Suppr超能文献

累及下颌下腺的巨大涎石病酷似下颌骨骨瘤——1例罕见临床病理病例报告及文献复习

Giant sialolithiasis involving submandibular gland mimicking osteoma of the mandible - A rare clinicopathological case report and a review of literature.

作者信息

Datarkar Abhay, Valvi Bhavana, Parmar Suraj, Daware Surendra

机构信息

Department of Oral and Maxillofacial Surgery, Government Dental College and Hospital, Nagpur, Maharashtra, India.

出版信息

Natl J Maxillofac Surg. 2025 May-Aug;16(2):388-392. doi: 10.4103/njms.njms_475_21. Epub 2025 Aug 30.

Abstract

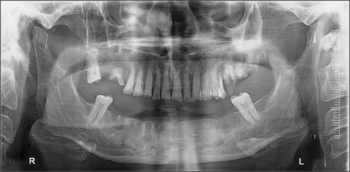
The sialolith is a calcified mass resulting from the crystallization of salivary solute made up of calcium phosphates such as hydroxyapatite and octacalcium phosphate with yellowish discoloration and different shapes and sizes in the range of 1-2 cm normally, while occurrence of large sialolithiasis is rare, with literature showing sizes from 3.5 cm to 7 cm noted till date. About 80% of sialolithiasis occurs in submandibular glands and 20% in parotid gland and <1% is seen with sublingual gland. For small sialolithiasis and for superficially located sialolithiasis at ductal regions, conservative management is performed. However, for larger sialolithiasis, surgical management is mandatory which includes various methods such as transoral sialolithotomy, laser techniques, and sialendoscopy-assisted techniques. Complete excision of salivary gland is recommended for large, multiple, and recurrent cases of sialolith. In the present study, we have presented the unusual-sized rare case of salivary gland stone found in submandibular salivary gland and not in ductal region which was mimicking an osteoma on OPG and discuss the review of literature. This giant sialolith was managed with extraoral submandibular approach followed by TOTO removal of the sialolith which measured about 38 g in weight and 28 mm in size. Present sialolith was the rarest till date with heavyweight of about 38 g and 28 mm in size. Even the conventional method is sufficient to excise the sialolith when other modalities are not available. Chronic sialolith is common in old male patients and shows positive correlation with chronic smoking.

摘要

涎石是由唾液溶质结晶形成的钙化团块,其主要成分是磷酸钙,如羟基磷灰石和磷酸八钙,通常呈淡黄色,形状和大小各异,一般在1 - 2厘米范围内,而大涎石病的发生较为罕见,文献记载至今发现的最大尺寸为3.5厘米至7厘米。约80%的涎石病发生于下颌下腺,20%发生于腮腺,舌下腺发病<1%。对于小涎石病以及导管区域浅表性涎石病,采取保守治疗。然而,对于较大的涎石病,则必须进行手术治疗,包括经口涎石切除术、激光技术和涎腺内镜辅助技术等多种方法。对于大的、多发的和复发性涎石病例,建议完整切除涎腺。在本研究中,我们报告了一例罕见的、尺寸异常的涎腺结石病例,该结石位于下颌下涎腺而非导管区域,在全景片上类似骨瘤,并对相关文献进行了综述。该巨大涎石采用口外下颌下入路,随后通过TOTO法取出,涎石重量约38克,尺寸为28毫米。目前的涎石是迄今为止最罕见的,重量约38克,尺寸为28毫米。当没有其他方法可用时,传统方法也足以切除涎石。慢性涎石在老年男性患者中较为常见,且与长期吸烟呈正相关。

https://cdn.ncbi.nlm.nih.gov/pmc/blobs/172b/12469081/9fe9b7f2d2c8/NJMS-16-388-g001.jpg

文献检索

告别复杂PubMed语法,用中文像聊天一样搜索,搜遍4000万医学文献。AI智能推荐,让科研检索更轻松。

立即免费搜索

文件翻译

保留排版,准确专业,支持PDF/Word/PPT等文件格式,支持 12+语言互译。

免费翻译文档

深度研究

AI帮你快速写综述,25分钟生成高质量综述,智能提取关键信息,辅助科研写作。

立即免费体验