Jun;19(2):257-262. doi: 10.4103/jmas.jmas_75_22.
4
The SCARE 2023 guideline: updating consensus Surgical CAse REport (SCARE) guidelines.SCARE 2023 指南:更新共识外科病例报告(SCARE)指南。
Int J Surg. 2023 May 1;109(5):1136-1140. doi: 10.1097/JS9.0000000000000373.
5
Length of the Remnant Cystic Duct and Bile Duct Stone Recurrence: a Case‒Control Study.残余胆囊管长度与胆管结石复发的关系:病例对照研究。
J Gastrointest Surg. 2023 Jun;27(6):1122-1129. doi: 10.1007/s11605-023-05607-x. Epub 2023 Mar 1.
6
Laparoscopic management of gallstone ileus: A case report and literature review.腹腔镜治疗胆石性肠梗阻:一例报告及文献综述
Int J Surg Case Rep. 2021 Aug;85:106171. doi: 10.1016/j.ijscr.2021.106171. Epub 2021 Jul 7.
7
Pyogenic hepatic abscesses secondary to choledocholithiasis eight years post-cholecystectomy: A case report.胆囊切除术后八年继发于胆总管结石的化脓性肝脓肿:一例报告
Eur J Radiol Open. 2020 Dec 8;7:100292. doi: 10.1016/j.ejro.2020.100292. eCollection 2020.
8
Mystery of the lost gallstone-Part 1.丢失胆结石之谜——第一部分。
Clin Case Rep. 2020 Jul 16;8(11):2310-2311. doi: 10.1002/ccr3.3129. eCollection 2020 Nov.
9
Primary Choledocholithiasis 15 Years Postcholecystectomy.胆囊切除术后15年发生原发性胆总管结石
Case Rep Med. 2020 Oct 26;2020:3265010. doi: 10.1155/2020/3265010. eCollection 2020.
10
Laparoscopic subtotal cholecystectomy: comparison of reconstituting and fenestrating techniques.腹腔镜胆囊次全切除术:重建技术与开窗技术的比较。
Surg Endosc. 2021 Mar;35(3):1014-1024. doi: 10.1007/s00464-020-08096-0. Epub 2020 Oct 30.