Suppr超能文献

血小板对尿酸单钠晶体反应的机制。

Mechanisms of platelet response to monosodium urate crystals.

作者信息

Ginsberg M, Henson P, Henson J, Kozin F

出版信息

Am J Pathol. 1979 Mar;94(3):549-68.

Abstract

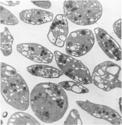
The mechanisms of urate-crystal-induced release of platelet constituents has been studied morphologically and biochemically. Urate crystals provoked an early energy-dependent release of the dense-body constituents serotonin, ADP, and ATP from washed platelets. Concurrently, platelet ultrastructure showed evidence of shape change, contractile wave, and aggregation. These are typical morphologic concomitants of platelet secretion. By 30 minutes' incubation, urate-induced platelet lysis occurred, as shown by loss of the cytoplasmic enzyme lactic dehydrogenase (LDH) and ultrastructurally by disruption of platelet membrane integrity. Cytochalasin B inhibited the urate-crystal-induced shape change, aggregation, and disruption of cell membranes. Platelet degranulation was not inhibited and the initial component of serotonin release was not affected. Cytochalasin B also abrogated crystal-induced LDH loss. Thus, the initial crystal-induced serotonin release does not depend on platelet lysis. It is concluded that urate-crystal--induced release of serotonin, ATP, and ADP represents an example of platelet secretion.

摘要

已从形态学和生物化学方面对尿酸盐晶体诱导血小板成分释放的机制进行了研究。尿酸盐晶体促使洗涤后的血小板早期以能量依赖方式释放致密体成分5-羟色胺、二磷酸腺苷(ADP)和三磷酸腺苷(ATP)。同时,血小板超微结构显示出形状改变、收缩波和聚集的迹象。这些是血小板分泌的典型形态学伴随现象。孵育30分钟后,出现尿酸盐诱导的血小板溶解,表现为细胞质酶乳酸脱氢酶(LDH)丧失,超微结构显示血小板膜完整性遭到破坏。细胞松弛素B抑制尿酸盐晶体诱导的形状改变、聚集以及细胞膜破坏。血小板脱颗粒未受抑制,5-羟色胺释放的初始成分未受影响。细胞松弛素B也消除了晶体诱导的LDH丧失。因此,最初晶体诱导的5-羟色胺释放不依赖于血小板溶解。得出的结论是,尿酸盐晶体诱导的5-羟色胺、ATP和ADP释放是血小板分泌的一个实例。

https://cdn.ncbi.nlm.nih.gov/pmc/blobs/461d/2042258/d15eddf71e63/amjpathol00247-0120-a.jpg

文献检索

告别复杂PubMed语法,用中文像聊天一样搜索,搜遍4000万医学文献。AI智能推荐,让科研检索更轻松。

立即免费搜索

文件翻译

保留排版,准确专业,支持PDF/Word/PPT等文件格式,支持 12+语言互译。

免费翻译文档

深度研究

AI帮你快速写综述,25分钟生成高质量综述,智能提取关键信息,辅助科研写作。

立即免费体验