• 文献检索
  • 文档翻译
  • 深度研究
  • 学术资讯
  • Suppr Zotero 插件Zotero 插件
  • 邀请有礼
  • 套餐&价格
  • 历史记录
应用&插件
Suppr Zotero 插件Zotero 插件浏览器插件Mac 客户端Windows 客户端微信小程序
定价
高级版会员购买积分包购买API积分包
服务
文献检索文档翻译深度研究API 文档MCP 服务
关于我们
关于 Suppr公司介绍联系我们用户协议隐私条款
关注我们

Suppr 超能文献

核心技术专利:CN118964589B侵权必究
粤ICP备2023148730 号-1Suppr @ 2026

文献检索

告别复杂PubMed语法,用中文像聊天一样搜索,搜遍4000万医学文献。AI智能推荐,让科研检索更轻松。

立即免费搜索

文件翻译

保留排版,准确专业,支持PDF/Word/PPT等文件格式,支持 12+语言互译。

免费翻译文档

深度研究

AI帮你快速写综述,25分钟生成高质量综述,智能提取关键信息,辅助科研写作。

立即免费体验

伴有多颗埋伏牙和含牙囊肿的锁骨颅骨发育不全:1例罕见病例报告

Cleidocranial Dysplasia With Multiple Impacted Teeth and Dentigerous Cysts: A Case Report of a Rare Entity.

作者信息

Shinh Manhar

机构信息

Department of Dentistry, Adesh Institute of Dental Sciences and Research, Bathinda, IND.

出版信息

Cureus. 2025 Jul 30;17(7):e89098. doi: 10.7759/cureus.89098. eCollection 2025 Jul.

DOI:10.7759/cureus.89098
PMID:40895890
原文链接:https://pmc.ncbi.nlm.nih.gov/articles/PMC12397749/
Abstract

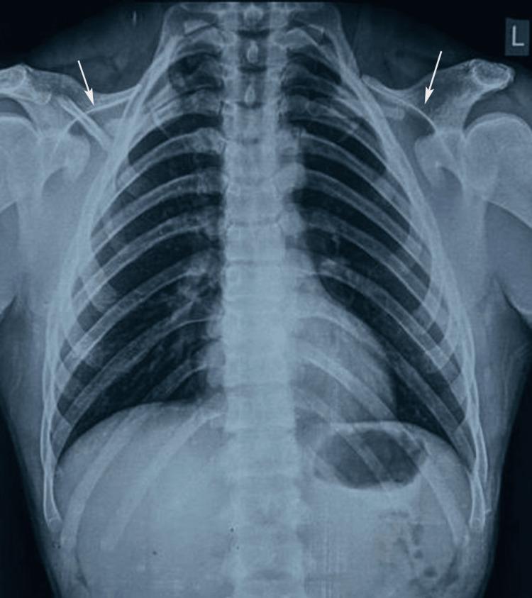
This report describes an unusual case of a 27-year-old male presenting with cleidocranial dysplasia (CCD), a rare genetic disorder affecting bone and dental development. The patient exhibited classic features, including short stature, drooping shoulders with hypermobility, broad forehead, maxillary deficiency, and mandibular prognathism. Intraoral examination revealed multiple missing teeth, retained deciduous teeth, and gingival swelling in the maxillary anterior region. Radiographic evaluation, including orthopantomogram and cone beam CT (CBCT), revealed 45 impacted permanent and supernumerary teeth, a rare finding, along with multiple dentigerous cysts, notably a large cyst in the right maxilla causing cortical plate breaches and nasal cavity displacement. Additional skeletal abnormalities included hypoplastic clavicles, open cranial sutures, and underdeveloped sinuses. Genetic testing confirmed a Runt-related transcription factor 2 ( gene) mutation, thus confirming the diagnosis. The extensive number of impacted teeth and cystic lesions sets this case apart from the typical presentations, which usually involve fewer supernumerary teeth and rare cystic changes. The complexity of dental and skeletal anomalies necessitates a multidisciplinary approach involving oral surgery, orthodontics, and prosthodontics to restore function and aesthetics. Early diagnosis through clinical, radiographic, and genetic assessments is crucial to prevent complications, such as cyst expansion or bone resorption. This case emphasizes the importance of comprehensive evaluation and tailored treatment planning in managing the severe manifestations of CCD, highlighting its diverse clinical spectrum and the need for individualized care.

摘要

本报告描述了一例不同寻常的病例,一名27岁男性患有锁骨颅骨发育不全(CCD),这是一种影响骨骼和牙齿发育的罕见遗传疾病。该患者表现出典型特征,包括身材矮小、肩部下垂且活动过度、额头宽阔、上颌骨发育不全以及下颌前突。口腔内检查发现多颗牙齿缺失、乳牙滞留以及上颌前部牙龈肿胀。影像学评估,包括全景曲面断层片和锥形束CT(CBCT),显示有45颗埋伏恒牙和多生牙,这一罕见发现还伴有多个含牙囊肿,尤其是右上颌的一个大囊肿导致皮质骨板破裂和鼻腔移位。其他骨骼异常包括锁骨发育不全、颅骨缝未闭合以及鼻窦发育不全。基因检测证实存在一种与Runt相关的转录因子2(基因)突变,从而确诊。大量的埋伏牙和囊性病变使该病例有别于典型表现,典型表现通常涉及较少的多生牙和罕见的囊性改变。牙齿和骨骼异常的复杂性需要口腔外科、正畸科和修复科等多学科方法来恢复功能和美观。通过临床、影像学和基因评估进行早期诊断对于预防并发症(如囊肿扩大或骨质吸收)至关重要。该病例强调了在管理CCD严重表现时进行全面评估和制定个性化治疗计划的重要性,突出了其多样的临床谱以及个性化护理的必要性。

https://cdn.ncbi.nlm.nih.gov/pmc/blobs/8874/12397749/cb1a7e916b9d/cureus-0017-00000089098-i05.jpg
https://cdn.ncbi.nlm.nih.gov/pmc/blobs/8874/12397749/c86ab1157ac4/cureus-0017-00000089098-i01.jpg
https://cdn.ncbi.nlm.nih.gov/pmc/blobs/8874/12397749/d5c224e113f3/cureus-0017-00000089098-i02.jpg
https://cdn.ncbi.nlm.nih.gov/pmc/blobs/8874/12397749/93e86f571d23/cureus-0017-00000089098-i03.jpg
https://cdn.ncbi.nlm.nih.gov/pmc/blobs/8874/12397749/6814541c0a39/cureus-0017-00000089098-i04.jpg
https://cdn.ncbi.nlm.nih.gov/pmc/blobs/8874/12397749/cb1a7e916b9d/cureus-0017-00000089098-i05.jpg
https://cdn.ncbi.nlm.nih.gov/pmc/blobs/8874/12397749/c86ab1157ac4/cureus-0017-00000089098-i01.jpg
https://cdn.ncbi.nlm.nih.gov/pmc/blobs/8874/12397749/d5c224e113f3/cureus-0017-00000089098-i02.jpg
https://cdn.ncbi.nlm.nih.gov/pmc/blobs/8874/12397749/93e86f571d23/cureus-0017-00000089098-i03.jpg
https://cdn.ncbi.nlm.nih.gov/pmc/blobs/8874/12397749/6814541c0a39/cureus-0017-00000089098-i04.jpg
https://cdn.ncbi.nlm.nih.gov/pmc/blobs/8874/12397749/cb1a7e916b9d/cureus-0017-00000089098-i05.jpg

相似文献

1
Cleidocranial Dysplasia With Multiple Impacted Teeth and Dentigerous Cysts: A Case Report of a Rare Entity.伴有多颗埋伏牙和含牙囊肿的锁骨颅骨发育不全:1例罕见病例报告
Cureus. 2025 Jul 30;17(7):e89098. doi: 10.7759/cureus.89098. eCollection 2025 Jul.
2
Cleidocranial dysplasia associated with dentigerous cyst-review of literature and case report of two siblings.
Indian J Pathol Microbiol. 2025 Apr 1;68(2):375-381. doi: 10.4103/ijpm.ijpm_532_23. Epub 2024 Mar 25.
3
Dentigerous Cyst Associated With Impacted Inverted Mesiodens: A Report of Three Cases and a Brief Literature Review.含牙囊肿伴埋伏倒置正中多生牙:三例报告及文献综述
Case Rep Dent. 2025 Aug 3;2025:6989796. doi: 10.1155/crid/6989796. eCollection 2025.
4
The impact of RUNX2 gene variants on cleidocranial dysplasia phenotype: a systematic review.RUNX2基因变异对锁骨颅骨发育不全表型的影响:一项系统综述
J Transl Med. 2024 Dec 3;22(1):1099. doi: 10.1186/s12967-024-05904-2.
5
Maxillary Ameloblastic Fibroma Mimicking Dentigerous Cyst in a Child: A Case Report.儿童上颌成釉细胞纤维瘤酷似含牙囊肿:一例报告
Int Med Case Rep J. 2025 Aug 20;18:1057-1062. doi: 10.2147/IMCRJ.S537076. eCollection 2025.
6
Genetic Pattern, Orthodontic and Surgical Management of Multiple Supplementary Impacted Teeth in a Rare, Cleidocranial Dysplasia Patient: A Case Report.罕见的 cleidocranial 发育不全患者多发性额外埋伏牙的遗传模式、正畸和外科治疗:病例报告。
Medicina (Kaunas). 2021 Dec 10;57(12):1350. doi: 10.3390/medicina57121350.
7
A Rare Case Report of a Large Dentigerous Cyst in the Maxillary Sinus Associated With an Ectopic Maxillary Third Molar.上颌窦内伴异位上颌第三磨牙的大型含牙囊肿一例罕见病例报告
Case Rep Dent. 2025 Jul 3;2025:2436615. doi: 10.1155/crid/2436615. eCollection 2025.
8
Unusual presentation of an inflamed dentigerous cyst with aggressive features: A case report with management considerations.具有侵袭性特征的炎性含牙囊肿的罕见表现:一例病例报告及治疗考量
Int J Surg Case Rep. 2025 Aug;133:111516. doi: 10.1016/j.ijscr.2025.111516. Epub 2025 Jun 14.
9
Cleidocranial Dysplasia Spectrum Disorder锁骨颅骨发育不全谱系障碍
10
Impacted mandibular first molar with root encircling the inferior alveolar nerve and an odontogenic cyst formation.下颌第一磨牙阻生,牙根环绕下牙槽神经并形成牙源性囊肿。
BMC Oral Health. 2025 Jul 2;25(1):1022. doi: 10.1186/s12903-025-06400-9.

本文引用的文献

1
Clinical and Radiological Insights of Cleidocranial Dysplasia: A Case Report of a Rare Medical Condition.锁骨颅骨发育不全的临床与影像学见解:一例罕见病症的病例报告
Cureus. 2024 Jul 13;16(7):e64456. doi: 10.7759/cureus.64456. eCollection 2024 Jul.
2
Imaging studies used as aid in the diagnosis of cleidocranial dysplasia. A review.用于辅助诊断锁骨颅骨发育不全的影像学研究。综述。
Rev Cient Odontol (Lima). 2021 Jun 21;9(2):e063. doi: 10.21142/2523-2754-0902-2021-063. eCollection 2021 Apr-Jun.
3
Craniofacial features of cleidocranial dysplasia.
锁骨颅骨发育不全的颅面特征。
J Dent Sci. 2017 Dec;12(4):313-318. doi: 10.1016/j.jds.2017.07.002. Epub 2017 Oct 19.
4
A Case of Cleidocranial Dysplasia with a Novel Mutation and Growth Velocity Gain with Growth Hormone Treatment.一例伴有新突变的锁骨颅骨发育不全病例及生长激素治疗后生长速度加快
J Clin Res Pediatr Endocrinol. 2019 Sep 3;11(3):301-305. doi: 10.4274/jcrpe.galenos.2018.2018.0211. Epub 2018 Nov 23.
5
A review of clinical and radiological features of cleidocranial dysplasia with a report of two cases and a dental treatment protocol.锁骨颅骨发育不全的临床和影像学特征回顾并附两例报告及牙科治疗方案
J Pharm Bioallied Sci. 2015 Aug;7(Suppl 2):S428-32. doi: 10.4103/0975-7406.163490.
6
Cleidocranial dysplasia: a review of the dental, historical, and practical implications with an overview of the South African experience.锁骨颅骨发育不全:对牙科、历史和实际影响的综述,概述南非的经验。
Oral Surg Oral Med Oral Pathol Oral Radiol. 2013 Jan;115(1):46-55. doi: 10.1016/j.oooo.2012.07.435. Epub 2012 Oct 24.
7
Cleidocranial dysplasia.锁骨颅骨发育不全
Lung India. 2010 Jul;27(3):176-7. doi: 10.4103/0970-2113.68322.
8
Cementum analysis in cleidocranial dysostosis.锁骨颅骨发育不全的牙骨质分析
Indian J Dent Res. 2008 Jul-Sep;19(3):253-6. doi: 10.4103/0970-9290.42960.
9
Cleidocranial dysplasia: a case report.锁骨颅骨发育不全:一例报告。
J Indian Soc Pedod Prev Dent. 2008 Mar;26(1):40-3. doi: 10.4103/0970-4388.40322.
10
Cleido cranial dysplasia: report of a family.锁骨颅骨发育不全:一家系报告
J Oral Sci. 2004 Dec;46(4):259-66. doi: 10.2334/josnusd.46.259.