• 文献检索
  • 文档翻译
  • 深度研究
  • 学术资讯
  • Suppr Zotero 插件Zotero 插件
  • 邀请有礼
  • 套餐&价格
  • 历史记录
应用&插件
Suppr Zotero 插件Zotero 插件浏览器插件Mac 客户端Windows 客户端微信小程序
定价
高级版会员购买积分包购买API积分包
服务
文献检索文档翻译深度研究API 文档MCP 服务
关于我们
关于 Suppr公司介绍联系我们用户协议隐私条款
关注我们

Suppr 超能文献

核心技术专利:CN118964589B侵权必究
粤ICP备2023148730 号-1Suppr @ 2026

文献检索

告别复杂PubMed语法,用中文像聊天一样搜索,搜遍4000万医学文献。AI智能推荐,让科研检索更轻松。

立即免费搜索

文件翻译

保留排版,准确专业,支持PDF/Word/PPT等文件格式,支持 12+语言互译。

免费翻译文档

深度研究

AI帮你快速写综述,25分钟生成高质量综述,智能提取关键信息,辅助科研写作。

立即免费体验

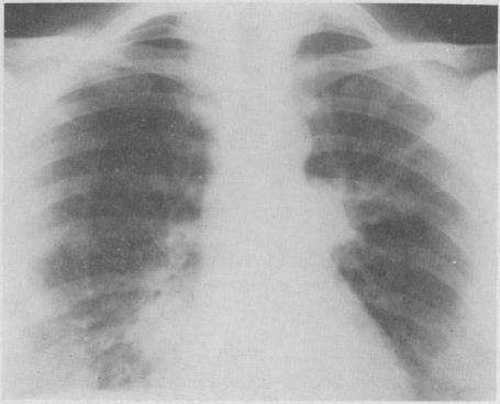
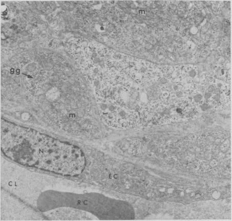
Non-chromaffin paraganglioma of the kidney with distant metastases.

作者信息

Lagace R, Tremblay M

出版信息

Can Med Assoc J. 1968 Dec 7;99(22):1095-8.

PMID:4301620
原文链接:https://pmc.ncbi.nlm.nih.gov/articles/PMC1945469/
Abstract
摘要
https://cdn.ncbi.nlm.nih.gov/pmc/blobs/1084/1945469/4c56e20b9fb6/canmedaj01294-0037-d.jpg
https://cdn.ncbi.nlm.nih.gov/pmc/blobs/1084/1945469/2dcef3bff270/canmedaj01294-0035-a.jpg
https://cdn.ncbi.nlm.nih.gov/pmc/blobs/1084/1945469/c88ed4c76e5b/canmedaj01294-0036-a.jpg
https://cdn.ncbi.nlm.nih.gov/pmc/blobs/1084/1945469/a4492c0d7940/canmedaj01294-0036-b.jpg
https://cdn.ncbi.nlm.nih.gov/pmc/blobs/1084/1945469/3e7c80dc953b/canmedaj01294-0036-c.jpg
https://cdn.ncbi.nlm.nih.gov/pmc/blobs/1084/1945469/ecd0590d188f/canmedaj01294-0036-d.jpg
https://cdn.ncbi.nlm.nih.gov/pmc/blobs/1084/1945469/809ef3056fd0/canmedaj01294-0037-a.jpg
https://cdn.ncbi.nlm.nih.gov/pmc/blobs/1084/1945469/0bccf541894c/canmedaj01294-0037-b.jpg
https://cdn.ncbi.nlm.nih.gov/pmc/blobs/1084/1945469/bb68e07e8a46/canmedaj01294-0037-c.jpg
https://cdn.ncbi.nlm.nih.gov/pmc/blobs/1084/1945469/4c56e20b9fb6/canmedaj01294-0037-d.jpg
https://cdn.ncbi.nlm.nih.gov/pmc/blobs/1084/1945469/2dcef3bff270/canmedaj01294-0035-a.jpg
https://cdn.ncbi.nlm.nih.gov/pmc/blobs/1084/1945469/c88ed4c76e5b/canmedaj01294-0036-a.jpg
https://cdn.ncbi.nlm.nih.gov/pmc/blobs/1084/1945469/a4492c0d7940/canmedaj01294-0036-b.jpg
https://cdn.ncbi.nlm.nih.gov/pmc/blobs/1084/1945469/3e7c80dc953b/canmedaj01294-0036-c.jpg
https://cdn.ncbi.nlm.nih.gov/pmc/blobs/1084/1945469/ecd0590d188f/canmedaj01294-0036-d.jpg
https://cdn.ncbi.nlm.nih.gov/pmc/blobs/1084/1945469/809ef3056fd0/canmedaj01294-0037-a.jpg
https://cdn.ncbi.nlm.nih.gov/pmc/blobs/1084/1945469/0bccf541894c/canmedaj01294-0037-b.jpg
https://cdn.ncbi.nlm.nih.gov/pmc/blobs/1084/1945469/bb68e07e8a46/canmedaj01294-0037-c.jpg
https://cdn.ncbi.nlm.nih.gov/pmc/blobs/1084/1945469/4c56e20b9fb6/canmedaj01294-0037-d.jpg

相似文献

1
Non-chromaffin paraganglioma of the kidney with distant metastases.伴有远处转移的肾非嗜铬性副神经节瘤。
Can Med Assoc J. 1968 Dec 7;99(22):1095-8.
2
MALIGNANT NON-CHROMAFFIN PARAGANGLIOMA IN THE ORBIT.眼眶恶性非嗜铬性副神经节瘤
Br J Ophthalmol. 1963 Jun;47(6):357-63. doi: 10.1136/bjo.47.6.357.
3
[Observation of an atypically located malignant chemodectoma of the neck with metastases into the lungs].[颈部非典型部位恶性化学感受器瘤伴肺转移的观察]
Klin Khir (1962). 1976 Aug(8):55-6.
4
Malignant non-chromaffin paraganglioma with metastases to the kidneys.伴有肾脏转移的恶性非嗜铬性副神经节瘤。
Br J Urol. 1983 Jun;55(3):332-4. doi: 10.1111/j.1464-410x.1983.tb03310.x.
5
[Surgical treatment of soft tissue tumors].[软组织肿瘤的外科治疗]
Laval Med. 1970 Jan;41(1):22-3.
6
Pulmonary metastatic leiomyosarcoma coexisting with pulmonary chondroma in Carney's triad.卡尼三联征中肺转移性平滑肌肉瘤与肺软骨瘤并存。
Arch Intern Med. 1983 Jul;143(7):1462-4.
7
[Hypoglycemizing extrapancreatic tumors: case of retroperitoneal non-chromaffin paraganglioma].[引起低血糖的胰腺外肿瘤:腹膜后非嗜铬副神经节瘤病例]
Chir Patol Sper. 1969 Dec;17(6):483-97.
8
[On hematogenic metastases in esophageal carcinoma].[关于食管癌的血行转移]
Strahlentherapie. 1968 Dec;136(6):657-60.
9
[A case of malignant paraganglioma within the renal sinus].
Hinyokika Kiyo. 1985 Nov;31(11):2027-33.
10
Case records of the Massachussetts General Hospital. Weekly clinicopathological exercises. Case 14-1975.马萨诸塞州总医院病例记录。每周临床病理讨论。病例14 - 1975年。
N Engl J Med. 1975 Apr 3;292(14):741-5. doi: 10.1056/NEJM197504032921409.

引用本文的文献

1
Primary Renal Paragangliomas and Renal Neoplasia Associated with Pheochromocytoma/Paraganglioma: Analysis of von Hippel-Lindau (VHL), Succinate Dehydrogenase (SDHX) and Transmembrane Protein 127 (TMEM127).原发性肾副神经节瘤和与嗜铬细胞瘤/副神经节瘤相关的肾肿瘤:von Hippel-Lindau(VHL)、琥珀酸脱氢酶(SDHX)和跨膜蛋白 127(TMEM127)分析。
Endocr Pathol. 2017 Sep;28(3):253-268. doi: 10.1007/s12022-017-9489-0.
2
Renal paraganglioma: report of a case managed by robotic assisted laparoscopic partial nephrectomy and review of the literature.肾副神经节瘤:1例机器人辅助腹腔镜下肾部分切除术治疗病例报告及文献复习
Case Rep Urol. 2014;2014:527592. doi: 10.1155/2014/527592. Epub 2014 May 5.
3

本文引用的文献

1
Tumors of the carotid body.颈动脉体肿瘤
Am J Pathol. 1948 Mar;24(2):305-37.
2
A RETROPERITONEAL TUMOUR OF THE CHEMODECTOMA TYPE.化学感受器瘤型腹膜后肿瘤
J Clin Pathol. 1964 Jul;17(4):444-7. doi: 10.1136/jcp.17.4.444.
3
The histogenesis of alveolar soft part sarcoma.
J Pathol Bacteriol. 1963 Jul;86:169-77. doi: 10.1002/path.1700860121.
Primary large cell neuroendocrine carcinoma of the kidney.
肾脏原发性大细胞神经内分泌癌。
Pathol Oncol Res. 2010 Mar;16(1):139-42. doi: 10.1007/s12253-009-9180-y. Epub 2009 Jul 7.
4
Non-functional malignant paraganglioma of the stomach.
Virchows Arch A Pathol Anat Histopathol. 1990;417(3):261-6. doi: 10.1007/BF01600143.
5
Retroperitoneal chemodectoma.腹膜后化学感受器瘤
Proc R Soc Med. 1975 Aug;68(8):519-20. doi: 10.1177/003591577506800823.
4
Noradrenaline--adrenaline producing nonchromaffin paraganglioma.产生去甲肾上腺素 - 肾上腺素的非嗜铬副神经节瘤。
Acta Med Scand. 1962 Aug;172:249-57. doi: 10.1111/j.0954-6820.1962.tb07149.x.
5
Nonchromaffin-staining functional tumor of the organs of Zuckerkandl.祖克坎德尔器官的非嗜铬染色功能性肿瘤。
N Engl J Med. 1961 Jun 1;264:1130-3. doi: 10.1056/NEJM196106012642204.
6
Malignant paraganglioma of the organ of Zuckerkandl.
AMA Arch Pathol. 1956 Oct;62(4):335-9.
7
Histology and ultrastructure of carotid body paragangliomas. Comparison with the normal gland.颈动脉体副神经节瘤的组织学与超微结构。与正常腺体的比较。
Cancer. 1967 Sep;20(9):1473-88. doi: 10.1002/1097-0142(196709)20:9<1473::aid-cncr2820200914>3.0.co;2-i.
8
A non-chromaffin paraganglioma of the lung.肺非嗜铬性副神经节瘤
Thorax. 1966 May;21(3):205-8. doi: 10.1136/thx.21.3.205.
9
Osmiophilic granules in preaortal paraganglia from newborn rabbits.新生兔主动脉旁神经节中的嗜锇性颗粒。
Acta Physiol Scand. 1965 Nov;65(3):287-8. doi: 10.1111/j.1748-1716.1965.tb04274.x.