Suppr超能文献

A型产气荚膜梭菌肠毒素的纯化及生化特性

Purification and biochemical properties of Clostridium perfringens type A enterotoxin.

作者信息

Stark R L, Duncan C L

出版信息

Infect Immun. 1972 Nov;6(5):662-73. doi: 10.1128/iai.6.5.662-673.1972.

Abstract

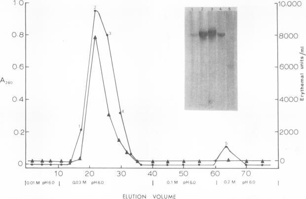
The sporulation-specific enterotoxin of Clostridium perfringens type A, which is the toxin active in human food poisoning, has been purified from extracts of sporulating cells. Highly purified enterotoxin was obtained by treatment of crude cell extract with ribonuclease for 30 min, followed by sequential chromatography on Sephadex G-100, Cellex T cellulose, and hydroxylapatite. Recovery was 65 to 75% of the initial activity. Enterotoxin purity was > 99% as indicated by sedimentation velocity, sedimentation equilibrium, disc electrophoresis, and serological methods. Purified enterotoxin focused at pH 4.3 during isoelectric focusing. Molecular weights of 34,000 and 35,000 were obtained by Sephadex G-100 chromatography and sedimentation equilibrium, respectively. An S(20,w) of 3.08 was obtained for the purified enterotoxin. The enterotoxin precipitated heavily at its isoelectric point and at concentrations greater than 4 mg/ml.

摘要

A型产气荚膜梭菌的芽孢形成特异性肠毒素是导致人类食物中毒的活性毒素,已从芽孢形成细胞提取物中纯化出来。通过用核糖核酸酶处理粗细胞提取物30分钟,然后依次在葡聚糖G-100、Cellex T纤维素和羟基磷灰石上进行色谱分离,获得了高度纯化的肠毒素。回收率为初始活性的65%至75%。沉降速度、沉降平衡、圆盘电泳和血清学方法表明,肠毒素纯度>99%。在等电聚焦过程中,纯化的肠毒素聚焦在pH 4.3。通过葡聚糖G-100色谱和沉降平衡分别得到分子量为34,000和35,000。纯化的肠毒素的S(20,w)为3.08。肠毒素在其等电点和浓度大于4mg/ml时大量沉淀。

https://cdn.ncbi.nlm.nih.gov/pmc/blobs/c8fb/422591/036b7e95bdd2/iai00275-0018-a.jpg

文献AI研究员

20分钟写一篇综述,助力文献阅读效率提升50倍。

立即体验

用中文搜PubMed

大模型驱动的PubMed中文搜索引擎

马上搜索

文档翻译

学术文献翻译模型,支持多种主流文档格式。

立即体验