Suppr超能文献

Rhodopsin and blindness.

作者信息

Wong V G, Green W R, McMaster P R

出版信息

Trans Am Ophthalmol Soc. 1977;75:272-84.

Abstract

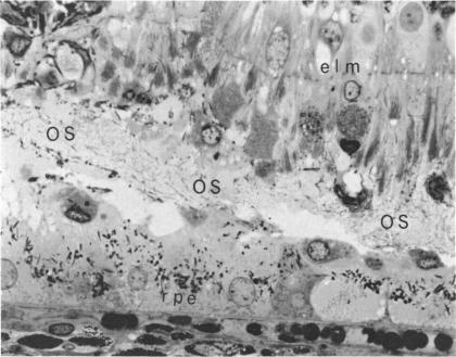
Systemic immunization with purified homologous rhodopsin from retinal outer segments induced blindness in primates (Macaca mulatta). Inflammation and characteristic retinal changes were the earliest clinical signs of the disease. Perivasculitis, subretinal exudations and bullous detachments of the retina were progressive and unrelenting pathological processes leading to rapid and irreversible visual deterioration. Electroretinographic responses (ERG) at this stage of the disorder became abolished. Antibodies and delayed hypersensitivity to rhodopsin were demonstrated only in the experimental diseased animals. Homologous visual purple appears to be organ and immunopathologically specific. Histological confirmation of these findings showed a pathological spectrum of destructive alterations confirmed specifically to the outer segments of the entire retina. The pathologic reaction was supported by a distinct and pronounced granulomatous inflammatory response.

摘要
https://cdn.ncbi.nlm.nih.gov/pmc/blobs/8cc2/1311551/3e3da5df8d04/taos00024-0297-a.jpg

文献检索

告别复杂PubMed语法,用中文像聊天一样搜索,搜遍4000万医学文献。AI智能推荐,让科研检索更轻松。

立即免费搜索

文件翻译

保留排版,准确专业,支持PDF/Word/PPT等文件格式,支持 12+语言互译。

免费翻译文档

深度研究

AI帮你快速写综述,25分钟生成高质量综述,智能提取关键信息,辅助科研写作。

立即免费体验