Suppr超能文献

不明原因的腹腔内脓肿:一例病例报告及文献综述

Unexplained Intra-abdominal Abscess: A Case Report and Literature Review.

作者信息

Ramesh Babu Yatin Srinivash, Thornton Alison, Gil Ramon, Snow Jeffrey

机构信息

Medicine, Dr. Kiran C. Patel College of Osteopathic Medicine, Nova Southeastern University, Fort Lauderdale, USA.

General Surgery, Hospital Corporation of America (HCA) Florida Northwest Hospital, Margate, USA.

出版信息

Cureus. 2025 Jul 29;17(7):e89011. doi: 10.7759/cureus.89011. eCollection 2025 Jul.

Abstract

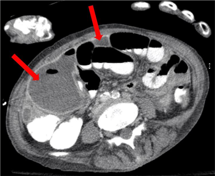
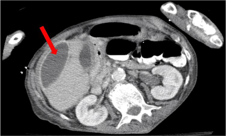
This is the case of a 65-year-old female patient with chronic obstructive pulmonary disease (COPD) who presented following a fall and was found to have a humeral fracture. Initial evaluation showed sepsis of unknown origin, leukocytosis, and elevated inflammatory markers. Persistent abdominal pain prompted imaging studies, which showed multiloculated intra-abdominal abscesses. Ultrasound-guided drainage yielded . Antibiotics, along with percutaneous drainage, resulted in a good clinical response. Follow-up imaging revealed a decrease in the abscess size, with no evidence of a fistula. This case highlights the diagnostic challenges of intra-abdominal abscesses and the importance of timely imaging in patients presenting with sepsis and nonspecific symptoms.

摘要

这是一名65岁患有慢性阻塞性肺疾病(COPD)的女性患者的病例,她在跌倒后就诊,被发现有肱骨骨折。初步评估显示有不明原因的脓毒症、白细胞增多和炎症标志物升高。持续的腹痛促使进行影像学检查,结果显示有多处腹腔内脓肿。超声引导下引流取得了……抗生素联合经皮引流产生了良好的临床反应。后续影像学检查显示脓肿大小减小,没有瘘管的迹象。该病例突出了腹腔内脓肿的诊断挑战以及对出现脓毒症和非特异性症状患者进行及时影像学检查的重要性。

https://cdn.ncbi.nlm.nih.gov/pmc/blobs/61ff/12398322/cb326ce93afb/cureus-0017-00000089011-i01.jpg

文献检索

告别复杂PubMed语法,用中文像聊天一样搜索,搜遍4000万医学文献。AI智能推荐,让科研检索更轻松。

立即免费搜索

文件翻译

保留排版,准确专业,支持PDF/Word/PPT等文件格式,支持 12+语言互译。

免费翻译文档

深度研究

AI帮你快速写综述,25分钟生成高质量综述,智能提取关键信息,辅助科研写作。

立即免费体验