Suppr超能文献

甲状旁腺成像与介入的要点:放射科医生需要了解的内容。

Essentials for parathyroid imaging and intervention: what radiologists need to know.

作者信息

Choi Hye Jeong, Kim Ji-Hoon

机构信息

Department of Radiology, CHA Bundang Medical Center, CHA University School of Medicine, Seongnam, Korea.

Department of Radiology, Seoul National University Hospital, Seoul National University College of Medicine, Seoul, Korea.

出版信息

Ultrasonography. 2025 Sep;44(5):324-345. doi: 10.14366/usg.25102. Epub 2025 Aug 28.

Abstract

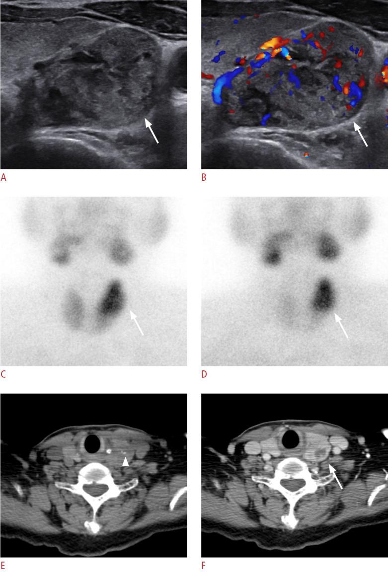
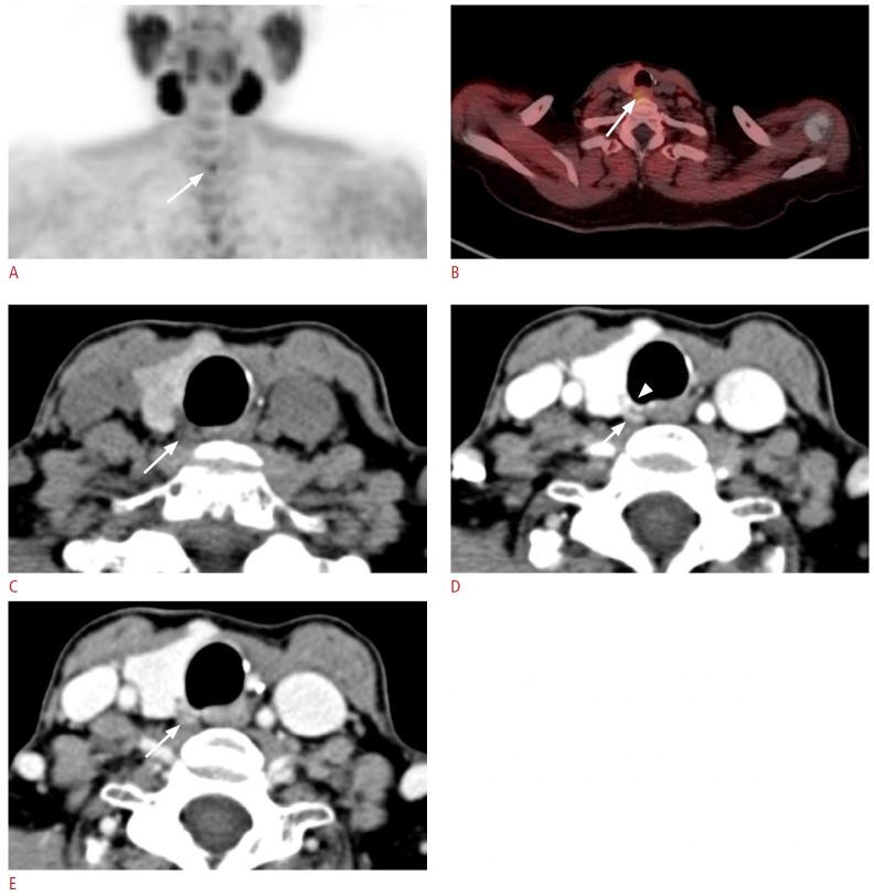
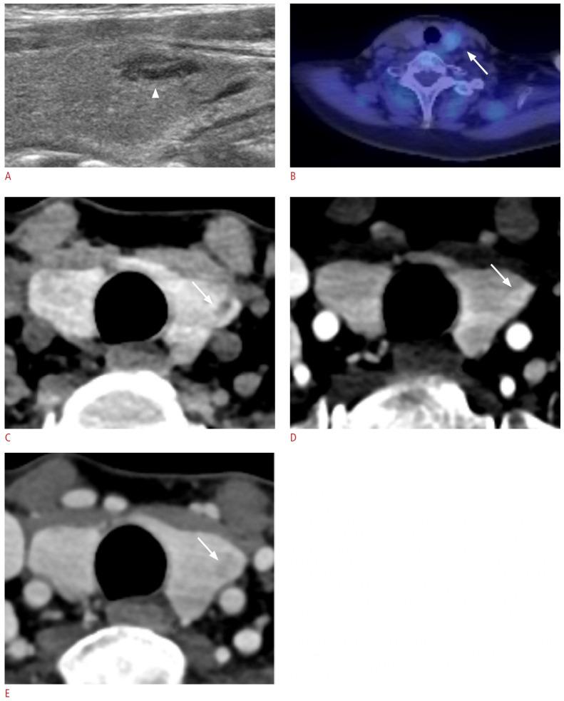
The parathyroid glands play a key role in maintaining calcium-phosphate homeostasis by secreting parathyroid hormone (PTH). Hyperparathyroidism, characterized by the inappropriate overproduction of PTH, is classified as primary, secondary, or tertiary according to its pathophysiology. Although diagnosis is principally biochemical, imaging is essential for accurately localizing hyperfunctioning glands. Precise localization allows for focused minimally invasive surgery, reduces the risk of persistent or recurrent disease, and avoids unnecessary bilateral neck exploration. Current techniques include high-resolution ultrasonography, 99mTc-sestamibi scintigraphy with single-photon emission computed tomography/computed tomography (CT), four-dimensional CT, magnetic resonance imaging, and positron emission tomography/CT with tracers such as 18F-fluorocholine. Parathyroidectomy remains the mainstay of treatment; however, recent advances in thermal ablation have expanded treatment options for patients unsuitable for surgery.

摘要

甲状旁腺通过分泌甲状旁腺激素(PTH)在维持钙磷稳态中起关键作用。甲状旁腺功能亢进症的特征是PTH分泌过多,根据其病理生理学可分为原发性、继发性或三发性。虽然诊断主要依靠生化检查,但影像学检查对于准确定位功能亢进的腺体至关重要。精确的定位有助于进行有针对性的微创手术,降低持续性或复发性疾病的风险,并避免不必要的双侧颈部探查。目前的技术包括高分辨率超声检查、99mTc-甲氧基异丁基异腈闪烁显像联合单光子发射计算机断层扫描/计算机断层扫描(CT)、四维CT、磁共振成像以及使用18F-氟胆碱等示踪剂的正电子发射断层扫描/CT。甲状旁腺切除术仍然是主要的治疗方法;然而,热消融技术的最新进展为不适合手术的患者扩展了治疗选择。

https://cdn.ncbi.nlm.nih.gov/pmc/blobs/3bcd/12457962/44b917934f45/usg-25102f1.jpg

文献检索

告别复杂PubMed语法,用中文像聊天一样搜索,搜遍4000万医学文献。AI智能推荐,让科研检索更轻松。

立即免费搜索

文件翻译

保留排版,准确专业,支持PDF/Word/PPT等文件格式,支持 12+语言互译。

免费翻译文档

深度研究

AI帮你快速写综述,25分钟生成高质量综述,智能提取关键信息,辅助科研写作。

立即免费体验