Suppr超能文献

人类颈动脉体的死后大小及结构

Post-mortem size and structure of the human carotid body.

作者信息

Heath D, Edwards C, Harris P

出版信息

Thorax. 1970 Mar;25(2):129-40. doi: 10.1136/thx.25.2.129.

Abstract

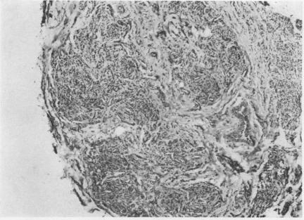
The weights of the carotid bodies have been measured in an unselected group of 40 successive cases coming for routine necropsy. Although the mean weight of the carotid bodies was higher in those subjects with emphysema or Pickwickian syndrome, this difference did not reach a level of statistical significance. Nevertheless, in a group of two patients with cor pulmonale and one with the Pickwickian syndrome the mean weight of the carotid bodies was significantly higher than that of the rest. Such observations would be consistent with enlargement of the glomic tissue in response to chronic hypoxia. In addition to these observations there was a significant correlation between the size of the carotid bodies and the weights of the left and right ventricles separately, while there was a substantially higher correlation between the weights of the carotid bodies and the combined weights of the two ventricles. Should such a correlation be determined by a causative link between these two measurements, a new metabolic role of glomic tissue will have to be considered. The histology of the carotid bodies was studied and differential cell counts were carried out in 21 cases. Enlargement of the carotid bodies was not accompanied by any change in the differential cell count, except that in one case with `cor pulmonale' and large carotid bodies areas of hyperplasia showed a predominance of the dark variety of type 1 (chief) cell.

摘要

在一组连续40例进行常规尸检的未经过挑选的病例中,测量了颈动脉体的重量。尽管患有肺气肿或匹克威克综合征的受试者的颈动脉体平均重量较高,但这种差异未达到统计学显著水平。然而,在一组两名患有肺心病的患者和一名患有匹克威克综合征的患者中,颈动脉体的平均重量明显高于其他患者。这些观察结果与肾小球组织因慢性缺氧而增大是一致的。除了这些观察结果外,颈动脉体的大小与左、右心室的重量分别存在显著相关性,而颈动脉体的重量与两个心室的总重量之间的相关性则更高。如果这种相关性是由这两个测量值之间的因果联系所决定的,那么就必须考虑肾小球组织的一种新的代谢作用。对21例病例的颈动脉体组织学进行了研究并进行了细胞分类计数。颈动脉体增大并未伴有细胞分类计数的任何变化,只是在一例患有“肺心病”且颈动脉体较大的病例中,增生区域显示1型(主要)细胞的深色变体占优势。

https://cdn.ncbi.nlm.nih.gov/pmc/blobs/96b8/472136/ffc6f262e656/thorax00110-0005-a.jpg

文献检索

告别复杂PubMed语法,用中文像聊天一样搜索,搜遍4000万医学文献。AI智能推荐,让科研检索更轻松。

立即免费搜索

文件翻译

保留排版,准确专业,支持PDF/Word/PPT等文件格式,支持 12+语言互译。

免费翻译文档

深度研究

AI帮你快速写综述,25分钟生成高质量综述,智能提取关键信息,辅助科研写作。

立即免费体验