Suppr超能文献

耻骨上区域异位乳腺组织中表现为皮下结节的原发性乳腺癌:一例报告并文献复习

Primary Breast Carcinoma in Ectopic Breast Tissue in the Suprapubic Region Presenting as a Subcutaneous Nodule: A Case Report and Review of the Literature.

作者信息

Correa Sandoval Diana C, Guajardo Nieto Diego A, Guzman Murguia Jose L

机构信息

Center for Breast Care, Hospital Angeles Valle Oriente, San Pedro Garza Garcia, MEX.

出版信息

Cureus. 2025 Jul 29;17(7):e89015. doi: 10.7759/cureus.89015. eCollection 2025 Jul.

Abstract

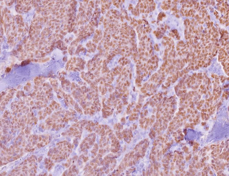
Ectopic breast tissue (EBT) is an uncommon congenital condition resulting from incomplete involution of the milk line. Primary carcinomas arising in EBT have been reported in a small number of cases, most frequently in the axilla, but they may occur anywhere along the mammary line. Here, we present the case of a 69-year-old woman who presented with an asymptomatic subcutaneous nodule located at the end of a Pfanneistein's laparotomy scar in the suprapubic region. Histopathological examination revealed invasive ductal carcinoma, compatible with no special type, originating from EBT. The patient underwent wide local excision of the lesion with clear margins, followed by adjuvant treatment with letrozole. This case highlights the importance of timely diagnosis and emphasizes the significance of recognizing the rare presentation of primary breast carcinoma in EBT. Early detection and appropriate treatment, including surgical intervention and targeted therapy, are essential for optimizing patient outcomes in such cases.

摘要

异位乳腺组织(EBT)是一种由乳线不完全退化导致的罕见先天性疾病。少数病例报告了起源于EBT的原发性癌,最常见于腋窝,但也可能发生在乳腺线上的任何部位。在此,我们报告一例69岁女性病例,该患者在耻骨上区域Pfanneistein剖腹手术瘢痕末端出现一个无症状的皮下结节。组织病理学检查显示为浸润性导管癌,符合非特殊类型,起源于EBT。患者接受了病变的广泛局部切除,切缘清晰,随后接受来曲唑辅助治疗。该病例突出了及时诊断的重要性,并强调了认识到EBT中原发性乳腺癌罕见表现的意义。早期发现和适当治疗,包括手术干预和靶向治疗,对于优化此类病例的患者预后至关重要。

https://cdn.ncbi.nlm.nih.gov/pmc/blobs/379b/12394583/6d4c0c98540d/cureus-0017-00000089015-i01.jpg

文献检索

告别复杂PubMed语法,用中文像聊天一样搜索,搜遍4000万医学文献。AI智能推荐,让科研检索更轻松。

立即免费搜索

文件翻译

保留排版,准确专业,支持PDF/Word/PPT等文件格式,支持 12+语言互译。

免费翻译文档

深度研究

AI帮你快速写综述,25分钟生成高质量综述,智能提取关键信息,辅助科研写作。

立即免费体验