• 文献检索
  • 文档翻译
  • 深度研究
  • 学术资讯
  • Suppr Zotero 插件Zotero 插件
  • 邀请有礼
  • 套餐&价格
  • 历史记录
应用&插件
Suppr Zotero 插件Zotero 插件浏览器插件Mac 客户端Windows 客户端微信小程序
定价
高级版会员购买积分包购买API积分包
服务
文献检索文档翻译深度研究API 文档MCP 服务
关于我们
关于 Suppr公司介绍联系我们用户协议隐私条款
关注我们

Suppr 超能文献

核心技术专利:CN118964589B侵权必究
粤ICP备2023148730 号-1Suppr @ 2026

文献检索

告别复杂PubMed语法,用中文像聊天一样搜索,搜遍4000万医学文献。AI智能推荐,让科研检索更轻松。

立即免费搜索

文件翻译

保留排版,准确专业,支持PDF/Word/PPT等文件格式,支持 12+语言互译。

免费翻译文档

深度研究

AI帮你快速写综述,25分钟生成高质量综述,智能提取关键信息,辅助科研写作。

立即免费体验

儿童腹部结核病的临床表现、诊断与管理:来自印度北部一家三级医疗中心的前瞻性描述性研究

Clinical Presentation, Diagnosis, and Management of Abdominal Tuberculosis in Pediatric Population: A Prospective Descriptive Study From a Tertiary Care Centre in North India.

作者信息

Yhoshu Enono, Garnaik Deepak K, Kashiv Soumya, Bhat Nowneet, Piplani Rajat, Prasad Amber, Ahmed Intezar, Balija Satya Sree

机构信息

Pediatric Surgery, All India Institute of Medical Sciences, Rishikesh, Rishikesh, IND.

Pediatric Medicine, All India Institute of Medical Sciences, Rishikesh, Rishikesh, IND.

出版信息

Cureus. 2025 Aug 19;17(8):e90491. doi: 10.7759/cureus.90491. eCollection 2025 Aug.

DOI:10.7759/cureus.90491
PMID:40978883
原文链接:https://pmc.ncbi.nlm.nih.gov/articles/PMC12446891/
Abstract

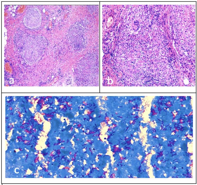
Aims Abdominal tuberculosis (TB) continues to be a common and challenging abdominal disease in children, with a nonspecific clinical presentation and poor outcomes in delayed diagnosis and complicated cases. We aimed to prospectively evaluate the clinical features and diagnostic workup of children with suspected abdominal TB, with a focus on early initiation of medical and surgical treatment and monitoring of therapeutic outcomes. Materials and methods A time-bound prospective observational study of all patients ≤ 17 years requiring admission with symptoms suggestive of abdominal TB from February 2020 to May 2023 was conducted. All necessary routine blood tests and imaging were done, and endoscopies and surgeries as needed by the patient were carried out. The data of the patients who were diagnosed as abdominal TB - probable or definitive - were analyzed. Results Forty-seven patients were recruited with a suspected diagnosis of abdominal TB. Thirty-four patients (24 females and 10 males) were diagnosed as abdominal TB - definite in 18/34 patients (52.94%) and probable in 16/34 patients (47.06%). The mean age was 12.20 ± 3.82 years (4-17 years). Median duration of the symptoms was three months (IQR = 1-5 months). The commonest symptoms were abdominal pain (94.11%), fever (73.52%), and loss of appetite and weight (70.58%). Twelve patients (35.29%) gave a positive history of contact with TB. There were 13/34 (38.23%) patients who had concomitant pulmonary and abdominal TB, and 21/34 (61.76%) patients who had only abdominal TB. Mantoux tuberculin skin test was performed in 20 patients, of which 9/20 (45%) were positive. A Cartridge-Based Nucleic Acid Amplification Test (CBNAAT) was performed in 30/34 patients (88.23%) from fluid or tissue samples, of which 11 patients (35.48%) showed CBNAAT positivity. Fifteen patients (44.11%) underwent surgery, 12 for intestinal perforation and three for intestinal obstruction. Out of the 18 definite cases of abdominal TB, 11/18 (61.111%) were CBNAAT positive, and 10/18 (55.55%) had histopathology suggestive of TB. The 16 probable cases of abdominal TB had a strong history and imaging suggestive of TB abdomen. A total of seven patients who underwent surgery for intestinal perforation expired. One patient developed a relapse, and four patients developed drug-induced liver injury (DILI). Conclusion Abdominal TB remains a common cause of acute abdomen in the pediatric population, often presenting with non-specific features and lacking a definitive diagnostic modality. Early detection through recognition of common clinical features, guided imaging, and timely sampling for confirmation is vital for initiating antitubercular therapy (ATT) and improving outcomes in abdominal TB.

摘要

目的 腹部结核病(TB)在儿童中仍然是一种常见且具有挑战性的腹部疾病,临床表现不具有特异性,延迟诊断和复杂病例的预后较差。我们旨在前瞻性评估疑似腹部结核患儿的临床特征和诊断检查,重点关注早期开始药物和手术治疗以及监测治疗效果。

材料和方法 对2020年2月至2023年5月期间所有≤17岁因疑似腹部结核症状而需要入院的患者进行了一项有时间限制的前瞻性观察研究。进行了所有必要的常规血液检查和影像学检查,并根据患者需要进行了内镜检查和手术。对被诊断为可能或确诊腹部结核的患者数据进行了分析。

结果 招募了47例疑似腹部结核的患者。34例患者(24例女性和10例男性)被诊断为腹部结核——确诊18例(52.94%),可能16例(47.06%)。平均年龄为12.20±3.82岁(4 - 17岁)。症状的中位持续时间为3个月(四分位间距 = 1 - 5个月)。最常见的症状是腹痛(94.11%)、发热(73.52%)以及食欲不振和体重减轻(70.58%)。12例患者(35.29%)有结核病接触史阳性。34例患者中有13例(38.23%)同时患有肺结核和腹部结核,21例(61.76%)仅患有腹部结核。对20例患者进行了结核菌素皮肤试验,其中9/20(45%)为阳性。对34例患者中的30例(88.23%)进行了基于 cartridge 的核酸扩增试验(CBNAAT),从体液或组织样本中检测,其中11例患者(35.48%)CBNAAT呈阳性。15例患者(44.11%)接受了手术,12例因肠穿孔,3例因肠梗阻。在18例确诊的腹部结核病例中,11/18(61.11%)CBNAAT呈阳性,10/18(55.55%)组织病理学提示为结核。16例可能的腹部结核病例有强烈的病史和影像学提示腹部结核。共有7例因肠穿孔接受手术的患者死亡。1例患者复发,4例患者发生药物性肝损伤(DILI)。

结论 腹部结核仍然是儿童急性腹痛的常见原因,通常表现为非特异性特征且缺乏明确的诊断方法。通过识别常见临床特征、引导性影像学检查以及及时采样进行确诊以早期发现对于启动抗结核治疗(ATT)和改善腹部结核的预后至关重要。

https://cdn.ncbi.nlm.nih.gov/pmc/blobs/753f/12446891/b2421fbe9019/cureus-0017-00000090491-i04.jpg
https://cdn.ncbi.nlm.nih.gov/pmc/blobs/753f/12446891/dd968049a352/cureus-0017-00000090491-i01.jpg
https://cdn.ncbi.nlm.nih.gov/pmc/blobs/753f/12446891/e31b9a175e7a/cureus-0017-00000090491-i02.jpg
https://cdn.ncbi.nlm.nih.gov/pmc/blobs/753f/12446891/812a88a35a93/cureus-0017-00000090491-i03.jpg
https://cdn.ncbi.nlm.nih.gov/pmc/blobs/753f/12446891/b2421fbe9019/cureus-0017-00000090491-i04.jpg
https://cdn.ncbi.nlm.nih.gov/pmc/blobs/753f/12446891/dd968049a352/cureus-0017-00000090491-i01.jpg
https://cdn.ncbi.nlm.nih.gov/pmc/blobs/753f/12446891/e31b9a175e7a/cureus-0017-00000090491-i02.jpg
https://cdn.ncbi.nlm.nih.gov/pmc/blobs/753f/12446891/812a88a35a93/cureus-0017-00000090491-i03.jpg
https://cdn.ncbi.nlm.nih.gov/pmc/blobs/753f/12446891/b2421fbe9019/cureus-0017-00000090491-i04.jpg

相似文献

1
Clinical Presentation, Diagnosis, and Management of Abdominal Tuberculosis in Pediatric Population: A Prospective Descriptive Study From a Tertiary Care Centre in North India.儿童腹部结核病的临床表现、诊断与管理:来自印度北部一家三级医疗中心的前瞻性描述性研究
Cureus. 2025 Aug 19;17(8):e90491. doi: 10.7759/cureus.90491. eCollection 2025 Aug.
2
Low-complexity manual nucleic acid amplification tests for pulmonary tuberculosis in children.用于儿童肺结核的低复杂度手动核酸扩增检测
Cochrane Database Syst Rev. 2025 Jun 25;6(6):CD015806. doi: 10.1002/14651858.CD015806.pub2.
3
Prescription of Controlled Substances: Benefits and Risks管制药品的处方:益处与风险
4
Signs and symptoms to determine if a patient presenting in primary care or hospital outpatient settings has COVID-19.在基层医疗机构或医院门诊环境中,如果患者出现以下症状和体征,可判断其是否患有 COVID-19。
Cochrane Database Syst Rev. 2022 May 20;5(5):CD013665. doi: 10.1002/14651858.CD013665.pub3.
5
Six-month therapy for abdominal tuberculosis.腹部结核的六个月治疗
Cochrane Database Syst Rev. 2016 Nov 1;11(11):CD012163. doi: 10.1002/14651858.CD012163.pub2.
6
Lateral flow urine lipoarabinomannan assay for detecting active tuberculosis in HIV-positive adults.用于检测HIV阳性成年人活动性结核病的侧向流动尿液脂阿拉伯甘露聚糖检测法
Cochrane Database Syst Rev. 2016 May 10;2016(5):CD011420. doi: 10.1002/14651858.CD011420.pub2.
7
Lung and abdominal ultrasound accuracy for tuberculosis: An Indian prospective cohort study.肺部及腹部超声对结核病的诊断准确性:一项印度前瞻性队列研究。
PLoS One. 2025 Sep 3;20(9):e0329670. doi: 10.1371/journal.pone.0329670. eCollection 2025.
8
The Prevalence and Clinical Presentation of Abdominal Tuberculosis in Patients With Acute Surgical Abdomen: A Prospective Observational Study.急性腹痛患者腹部结核的患病率及临床表现:一项前瞻性观察研究。
Cureus. 2025 Aug 10;17(8):e89732. doi: 10.7759/cureus.89732. eCollection 2025 Aug.
9
The effect of sample site and collection procedure on identification of SARS-CoV-2 infection.样本采集部位和采集程序对严重急性呼吸综合征冠状病毒2(SARS-CoV-2)感染鉴定的影响。
Cochrane Database Syst Rev. 2024 Dec 16;12(12):CD014780. doi: 10.1002/14651858.CD014780.
10
Xpert® MTB/RIF assay for pulmonary tuberculosis and rifampicin resistance in adults.用于检测成人肺结核及利福平耐药性的Xpert® MTB/RIF检测法
Cochrane Database Syst Rev. 2014 Jan 21;2014(1):CD009593. doi: 10.1002/14651858.CD009593.pub3.

本文引用的文献

1
A Critical Appraisal of Clinicopathological, Imaging, and GeneXpert Profiles of Surgical Referrals with Pediatric Abdominal Tuberculosis.小儿腹部结核手术转诊病例的临床病理、影像学及GeneXpert特征的批判性评估
J Indian Assoc Pediatr Surg. 2023 Jan-Feb;28(1):41-47. doi: 10.4103/jiaps.jiaps_195_21. Epub 2023 Jan 10.
2
Diagnostic yield of CBNAAT in the diagnosis of extrapulmonary tuberculosis: A prospective observational study.CBNAAT在肺外结核病诊断中的诊断率:一项前瞻性观察研究。
Lung India. 2022 Sep-Oct;39(5):443-448. doi: 10.4103/lungindia.lungindia_165_22.
3
Abdominal tuberculosis in children: A real-world experience of 218 cases from an endemic region.
儿童腹部结核:来自一个地方病流行地区218例病例的真实世界经验
JGH Open. 2019 Aug 20;4(2):215-220. doi: 10.1002/jgh3.12245. eCollection 2020 Apr.
4
Abdominal Tuberculosis in Children: Challenges, Uncertainty, and Confusion.儿童腹腔结核病:挑战、不确定性和困惑。
J Pediatric Infect Dis Soc. 2020 Apr 30;9(2):218-227. doi: 10.1093/jpids/piz093.
5
Abdominal tuberculosis in Indians: Still very pertinent.印度人的腹部结核病:仍然非常值得关注。
J Clin Tuberc Other Mycobact Dis. 2019 Mar 7;15:100097. doi: 10.1016/j.jctube.2019.100097. eCollection 2019 May.
6
Acute presentation of koch's abdomen in children: Our experience.儿童科赫氏腹膜炎的急性表现:我们的经验。
Afr J Paediatr Surg. 2017 Jul-Sep;14(3):43-48. doi: 10.4103/ajps.AJPS_91_16.
7
Extrapulmonary tuberculosis among females in South Asia-gap analysis.南亚女性肺外结核病——差距分析
Int J Mycobacteriol. 2016 Dec;5(4):392-399. doi: 10.1016/j.ijmyco.2016.09.054. Epub 2016 Nov 15.
8
The role of laboratory investigations in evaluating abdominal tuberculosis.实验室检查在评估腹部结核中的作用。
J Family Community Med. 2015 Sep-Dec;22(3):152-7. doi: 10.4103/2230-8229.163029.
9
Diagnosis and treatment strategies of tuberculous intestinal perforations: a case series.结核性肠穿孔的诊断和治疗策略:病例系列。
Eur J Gastroenterol Hepatol. 2012 May;24(5):594-9. doi: 10.1097/MEG.0b013e328350fd4a.
10
Nodal tuberculosis revisited: a review.再探结节性结核:综述
J Infect Dev Ctries. 2012 Jan 12;6(1):6-12. doi: 10.3855/jidc.2090.