Suppr超能文献

人类白细胞抗原(HLA)重链的进一步结构研究及其与免疫球蛋白的相似性。

Further structural studies of the heavy chain of HLA antigens and its similarity to immunoglobulins.

作者信息

Terhorst C, Robb R, Jones C, Strominger J L

出版信息

Proc Natl Acad Sci U S A. 1977 Sep;74(9):4002-6. doi: 10.1073/pnas.74.9.4002.

Abstract

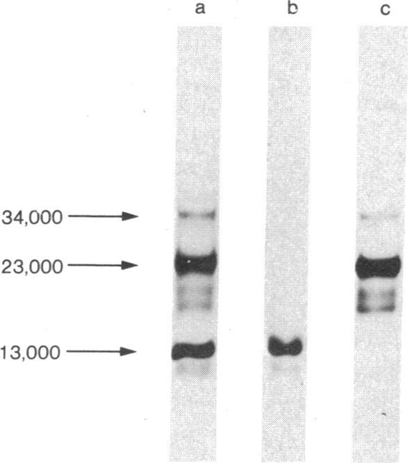
The papain-solubilized fragment of the heavy chain of HLA-B7, which is the NH2-terminal part of the whole polypeptide chain, can be divided into three regions by mild acid and cyanogen bromide cleavages. The first 100 amino acids terminating in a methionine residue contain the carbohydrate moiety; this segment is followed by two others of molecular weights 9,999 and 13,000, each containing an intrachain disulfide bridge. The two intrachain disulfide bridges are separated by a stretch of amino acids containing an acid-labile aspartyl-prolHLA-2, A28, and AW25 contain this acid-labile peptide bond in their larger subunit. Sequencing from the acid cleavage site of HLA-7 through the third half-cystine revealed consideralbe homology with amino acid sequences around a half-cystine in immunoglobulin variable regions.

摘要

HLA - B7重链的木瓜蛋白酶可溶解片段是整个多肽链的氨基末端部分,通过温和酸解和溴化氰裂解可将其分为三个区域。以甲硫氨酸残基结尾的前100个氨基酸含有碳水化合物部分;该片段之后是另外两个分子量分别为9999和13000的片段,每个片段都含有链内二硫键。两条链内二硫键被一段含有酸不稳定天冬氨酰 - 脯氨酰的氨基酸隔开。HLA - 2、A28和AW25在其较大亚基中含有这种酸不稳定肽键。从HLA - 7的酸裂解位点到第三个半胱氨酸进行测序,发现与免疫球蛋白可变区中一个半胱氨酸周围的氨基酸序列有相当大的同源性。

https://cdn.ncbi.nlm.nih.gov/pmc/blobs/f40c/431819/bb1b77f4d9b4/pnas00031-0387-a.jpg

文献检索

告别复杂PubMed语法,用中文像聊天一样搜索,搜遍4000万医学文献。AI智能推荐,让科研检索更轻松。

立即免费搜索

文件翻译

保留排版,准确专业,支持PDF/Word/PPT等文件格式,支持 12+语言互译。

免费翻译文档

深度研究

AI帮你快速写综述,25分钟生成高质量综述,智能提取关键信息,辅助科研写作。

立即免费体验