• 文献检索
  • 文档翻译
  • 深度研究
  • 学术资讯
  • Suppr Zotero 插件Zotero 插件
  • 邀请有礼
  • 套餐&价格
  • 历史记录
应用&插件
Suppr Zotero 插件Zotero 插件浏览器插件Mac 客户端Windows 客户端微信小程序
定价
高级版会员购买积分包购买API积分包
服务
文献检索文档翻译深度研究API 文档MCP 服务
关于我们
关于 Suppr公司介绍联系我们用户协议隐私条款
关注我们

Suppr 超能文献

核心技术专利:CN118964589B侵权必究
粤ICP备2023148730 号-1Suppr @ 2026

文献检索

告别复杂PubMed语法,用中文像聊天一样搜索,搜遍4000万医学文献。AI智能推荐,让科研检索更轻松。

立即免费搜索

文件翻译

保留排版,准确专业,支持PDF/Word/PPT等文件格式,支持 12+语言互译。

免费翻译文档

深度研究

AI帮你快速写综述,25分钟生成高质量综述,智能提取关键信息,辅助科研写作。

立即免费体验

前列腺黏液腺癌伴极低前列腺特异性抗原水平及复发性疾病:一例报告

Mucinous adenocarcinoma of the prostate with extremely low prostate-specific antigen levels, recurrent disease: a case report.

作者信息

Yu Xu, Yuan Jie, Wang Zhiming, Wang Niannian, He Xiangfei, Liu Jie

机构信息

Linyi People's Hospital, Shandong Second Medical University, Weifang, Shandong, China.

Linyi People's Hospital, Linyi, Shandong, China.

出版信息

Front Oncol. 2025 Aug 14;15:1645306. doi: 10.3389/fonc.2025.1645306. eCollection 2025.

DOI:10.3389/fonc.2025.1645306
PMID:40896436
原文链接:https://pmc.ncbi.nlm.nih.gov/articles/PMC12390961/
Abstract

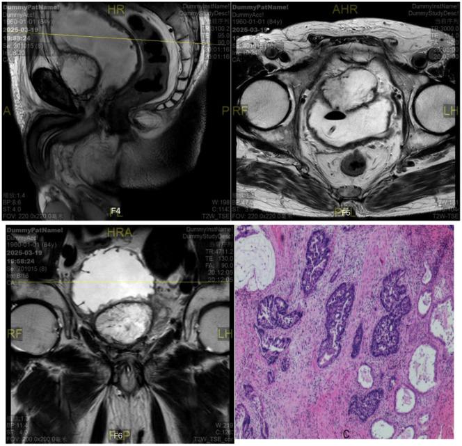
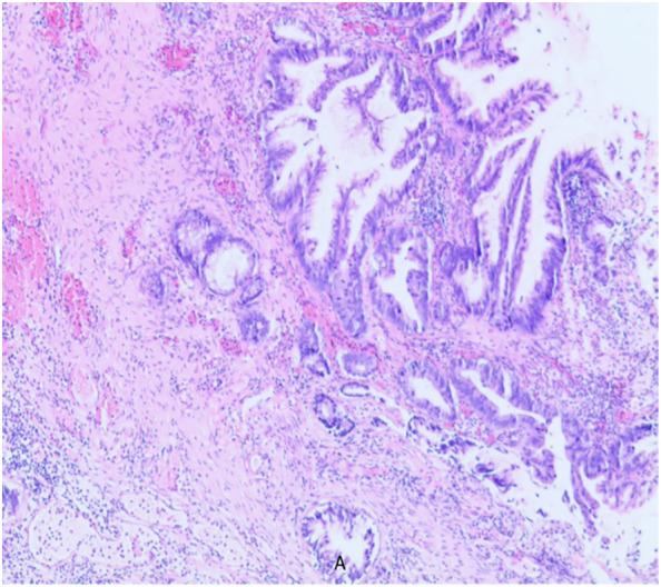
Mucinous adenocarcinoma (MC) is a very rare type of prostate cancer, accounting for less than 1% of prostate adenocarcinomas, and its etiology is still unclear. Its clinical symptoms are similar to those of prostate hyperplasia and follicular carcinoma of the prostate, which are often misdiagnosed, and a definite diagnosis depends on pathological diagnosis, and the secretion of a large amount of mucus is its pathological characteristic. Surgery and endocrine therapy are the main treatment modalities, followed by radiation therapy and comprehensive therapy. Since this disease is rarely reported, in order to improve the understanding and diagnosis of clinically rare MC, we report a case of primary recurrent mucinous adenocarcinoma of the prostate and analyze its clinical features, pathological diagnosis, treatment and prognosis in the light of the literature.

摘要

黏液腺癌(MC)是一种非常罕见的前列腺癌类型,占前列腺腺癌的比例不到1%,其病因仍不清楚。其临床症状与前列腺增生和前列腺滤泡癌相似,常被误诊,明确诊断依赖于病理诊断,大量黏液分泌是其病理特征。手术和内分泌治疗是主要治疗方式,其次是放射治疗和综合治疗。由于该病报道较少,为提高对临床罕见的MC的认识和诊断,我们报告1例原发性复发性前列腺黏液腺癌病例,并结合文献分析其临床特征、病理诊断、治疗及预后。

https://cdn.ncbi.nlm.nih.gov/pmc/blobs/ac55/12390961/6847c2d80b81/fonc-15-1645306-g003.jpg
https://cdn.ncbi.nlm.nih.gov/pmc/blobs/ac55/12390961/ff5d7cab66e7/fonc-15-1645306-g001.jpg
https://cdn.ncbi.nlm.nih.gov/pmc/blobs/ac55/12390961/e2744e951824/fonc-15-1645306-g002.jpg
https://cdn.ncbi.nlm.nih.gov/pmc/blobs/ac55/12390961/6847c2d80b81/fonc-15-1645306-g003.jpg
https://cdn.ncbi.nlm.nih.gov/pmc/blobs/ac55/12390961/ff5d7cab66e7/fonc-15-1645306-g001.jpg
https://cdn.ncbi.nlm.nih.gov/pmc/blobs/ac55/12390961/e2744e951824/fonc-15-1645306-g002.jpg
https://cdn.ncbi.nlm.nih.gov/pmc/blobs/ac55/12390961/6847c2d80b81/fonc-15-1645306-g003.jpg

相似文献

1
Mucinous adenocarcinoma of the prostate with extremely low prostate-specific antigen levels, recurrent disease: a case report.前列腺黏液腺癌伴极低前列腺特异性抗原水平及复发性疾病:一例报告
Front Oncol. 2025 Aug 14;15:1645306. doi: 10.3389/fonc.2025.1645306. eCollection 2025.
2
Prescription of Controlled Substances: Benefits and Risks管制药品的处方:益处与风险
3
Impact of residual disease as a prognostic factor for survival in women with advanced epithelial ovarian cancer after primary surgery.原发性手术后晚期上皮性卵巢癌患者残留病灶对生存预后的影响。
Cochrane Database Syst Rev. 2022 Sep 26;9(9):CD015048. doi: 10.1002/14651858.CD015048.pub2.
4
Signs and symptoms to determine if a patient presenting in primary care or hospital outpatient settings has COVID-19.在基层医疗机构或医院门诊环境中,如果患者出现以下症状和体征,可判断其是否患有 COVID-19。
Cochrane Database Syst Rev. 2022 May 20;5(5):CD013665. doi: 10.1002/14651858.CD013665.pub3.
5
Testosterone replacement in men with sexual dysfunction.男性性功能障碍的睾酮替代治疗。
Cochrane Database Syst Rev. 2024 Jan 15;1(1):CD013071. doi: 10.1002/14651858.CD013071.pub2.
6
International association for the study of lung cancer/american thoracic society/european respiratory society international multidisciplinary classification of lung adenocarcinoma.国际肺癌研究协会/美国胸科学会/欧洲呼吸学会国际多学科肺腺癌分类。
J Thorac Oncol. 2011 Feb;6(2):244-85. doi: 10.1097/JTO.0b013e318206a221.
7
Chimeric antigen receptor (CAR) T-cell therapy for people with relapsed or refractory diffuse large B-cell lymphoma.嵌合抗原受体 (CAR) T 细胞疗法治疗复发或难治性弥漫性大 B 细胞淋巴瘤患者。
Cochrane Database Syst Rev. 2021 Sep 13;9(9):CD013365. doi: 10.1002/14651858.CD013365.pub2.
8
[Volume and health outcomes: evidence from systematic reviews and from evaluation of Italian hospital data].[容量与健康结果:来自系统评价和意大利医院数据评估的证据]
Epidemiol Prev. 2013 Mar-Jun;37(2-3 Suppl 2):1-100.
9
Primary cryotherapy for localised or locally advanced prostate cancer.局限性或局部晚期前列腺癌的初次冷冻治疗。
Cochrane Database Syst Rev. 2018 May 30;5(5):CD005010. doi: 10.1002/14651858.CD005010.pub3.
10
123I-MIBG scintigraphy and 18F-FDG-PET imaging for diagnosing neuroblastoma.用于诊断神经母细胞瘤的123I-间碘苄胍闪烁扫描术和18F-氟代脱氧葡萄糖正电子发射断层显像
Cochrane Database Syst Rev. 2015 Sep 29;2015(9):CD009263. doi: 10.1002/14651858.CD009263.pub2.

本文引用的文献

1
Morphological characteristics of a mucinous adenocarcinoma of the prostate: differential diagnosis considerations.前列腺黏液腺癌的形态学特征:鉴别诊断考量
Rom J Morphol Embryol. 2013;54(1):191-4.
2
Prognosis of mucinous adenocarcinoma of the prostate treated by radical prostatectomy: a study of 47 cases.根治性前列腺切除术治疗前列腺黏液腺癌的预后:47例病例研究
Am J Surg Pathol. 2008 Mar;32(3):468-72. doi: 10.1097/PAS.0b013e3181589f72.
3
Primary mucin-producing urothelial-type adenocarcinoma of prostate: report of 15 cases.原发性前列腺黏液分泌性尿路上皮型腺癌:15例报告
Am J Surg Pathol. 2007 Sep;31(9):1323-9. doi: 10.1097/PAS.0b013e31802ff7c4.
4
Mucinous adenocarcinoma of the prostate does not confer poor prognosis.前列腺黏液腺癌的预后并不差。
Urology. 2006 Oct;68(4):825-30. doi: 10.1016/j.urology.2006.04.028.
5
Mucinous adenocarcinoma of the prostate: a case report of long-term disease-free survival and a review of the literature.前列腺黏液腺癌:长期无病生存病例报告及文献综述
Urology. 2004 Apr;63(4):779-80. doi: 10.1016/j.urology.2003.12.006.
6
Unusual subtypes of prostate cancer.前列腺癌的罕见亚型。
Mod Pathol. 2004 Mar;17(3):316-27. doi: 10.1038/modpathol.3800052.
7
THE RELATION OF MUCICARMINE-STAINING PROPERTIES OF CARCINOMAS OF THE PROSTATE TO DIFFERENTIATION, METASTASIS, AND PROGNOSIS.前列腺癌的黏液卡红染色特性与分化、转移及预后的关系
Cancer. 1964 Jan;17:21-5. doi: 10.1002/1097-0142(196401)17:1<21::aid-cncr2820170104>3.0.co;2-a.
8
Mucin-producing carcinoma of the prostate: review of 88 cases.前列腺黏液腺癌:88例病例回顾
Urology. 1999 Jul;54(1):141-4. doi: 10.1016/s0090-4295(98)00595-0.
9
Mucinous adenocarcinoma of the prostate: a report of a case of long-term survival.前列腺黏液腺癌:1例长期生存病例报告
Urology. 1996 Feb;47(2):256-8. doi: 10.1016/S0090-4295(99)80430-0.
10
Mucinous (colloid) adenocarcinoma of the prostate.前列腺黏液性(胶样)腺癌
Br J Urol. 1995 Dec;76(6):805-6. doi: 10.1111/j.1464-410x.1995.tb00783.x.