Suppr超能文献

柔脑膜癌病和骨髓痨性贫血作为转移性小叶乳腺癌的初始表现

Leptomeningeal Carcinomatosis and Myelophthisic Anemia as Initial Manifestations of Metastatic Lobular Breast Cancer.

作者信息

Urhie Ogaga, Dey Kally, Patolia Kirtan, Fidai Shiraz, Alebich Michael

机构信息

Department of Internal Medicine, John H. Stroger Jr. Hospital of Cook County, Chicago, Illinois, USA.

Department of Pathology, John H. Stroger Jr. Hospital of Cook County, Chicago, Illinois, USA.

出版信息

Case Rep Oncol Med. 2025 Aug 26;2025:5631996. doi: 10.1155/crom/5631996. eCollection 2025.

Abstract

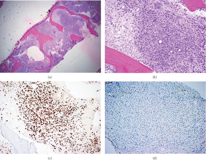
Breast cancer can spread to the brain and bone, usually presenting as parenchymal and osteoblastic lesions, respectively. We present a unique case of a 59-year-old woman undergoing treatment for invasive lobular breast cancer who presented with nausea, vomiting, headache, and generalized weakness. Her clinical presentation and subsequent evaluation led to a discovery of leptomeningeal carcinomatosis and myelophthisic anemia presenting simultaneously as her initial metastases. She was treated with weekly paclitaxel and intrathecal methotrexate, with noted cerebrospinal fluid response. She continues to follow up with the oncology clinic.

摘要

乳腺癌可扩散至脑部和骨骼,通常分别表现为实质性病变和成骨性病变。我们报告了一例独特病例,一名59岁接受浸润性小叶乳腺癌治疗的女性,出现恶心、呕吐、头痛和全身无力症状。她的临床表现及后续评估发现,软脑膜癌病和骨髓痨性贫血同时作为其初始转移灶出现。她接受了每周一次的紫杉醇和鞘内注射甲氨蝶呤治疗,脑脊液有反应。她继续在肿瘤门诊随访。

https://cdn.ncbi.nlm.nih.gov/pmc/blobs/81f4/12404835/984410f34fee/CRIONM2025-5631996.001.jpg

文献检索

告别复杂PubMed语法,用中文像聊天一样搜索,搜遍4000万医学文献。AI智能推荐,让科研检索更轻松。

立即免费搜索

文件翻译

保留排版,准确专业,支持PDF/Word/PPT等文件格式,支持 12+语言互译。

免费翻译文档

深度研究

AI帮你快速写综述,25分钟生成高质量综述,智能提取关键信息,辅助科研写作。

立即免费体验