• 文献检索
  • 文档翻译
  • 深度研究
  • 学术资讯
  • Suppr Zotero 插件Zotero 插件
  • 邀请有礼
  • 套餐&价格
  • 历史记录
应用&插件
Suppr Zotero 插件Zotero 插件浏览器插件Mac 客户端Windows 客户端微信小程序
定价
高级版会员购买积分包购买API积分包
服务
文献检索文档翻译深度研究API 文档MCP 服务
关于我们
关于 Suppr公司介绍联系我们用户协议隐私条款
关注我们

Suppr 超能文献

核心技术专利:CN118964589B侵权必究
粤ICP备2023148730 号-1Suppr @ 2026

文献检索

告别复杂PubMed语法,用中文像聊天一样搜索,搜遍4000万医学文献。AI智能推荐,让科研检索更轻松。

立即免费搜索

文件翻译

保留排版,准确专业,支持PDF/Word/PPT等文件格式,支持 12+语言互译。

免费翻译文档

深度研究

AI帮你快速写综述,25分钟生成高质量综述,智能提取关键信息,辅助科研写作。

立即免费体验

豚鼠盲肠带移植至眼前房后其生理及精细结构的变化

Changes in the physiology and fine structure of the taenia of the guinea-pig caecum following transplantation into the anterior eye chamber.

作者信息

Burnstock G, Gannon B J, Malmfors T, Rogers D C

出版信息

J Physiol. 1971 Dec;219(1):139-54. doi: 10.1113/jphysiol.1971.sp009654.

DOI:10.1113/jphysiol.1971.sp009654
PMID:4333862
原文链接:https://pmc.ncbi.nlm.nih.gov/articles/PMC1331622/
Abstract
  1. The taenia of the guinea-pig caecum has been used as a model to study the re-establishment of autonomic innervation following transplantation into the anterior eye chamber. The ultrastructure, the histochemical localization of noradrenaline and acetylcholinesterase and the pharmacology of transmission to the taenia have been examined 1 day to 16 weeks following transplantation. Both ganglion-free strips of the taenia and caecal wall segments including the underlying Auerbach's plexus were used.2. Caecal wall preparations: nerve fibres from intramural ganglion cells retracted during the first 2 days following transplantation, but reappeared in the muscle soon afterwards. Adrenergic nerves from the iris formed terminals about ganglion cells at about 2-4 weeks. Both cholinergic excitatory and non-adrenergic (;purinergic') inhibitory transmission to the muscle was re-established by 2-4 days following transplantation.3. Taenia strip preparations: both adrenergic and cholinergic nerve fibres were demonstrated histochemically in muscle bundles by 2-4 weeks. Non-adrenergic inhibitory and cholinergic transmission was not re-established until 2-4 weeks following transplantation. There was an abnormally dense re-innervation of the muscle by adrenergic nerve fibres by about 8 weeks which is compared with the innervation of aganglionic bowel in Hirschsprung's disease.4. The origin of non-adrenergic inhibitory responses in the transplanted taenia is discussed and the results considered in relation to the re-innervation of transplants of the vas deferens and of intestine during early development.
摘要
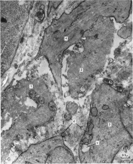
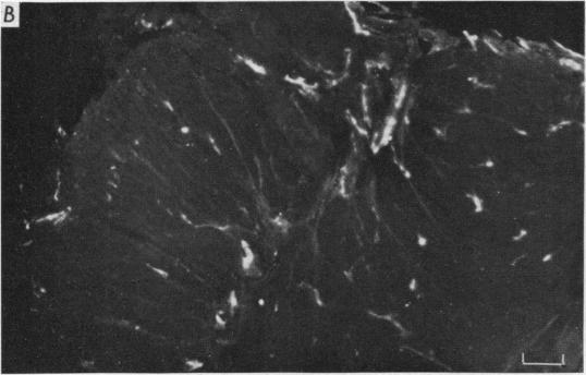
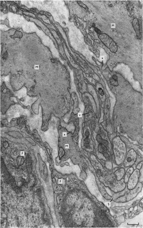
  1. 豚鼠盲肠带已被用作研究移植到眼前房后自主神经支配重新建立的模型。在移植后1天至16周,对其超微结构、去甲肾上腺素和乙酰胆碱酯酶的组织化学定位以及向盲肠带的传递药理学进行了研究。使用了盲肠带的无神经节条带以及包括其下的奥尔巴赫神经丛的盲肠壁段。

  2. 盲肠壁制剂:壁内神经节细胞的神经纤维在移植后的头2天内回缩,但随后很快在肌肉中重新出现。虹膜的肾上腺素能神经在约2 - 4周时在神经节细胞周围形成终末。移植后2 - 4天,向肌肉的胆碱能兴奋性和非肾上腺素能(嘌呤能)抑制性传递均重新建立。

  3. 盲肠带条带制剂:移植后2 - 4周,在组织化学上可在肌束中显示出肾上腺素能和胆碱能神经纤维。非肾上腺素能抑制性和胆碱能传递直到移植后2 - 4周才重新建立。到约8周时,肾上腺素能神经纤维对肌肉的再支配异常密集,这与先天性巨结肠病中无神经节肠段的神经支配情况进行了比较。

  4. 讨论了移植盲肠带中非肾上腺素能抑制反应的起源,并结合输精管和肠道移植在早期发育过程中的再支配情况对结果进行了考量。

https://cdn.ncbi.nlm.nih.gov/pmc/blobs/398a/1331622/0e4ba776c865/jphysiol01007-0159-d.jpg
https://cdn.ncbi.nlm.nih.gov/pmc/blobs/398a/1331622/589beffa1c25/jphysiol01007-0160-a.jpg
https://cdn.ncbi.nlm.nih.gov/pmc/blobs/398a/1331622/a0b2e3fd2b2f/jphysiol01007-0161-a.jpg
https://cdn.ncbi.nlm.nih.gov/pmc/blobs/398a/1331622/365361f06360/jphysiol01007-0162-a.jpg
https://cdn.ncbi.nlm.nih.gov/pmc/blobs/398a/1331622/79afee94da16/jphysiol01007-0162-b.jpg
https://cdn.ncbi.nlm.nih.gov/pmc/blobs/398a/1331622/a720f02c1f5b/jphysiol01007-0162-c.jpg
https://cdn.ncbi.nlm.nih.gov/pmc/blobs/398a/1331622/de8fff6a9f45/jphysiol01007-0162-d.jpg
https://cdn.ncbi.nlm.nih.gov/pmc/blobs/398a/1331622/7dab2d7c955e/jphysiol01007-0159-a.jpg
https://cdn.ncbi.nlm.nih.gov/pmc/blobs/398a/1331622/a6b3d5b7cbff/jphysiol01007-0159-b.jpg
https://cdn.ncbi.nlm.nih.gov/pmc/blobs/398a/1331622/ef30bbb57705/jphysiol01007-0159-c.jpg
https://cdn.ncbi.nlm.nih.gov/pmc/blobs/398a/1331622/0e4ba776c865/jphysiol01007-0159-d.jpg
https://cdn.ncbi.nlm.nih.gov/pmc/blobs/398a/1331622/589beffa1c25/jphysiol01007-0160-a.jpg
https://cdn.ncbi.nlm.nih.gov/pmc/blobs/398a/1331622/a0b2e3fd2b2f/jphysiol01007-0161-a.jpg
https://cdn.ncbi.nlm.nih.gov/pmc/blobs/398a/1331622/365361f06360/jphysiol01007-0162-a.jpg
https://cdn.ncbi.nlm.nih.gov/pmc/blobs/398a/1331622/79afee94da16/jphysiol01007-0162-b.jpg
https://cdn.ncbi.nlm.nih.gov/pmc/blobs/398a/1331622/a720f02c1f5b/jphysiol01007-0162-c.jpg
https://cdn.ncbi.nlm.nih.gov/pmc/blobs/398a/1331622/de8fff6a9f45/jphysiol01007-0162-d.jpg
https://cdn.ncbi.nlm.nih.gov/pmc/blobs/398a/1331622/7dab2d7c955e/jphysiol01007-0159-a.jpg
https://cdn.ncbi.nlm.nih.gov/pmc/blobs/398a/1331622/a6b3d5b7cbff/jphysiol01007-0159-b.jpg
https://cdn.ncbi.nlm.nih.gov/pmc/blobs/398a/1331622/ef30bbb57705/jphysiol01007-0159-c.jpg
https://cdn.ncbi.nlm.nih.gov/pmc/blobs/398a/1331622/0e4ba776c865/jphysiol01007-0159-d.jpg

相似文献

1
Changes in the physiology and fine structure of the taenia of the guinea-pig caecum following transplantation into the anterior eye chamber.豚鼠盲肠带移植至眼前房后其生理及精细结构的变化
J Physiol. 1971 Dec;219(1):139-54. doi: 10.1113/jphysiol.1971.sp009654.
2
The effect of cold storage on the adrenergic mechanisms of intestinal smooth muscle.冷藏对肠道平滑肌肾上腺素能机制的影响。
Br J Pharmacol. 1972 Nov;46(3):423-37. doi: 10.1111/j.1476-5381.1972.tb08140.x.
3
The inhibitory innervation of the taenia of the guinea-pig caecum.豚鼠盲肠带的抑制性神经支配。
J Physiol. 1966 Feb;182(3):504-26. doi: 10.1113/jphysiol.1966.sp007834.
4
Membrane properties and inhibitory innervation of the circular muscle cells of guinea-pig caecum.豚鼠盲肠环形肌细胞的膜特性与抑制性神经支配
J Physiol. 1973 Jun;231(3):455-70. doi: 10.1113/jphysiol.1973.sp010243.
5
Re-innervation of smooth muscle of the vas deferens transplanted into the anterior chamber of the eye.移植至眼前房的输精管平滑肌的再神经支配。
J Neurobiol. 1971;2(3):193-207. doi: 10.1002/neu.480020302.
6
Development and ageing of intestinal musculature and nerves: the guinea-pig taenia coli.肠道肌肉组织和神经的发育与衰老:豚鼠结肠带
J Neurocytol. 2001 Sep-Oct;30(9-10):733-66. doi: 10.1023/a:1019660519961.
7
Quinacrine-binding nervous elements in intraocular grafts of intestinal smooth muscle tissue.肠平滑肌组织眼内移植中的喹吖因结合神经元件。
Med Biol. 1980 Feb;58(1):45-8.
8
Localization of noradrenaline and acetylcholinesterase in the taenia of the guinea-pig caecum.去甲肾上腺素和乙酰胆碱酯酶在豚鼠盲肠带中的定位
Acta Physiol Scand. 1967 Apr;69(4):383-4. doi: 10.1111/j.1748-1716.1967.tb03535.x.
9
Purinergic innervation of the guinea-pig urinary bladder.豚鼠膀胱的嘌呤能神经支配
Br J Pharmacol. 1978 May;63(1):125-38. doi: 10.1111/j.1476-5381.1978.tb07782.x.
10
Studies of the interaction of 5-hydroxytryptamine and the perivascular innervation of the guinea-pig caecum.5-羟色胺与豚鼠盲肠血管周围神经支配相互作用的研究。
Br J Pharmacol. 1972 Jul;45(3):417-34. doi: 10.1111/j.1476-5381.1972.tb08098.x.

引用本文的文献

1
The anterior chamber of the eye technology and its anatomical, optical, and immunological bases.眼前房技术及其解剖学、光学和免疫学基础。
Physiol Rev. 2024 Jul 1;104(3):881-929. doi: 10.1152/physrev.00024.2023. Epub 2024 Jan 11.
2
The long-term influence of decentralisation or preganglionic hypogastric nerve stimulation in vivo on the reinnervation of minced vas deferens in the guinea-pig.体内去神经支配或节前腹下神经刺激对豚鼠输精管切碎组织再神经支配的长期影响。
Cell Tissue Res. 1983;232(2):281-93. doi: 10.1007/BF00213787.
3
Review lecture. Neurotransmitters and trophic factors in the autonomic nervous system.

本文引用的文献

1
Effects of nerve cross-union on fast-twitch and slow-graded muscle fibres in the toad.神经交叉联合对蟾蜍快肌和慢分级肌纤维的影响。
J Physiol. 1968 Sep;198(1):103-25. doi: 10.1113/jphysiol.1968.sp008596.
2
ADRENERGIC INNERVATION OF CAT IRIS SPHINCTER.猫虹膜括约肌的肾上腺素能神经支配
Am J Physiol. 1964 Aug;207:273-8. doi: 10.1152/ajplegacy.1964.207.2.273.
3
A "DIRECT-COLORING" THIOCHOLINE METHOD FOR CHOLINESTERASES.一种用于胆碱酯酶的“直接显色”硫代胆碱法。
复习讲座。自主神经系统中的神经递质和营养因子。
J Physiol. 1981;313:1-35. doi: 10.1113/jphysiol.1981.sp013648.
4
The time course of functional and morphological changes of the guinea-pig colon after "a frigore" denervation of the periarterial sympathetic nerves.豚鼠结肠动脉周围交感神经“冷损伤”去神经支配后功能和形态学变化的时间进程。
Acta Neuropathol. 1972;22(3):190-9. doi: 10.1007/BF00684522.
5
Axon retraction following guanethidine treatment. Studies of sympathetic neurons in vivo.胍乙啶治疗后的轴突回缩。体内交感神经元的研究。
Z Zellforsch Mikrosk Anat. 1973;146(4):439-51. doi: 10.1007/BF02347174.
6
Cell contacts and smooth muscle bundle formation in tissue transplants into the anterior eye chamber.组织移植到眼前房后的细胞接触与平滑肌束形成。
Z Zellforsch Mikrosk Anat. 1972;133(1):21-33. doi: 10.1007/BF00307065.
7
Reinnervation of the endocrine pancreas after autotransplantation of pancreatic fragments in the spleen of the dog: a morphofunctional study.犬脾脏内胰腺碎片自体移植后内分泌胰腺的再神经支配:一项形态功能研究。
World J Surg. 1985 Apr;9(2):335-47. doi: 10.1007/BF01656330.
8
Increased neuropeptide Y-immunoreactive innervation of aganglionic bowel in Hirschsprung's disease.先天性巨结肠症中无神经节肠段神经肽Y免疫反应性神经支配增加。
Virchows Arch A Pathol Anat Histopathol. 1987;411(4):369-77. doi: 10.1007/BF00713383.
9
Electrophysiological analysis of projections of enteric inhibitory motoneurones in the guinea-pig small intestine.豚鼠小肠中肠抑制性运动神经元投射的电生理分析
J Physiol. 1986 Jan;370:61-74. doi: 10.1113/jphysiol.1986.sp015922.
10
Hypertrophy of intestinal smooth muscle.肠道平滑肌肥大。
Cell Tissue Res. 1975 Nov 7;163(2):199-214.
J Histochem Cytochem. 1964 Mar;12:219-21. doi: 10.1177/12.3.219.
4
SMOOTH MUSCLE STIMULATING LIPIDS IN SHEEP IRIS. THE IDENTIFICATION OF PROSTAGLANDIN F 2A. PROSTAGLANDINS AND RELATED FACTORS 21.绵羊虹膜中刺激平滑肌的脂质。前列腺素F2A的鉴定。前列腺素及相关因子21
Biochem Pharmacol. 1964 Feb;13:281-3. doi: 10.1016/0006-2952(64)90146-7.
5
INHIBITION OF THE SMOOTH MUSCLE ON THE TAENIA COLI.结肠带平滑肌的抑制作用
Nature. 1963 Nov 9;200:581-2. doi: 10.1038/200581a0.
6
The use of lead citrate at high pH as an electron-opaque stain in electron microscopy.在电子显微镜检查中,将高pH值的柠檬酸铅用作电子不透明染色剂。
J Cell Biol. 1963 Apr;17(1):208-12. doi: 10.1083/jcb.17.1.208.
7
Interactions between motoneurones and muscles in respect of the characteristic speeds of their responses.运动神经元与肌肉在其反应特征速度方面的相互作用。
J Physiol. 1960 Feb;150(2):417-39. doi: 10.1113/jphysiol.1960.sp006395.
8
The liberation of adenosine triphosphate on antidromic stimulation of sensory nerves.感觉神经逆向刺激时三磷酸腺苷的释放。
J Physiol. 1959 Mar 12;145(3):494-504. doi: 10.1113/jphysiol.1959.sp006157.
9
Properties of irin, a physiological constituent of the rabbit's iris.虹膜素的特性,兔虹膜的一种生理成分。
J Physiol. 1957 Jan 23;135(1):114-32. doi: 10.1113/jphysiol.1957.sp005699.
10
The capillary dilator substances in dry powders of spinal roots; a possible role of adenosine triphosphate in chemical transmission from nerve endings.脊髓神经根干粉中的毛细血管扩张物质;三磷酸腺苷在神经末梢化学传递中的可能作用。
J Physiol. 1954 Oct 28;126(1):124-40. doi: 10.1113/jphysiol.1954.sp005198.