• 文献检索
  • 文档翻译
  • 深度研究
  • 学术资讯
  • Suppr Zotero 插件Zotero 插件
  • 邀请有礼
  • 套餐&价格
  • 历史记录
应用&插件
Suppr Zotero 插件Zotero 插件浏览器插件Mac 客户端Windows 客户端微信小程序
定价
高级版会员购买积分包购买API积分包
服务
文献检索文档翻译深度研究API 文档MCP 服务
关于我们
关于 Suppr公司介绍联系我们用户协议隐私条款
关注我们

Suppr 超能文献

核心技术专利:CN118964589B侵权必究
粤ICP备2023148730 号-1Suppr @ 2026

文献检索

告别复杂PubMed语法,用中文像聊天一样搜索,搜遍4000万医学文献。AI智能推荐,让科研检索更轻松。

立即免费搜索

文件翻译

保留排版,准确专业,支持PDF/Word/PPT等文件格式,支持 12+语言互译。

免费翻译文档

深度研究

AI帮你快速写综述,25分钟生成高质量综述,智能提取关键信息,辅助科研写作。

立即免费体验

中风后患者下肢痉挛与本体感觉功能障碍之间的相关性。

The correlation between lower limb spasticity and proprioceptive dysfunction in post-stroke patients.

作者信息

Gao Shiai, Yu Zifu, Liu Xihua

机构信息

School of Rehabilitation Medicine, Shandong University of Traditional Chinese Medicine, Jinan, China.

Shandong Provincial Center for Disease Control and Prevention, Jinan, China.

出版信息

Front Neurol. 2025 Aug 20;16:1634382. doi: 10.3389/fneur.2025.1634382. eCollection 2025.

DOI:10.3389/fneur.2025.1634382
PMID:40909008
原文链接:https://pmc.ncbi.nlm.nih.gov/articles/PMC12406058/
Abstract

OBJECTIVE

To investigate the correlation between lower limb spasticity and proprioception in stroke patients, to analyze the influencing factors of spasticity, and to evaluate the predictive value of musculoskeletal ultrasound parameters on spasticity.

METHODS

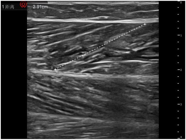
A cross-sectional study was used to enroll 80 stroke patients admitted to the Rehabilitation Center of the Affiliated Hospital of Shandong University of Traditional Chinese Medicine from October 2024 to April 2025. The degree of lower limb spasticity was evaluated by the modified Ashworth Scale (MAS), and the proprioceptive assessment module of the Pro-kin balance system was used to quantitatively detect the mean trajectory error (ATE) and the average weight-bearing asymmetry (AWA). Musculoskeletal ultrasound was used to detect the spasmodic side and the healthy gastrocnemius muscle, and the longitudinal and transverse ultrasound images were obtained, and the length of muscle fibers, medial head pinnate angle and muscle thickness were measured. Spearman correlation analysis was used to explore the correlation between MAS score and various parameters, a multiple linear regression model was constructed to analyze the influencing factors of spasticity, and the predictive performance of ultrasound parameters was evaluated by receiver operating characteristic (ROC) curve.

RESULTS

Compared with the healthy side, the muscle fiber length, medial head pinnate angle and muscle thickness of the gastrocnemius muscle on the spasticity side were significantly reduced ( < 0.05). The mean trajectory difference of proprioceptive parameters was (65.83 ± 13.11) %, and the average weight-bearing force difference was (2.41 ± 0.46) kg. Correlation analysis showed that MAS spasticity score was statistically significantly related to proprioceptive parameters and muscle structure parameters ( < 0.05), and multiple linear regression analysis showed that muscle feather angle ( = 0.362), muscle fiber length ( = -0.157), muscle thickness ( = -0.230), mean trajectory error ( = 0.329) and average weight-bearing strength difference ( = 0.260) constituted independent influencing factors for MAS score (adjusted  = 0.787, <0.05). ROC curve analysis showed that the area under the curve of muscle pinnate angle predicting spasticity (MAS ≥ 2 grade) was the largest (AUC = 0.850, 95%CI: 0.729-0.972), which was better than muscle fiber length (AUC = 0. 840) and muscle thickness (AUC = 0.838).

CONCLUSION

There is a significant correlation between lower limb spasticity and proprioceptive and muscle structure parameters in stroke patients, and proprioception and muscle structure parameters are the key factors affecting spasticity, and musculoskeletal ultrasound can be used as a quantitative evaluation tool for lower limb spasticity in stroke.

CLINICAL TRIAL REGISTRATION

https://itmctr.ccebtcm.org.cn/.

摘要

目的

探讨脑卒中患者下肢痉挛与本体感觉之间的相关性,分析痉挛的影响因素,并评估肌肉骨骼超声参数对痉挛的预测价值。

方法

采用横断面研究方法,选取2024年10月至2025年4月在山东中医药大学附属医院康复中心收治的80例脑卒中患者。采用改良Ashworth量表(MAS)评估下肢痉挛程度,使用Pro-kin平衡系统的本体感觉评估模块定量检测平均轨迹误差(ATE)和平均负重不对称性(AWA)。采用肌肉骨骼超声检测痉挛侧和健侧腓肠肌,获取纵、横超声图像,测量肌纤维长度、内侧头羽状角和肌肉厚度。采用Spearman相关性分析探讨MAS评分与各参数之间的相关性,构建多元线性回归模型分析痉挛的影响因素,并通过受试者工作特征(ROC)曲线评估超声参数的预测性能。

结果

与健侧相比,痉挛侧腓肠肌的肌纤维长度、内侧头羽状角和肌肉厚度均显著降低(P<0.05)。本体感觉参数的平均轨迹差异为(65.83±13.11)%,平均负重力量差异为(2.41±0.46)kg。相关性分析显示,MAS痉挛评分与本体感觉参数和肌肉结构参数具有统计学显著相关性(P<0.05),多元线性回归分析显示,肌肉羽状角(β=0.362)、肌纤维长度(β=-0.157)、肌肉厚度(β=-0.230)、平均轨迹误差(β=0.329)和平均负重力量差异(β=0.260)构成MAS评分的独立影响因素(调整R²=0.787,P<0.05)。ROC曲线分析显示,肌肉羽状角预测痉挛(MAS≥2级)的曲线下面积最大(AUC=0.850,95%CI:0.729-0.972),优于肌纤维长度(AUC=0.840)和肌肉厚度(AUC=0.838)。

结论

脑卒中患者下肢痉挛与本体感觉和肌肉结构参数之间存在显著相关性,本体感觉和肌肉结构参数是影响痉挛的关键因素,肌肉骨骼超声可作为脑卒中患者下肢痉挛的定量评估工具。

临床试验注册

https://itmctr.ccebtcm.org.cn/。

https://cdn.ncbi.nlm.nih.gov/pmc/blobs/12f0/12406058/8e4930617d9e/fneur-16-1634382-g004.jpg
https://cdn.ncbi.nlm.nih.gov/pmc/blobs/12f0/12406058/54ddddb01dd5/fneur-16-1634382-g001.jpg
https://cdn.ncbi.nlm.nih.gov/pmc/blobs/12f0/12406058/cb9df67455b5/fneur-16-1634382-g002.jpg
https://cdn.ncbi.nlm.nih.gov/pmc/blobs/12f0/12406058/ed23750865dd/fneur-16-1634382-g003.jpg
https://cdn.ncbi.nlm.nih.gov/pmc/blobs/12f0/12406058/8e4930617d9e/fneur-16-1634382-g004.jpg
https://cdn.ncbi.nlm.nih.gov/pmc/blobs/12f0/12406058/54ddddb01dd5/fneur-16-1634382-g001.jpg
https://cdn.ncbi.nlm.nih.gov/pmc/blobs/12f0/12406058/cb9df67455b5/fneur-16-1634382-g002.jpg
https://cdn.ncbi.nlm.nih.gov/pmc/blobs/12f0/12406058/ed23750865dd/fneur-16-1634382-g003.jpg
https://cdn.ncbi.nlm.nih.gov/pmc/blobs/12f0/12406058/8e4930617d9e/fneur-16-1634382-g004.jpg

相似文献

1
The correlation between lower limb spasticity and proprioceptive dysfunction in post-stroke patients.中风后患者下肢痉挛与本体感觉功能障碍之间的相关性。
Front Neurol. 2025 Aug 20;16:1634382. doi: 10.3389/fneur.2025.1634382. eCollection 2025.
2
Prescription of Controlled Substances: Benefits and Risks管制药品的处方:益处与风险
3
Releasing Forces in Adhesive Capsulitis Are Important Indicators of Shoulder Stiffness and Postoperative Function.粘连性肩周炎中的松解力是肩部僵硬和术后功能的重要指标。
Clin Orthop Relat Res. 2025 Jun 1;483(6):1033-1046. doi: 10.1097/CORR.0000000000003365. Epub 2025 Jan 28.
4
[Predictive value of norepinephrine equivalence score on the 28-day death risk in patients with sepsis: a retrospective cohort study].去甲肾上腺素等效评分对脓毒症患者28天死亡风险的预测价值:一项回顾性队列研究
Zhonghua Wei Zhong Bing Ji Jiu Yi Xue. 2025 Apr;37(4):331-336. doi: 10.3760/cma.j.cn121430-20240413-00341.
5
[Predictive value of plasma exosome count for the prognosis in septic patients].[血浆外泌体计数对脓毒症患者预后的预测价值]
Zhonghua Wei Zhong Bing Ji Jiu Yi Xue. 2024 Jul;36(7):687-692. doi: 10.3760/cma.j.cn121430-20230717-00529.
6
Sertindole for schizophrenia.用于治疗精神分裂症的舍吲哚。
Cochrane Database Syst Rev. 2005 Jul 20;2005(3):CD001715. doi: 10.1002/14651858.CD001715.pub2.
7
Anterior Approach Total Ankle Arthroplasty with Patient-Specific Cut Guides.使用患者特异性截骨导向器的前路全踝关节置换术。
JBJS Essent Surg Tech. 2025 Aug 15;15(3). doi: 10.2106/JBJS.ST.23.00027. eCollection 2025 Jul-Sep.
8
A New Measure of Quantified Social Health Is Associated With Levels of Discomfort, Capability, and Mental and General Health Among Patients Seeking Musculoskeletal Specialty Care.一种新的量化社会健康指标与寻求肌肉骨骼专科护理的患者的不适程度、能力以及心理和总体健康水平相关。
Clin Orthop Relat Res. 2025 Apr 1;483(4):647-663. doi: 10.1097/CORR.0000000000003394. Epub 2025 Feb 5.
9
[Clinical study on the effect of glycosaminoglycans on vascular endothelial glycocalyx in sepsis].[糖胺聚糖对脓毒症血管内皮糖萼影响的临床研究]
Zhonghua Wei Zhong Bing Ji Jiu Yi Xue. 2025 Jun;37(6):527-534. doi: 10.3760/cma.j.cn121430-20240725-00634.
10
What Are the Complications, Function, and Survival of Tumor-devitalized Autografts Used in Patients With Limb-sparing Surgery for Bone and Soft Tissue Tumors? A Japanese Musculoskeletal Oncology Group Multi-institutional Study.肿瘤灭活自体移植物用于保肢手术治疗骨和软组织肿瘤患者的并发症、功能和生存情况如何?日本肌肉骨骼肿瘤学组多机构研究。
Clin Orthop Relat Res. 2023 Nov 1;481(11):2110-2124. doi: 10.1097/CORR.0000000000002720. Epub 2023 Jun 14.

本文引用的文献

1
Central mechanisms of muscle tone regulation: implications for pain and performance.肌肉张力调节的中枢机制:对疼痛和运动表现的影响
Front Neurosci. 2024 Dec 9;18:1511783. doi: 10.3389/fnins.2024.1511783. eCollection 2024.
2
The relationship between muscle thickness and pennation angle is mediated by fascicle length in the muscles of the lower extremities.下肢肌肉中肌束长度介导了肌厚度和羽状角之间的关系。
Sci Rep. 2024 Jun 27;14(1):14847. doi: 10.1038/s41598-024-65100-6.
3
Assessment of pain relief after four botulinum toxin A injection cycles in patients with post-stroke lower limb spasticity: A prospective, observational study.
评估脑卒中后下肢痉挛患者接受四次肉毒毒素 A 注射后的疼痛缓解情况:一项前瞻性、观察性研究。
Rehabilitacion (Madr). 2024 Jul-Sep;58(3):100856. doi: 10.1016/j.rh.2024.100856. Epub 2024 May 24.
4
A methodological approach for collecting simultaneous measures of muscle, aponeurosis, and tendon behaviour during dynamic contractions.一种在动态收缩过程中同时测量肌肉、腱膜和肌腱行为的方法学方法。
Biol Open. 2024 May 15;13(5). doi: 10.1242/bio.060383. Epub 2024 May 23.
5
Effective Stretching Positions of the Piriformis Muscle Evaluated Using Shear Wave Elastography.使用剪切波弹性成像评估梨状肌的有效拉伸位置。
J Sport Rehabil. 2024 Apr 9;33(4):282-288. doi: 10.1123/jsr.2023-0240. Print 2024 May 1.
6
Longitudinal and Cross-Sectional Association Between Gait Speed, Ankle Proprioception, and LE Numbness-Results From the Baltimore Longitudinal Study of Aging.步速、踝关节本体感觉与下肢麻木的纵向和横断面关联——来自巴尔的摩老龄化纵向研究的结果。
J Aging Phys Act. 2022 Nov 7;31(3):453-457. doi: 10.1123/japa.2022-0026. Print 2023 Jun 1.
7
Effects of whole body vibration combined with extracorporeal shock wave therapy on spasticity and balance gait parameters in hemiplegic patients with stroke.全身振动联合体外冲击波治疗对脑卒中偏瘫患者痉挛和平衡步态参数的影响。
Zhong Nan Da Xue Xue Bao Yi Xue Ban. 2022 Jun 28;47(6):755-761. doi: 10.11817/j.issn.1672-7347.2022.220063.
8
Post-stroke Movement Disorders: Clinical Spectrum, Pathogenesis, and Management.中风后运动障碍:临床谱、发病机制与管理
Neurol India. 2021 Mar-Apr;69(2):272-283. doi: 10.4103/0028-3886.314574.
9
Converging integration between ascending proprioceptive inputs and the corticospinal tract motor circuit underlying skilled movement control.在熟练运动控制背后,上行本体感觉输入与皮质脊髓束运动回路之间的汇聚整合。
Curr Opin Physiol. 2021 Feb;19:187-193. doi: 10.1016/j.cophys.2020.10.007. Epub 2020 Nov 13.
10
Prevalence and Risk Factors for Spasticity After Stroke: A Systematic Review and Meta-Analysis.中风后痉挛的患病率及危险因素:一项系统评价与荟萃分析。
Front Neurol. 2021 Jan 20;11:616097. doi: 10.3389/fneur.2020.616097. eCollection 2020.