• 文献检索
  • 文档翻译
  • 深度研究
  • 学术资讯
  • Suppr Zotero 插件Zotero 插件
  • 邀请有礼
  • 套餐&价格
  • 历史记录
应用&插件
Suppr Zotero 插件Zotero 插件浏览器插件Mac 客户端Windows 客户端微信小程序
定价
高级版会员购买积分包购买API积分包
服务
文献检索文档翻译深度研究API 文档MCP 服务
关于我们
关于 Suppr公司介绍联系我们用户协议隐私条款
关注我们

Suppr 超能文献

核心技术专利:CN118964589B侵权必究
粤ICP备2023148730 号-1Suppr @ 2026

文献检索

告别复杂PubMed语法,用中文像聊天一样搜索,搜遍4000万医学文献。AI智能推荐,让科研检索更轻松。

立即免费搜索

文件翻译

保留排版,准确专业,支持PDF/Word/PPT等文件格式,支持 12+语言互译。

免费翻译文档

深度研究

AI帮你快速写综述,25分钟生成高质量综述,智能提取关键信息,辅助科研写作。

立即免费体验

A型产气荚膜梭菌产肠毒素菌株在芽孢形成过程中形成的一种类晶体包涵体。

A paracrystalline inclusion formed during sporulation of enterotoxin-producing strains of Clostridium perfringens type A.

作者信息

Duncan C L, King G J, Frieben W R

出版信息

J Bacteriol. 1973 May;114(2):845-59. doi: 10.1128/jb.114.2.845-859.1973.

DOI:10.1128/jb.114.2.845-859.1973
PMID:4350345
原文链接:https://pmc.ncbi.nlm.nih.gov/articles/PMC251847/
Abstract

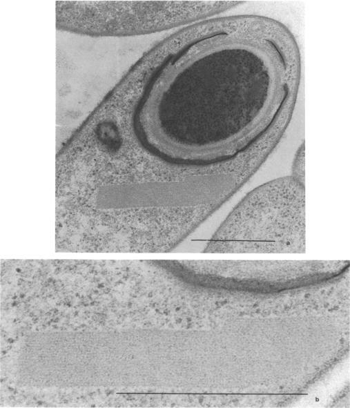
A large paracrystalline inclusion is formed by certain strains of Clostridium perfringens type A during spore morphogenesis. In most cell thin sections, the inclusion appeared rod-shaped when sectioned at an angle perpendicular to its longer axis, and circular or oval-shaped when sectioned at an angle parallel to its longer axis. Measurements performed on electron micrographs of inclusions sectioned to reveal the rod shape indicated a fairly consistent thickness (width) of 192 +/- 23 nm. The length of the inclusions varied considerably with a maximum of approximately 2,120 nm being observed. Ultrastructurally, the inclusion was composed of closely packed, periodically spaced, parallel layers. Usually a single inclusion was randomly located in the cytoplasm of the cell. Two inclusions per cell were rarely observed. The inclusion was formed only by ent(+) strains of C. perfringens. Mutants of the ent(+) strain NCTC 8798 that were altered in their sporulating and enterotoxin-producing capacities and revertants of these mutants were tested for inclusion formation. The results indicate that, as with the ent(+) trait, a direct relationship exists between inclusion formation and spore formation. The synthesis of enterotoxin, formation of a morphologically distinct inclusion, and the initial deposition of discontinuous coat fragments around the forespore appear to be events closely related in time during spore morphogenesis.

摘要

A型产气荚膜梭菌的某些菌株在孢子形态发生过程中会形成一种大的副晶质包涵体。在大多数细胞超薄切片中,当沿垂直于其长轴的角度切片时,包涵体呈杆状,而当沿平行于其长轴的角度切片时,呈圆形或椭圆形。对显示杆状的包涵体电子显微照片进行测量表明,其厚度(宽度)相当一致,为192±23纳米。包涵体的长度变化很大,观察到的最大值约为2120纳米。在超微结构上,包涵体由紧密堆积、周期性间隔的平行层组成。通常单个包涵体随机位于细胞的细胞质中。很少观察到每个细胞有两个包涵体。该包涵体仅由产气荚膜梭菌的ent(+)菌株形成。对ent(+)菌株NCTC 8798的孢子形成和产肠毒素能力发生改变的突变体以及这些突变体的回复体进行了包涵体形成测试。结果表明,与ent(+)性状一样,包涵体形成与孢子形成之间存在直接关系。肠毒素的合成、形态上不同寻常的包涵体的形成以及前芽孢周围不连续包膜片段的初始沉积似乎是孢子形态发生过程中在时间上密切相关的事件。

https://cdn.ncbi.nlm.nih.gov/pmc/blobs/c1a3/251847/eabcb63bd103/jbacter00351-0409-a.jpg
https://cdn.ncbi.nlm.nih.gov/pmc/blobs/c1a3/251847/2992e902c273/jbacter00351-0398-a.jpg
https://cdn.ncbi.nlm.nih.gov/pmc/blobs/c1a3/251847/f1237c469902/jbacter00351-0400-a.jpg
https://cdn.ncbi.nlm.nih.gov/pmc/blobs/c1a3/251847/6afd019b8a26/jbacter00351-0401-a.jpg
https://cdn.ncbi.nlm.nih.gov/pmc/blobs/c1a3/251847/384e4322213c/jbacter00351-0402-a.jpg
https://cdn.ncbi.nlm.nih.gov/pmc/blobs/c1a3/251847/f9a002ec9e4d/jbacter00351-0403-a.jpg
https://cdn.ncbi.nlm.nih.gov/pmc/blobs/c1a3/251847/232aff5fdee6/jbacter00351-0404-a.jpg
https://cdn.ncbi.nlm.nih.gov/pmc/blobs/c1a3/251847/7dc3b132b670/jbacter00351-0405-a.jpg
https://cdn.ncbi.nlm.nih.gov/pmc/blobs/c1a3/251847/eec034cae30b/jbacter00351-0406-a.jpg
https://cdn.ncbi.nlm.nih.gov/pmc/blobs/c1a3/251847/73b2c89b25d3/jbacter00351-0408-a.jpg
https://cdn.ncbi.nlm.nih.gov/pmc/blobs/c1a3/251847/eabcb63bd103/jbacter00351-0409-a.jpg
https://cdn.ncbi.nlm.nih.gov/pmc/blobs/c1a3/251847/2992e902c273/jbacter00351-0398-a.jpg
https://cdn.ncbi.nlm.nih.gov/pmc/blobs/c1a3/251847/f1237c469902/jbacter00351-0400-a.jpg
https://cdn.ncbi.nlm.nih.gov/pmc/blobs/c1a3/251847/6afd019b8a26/jbacter00351-0401-a.jpg
https://cdn.ncbi.nlm.nih.gov/pmc/blobs/c1a3/251847/384e4322213c/jbacter00351-0402-a.jpg
https://cdn.ncbi.nlm.nih.gov/pmc/blobs/c1a3/251847/f9a002ec9e4d/jbacter00351-0403-a.jpg
https://cdn.ncbi.nlm.nih.gov/pmc/blobs/c1a3/251847/232aff5fdee6/jbacter00351-0404-a.jpg
https://cdn.ncbi.nlm.nih.gov/pmc/blobs/c1a3/251847/7dc3b132b670/jbacter00351-0405-a.jpg
https://cdn.ncbi.nlm.nih.gov/pmc/blobs/c1a3/251847/eec034cae30b/jbacter00351-0406-a.jpg
https://cdn.ncbi.nlm.nih.gov/pmc/blobs/c1a3/251847/73b2c89b25d3/jbacter00351-0408-a.jpg
https://cdn.ncbi.nlm.nih.gov/pmc/blobs/c1a3/251847/eabcb63bd103/jbacter00351-0409-a.jpg

相似文献

1
A paracrystalline inclusion formed during sporulation of enterotoxin-producing strains of Clostridium perfringens type A.A型产气荚膜梭菌产肠毒素菌株在芽孢形成过程中形成的一种类晶体包涵体。
J Bacteriol. 1973 May;114(2):845-59. doi: 10.1128/jb.114.2.845-859.1973.
2
Sporulation and enterotoxin production by mutants of Clostridium perfringens.产气荚膜梭菌突变体的芽孢形成与肠毒素产生
J Bacteriol. 1972 Apr;110(1):378-91. doi: 10.1128/jb.110.1.378-391.1972.
3
Enterotoxin formation by Clostridium perfringens type A studied by the use of fluorescent antibody.
Can J Microbiol. 1977 Jul;23(7):908-15. doi: 10.1139/m77-134.
4
CodY Promotes Sporulation and Enterotoxin Production by Clostridium perfringens Type A Strain SM101.CodY促进A型产气荚膜梭菌菌株SM101的芽孢形成和肠毒素产生。
Infect Immun. 2017 Feb 23;85(3). doi: 10.1128/IAI.00855-16. Print 2017 Mar.
5
Spore coat protein and enterotoxin synthesis in Clostridium perfringens.产气荚膜梭菌中芽孢衣蛋白和肠毒素的合成
J Bacteriol. 1977 Aug;131(2):713-5. doi: 10.1128/jb.131.2.713-715.1977.
6
Unique regulatory mechanism of sporulation and enterotoxin production in Clostridium perfringens.产气荚膜梭菌芽胞形成和肠毒素产生的独特调控机制。
J Bacteriol. 2013 Jun;195(12):2931-6. doi: 10.1128/JB.02152-12. Epub 2013 Apr 12.
7
Identification of an Important Orphan Histidine Kinase for the Initiation of Sporulation and Enterotoxin Production by Type F Strain SM101.鉴定 F 型 SM101 菌株孢子形成和肠毒素产生起始的重要孤儿组氨酸激酶。
mBio. 2019 Jan 22;10(1):e02674-18. doi: 10.1128/mBio.02674-18.
8
Sporulation and enterotoxin production by Clostridium perfringens type A at 37 and 43 degrees C.A型产气荚膜梭菌在37摄氏度和43摄氏度下的芽孢形成及肠毒素产生
Appl Environ Microbiol. 1992 Apr;58(4):1411-4. doi: 10.1128/aem.58.4.1411-1414.1992.
9
Enterotoxin formation by Clostridium perfringens type A in a defined medium.A型产气荚膜梭菌在特定培养基中形成肠毒素
Appl Environ Microbiol. 1981 Jan;41(1):315-7. doi: 10.1128/aem.41.1.315-317.1981.
10
Enterotoxin synthesis by nonsporulating cultures of Clostridium perfringens.产气荚膜梭菌非芽孢形成培养物的肠毒素合成
Appl Environ Microbiol. 1986 Sep;52(3):407-12. doi: 10.1128/aem.52.3.407-412.1986.

引用本文的文献

1
Sporulation and enterotoxin (CPE) synthesis are controlled by the sporulation-specific sigma factors SigE and SigK in Clostridium perfringens.产气荚膜梭菌中的芽孢形成和肠毒素(CPE)合成受芽孢形成特异性σ因子SigE和SigK控制。
J Bacteriol. 2009 Apr;191(8):2728-42. doi: 10.1128/JB.01839-08. Epub 2009 Feb 6.
2
Alternative medium for Clostridium perfringens sporulation.产气荚膜梭菌芽孢形成的替代培养基。
Appl Environ Microbiol. 1984 May;47(5):1172-4. doi: 10.1128/aem.47.5.1172-1174.1984.
3
Enterotoxin formation by Clostridium perfringens type A in a defined medium.

本文引用的文献

1
Clostridium perfringens Type A Food Poisoning II. Response of the Rabbit Ileum as an Indication of Enteropathogenicity of Strains of Clostridium perfringens in Human Beings.产气荚膜梭菌 A 型食物中毒 II. 兔回肠的反应作为指示人体产气荚膜梭菌菌株肠致病性的指标。
Infect Immun. 1971 Jan;3(1):171-8. doi: 10.1128/iai.3.1.171-178.1971.
2
Clostridium perfringens Type A Food Poisoning I. Response of the Rabbit Ileum as an Indication of Enteropathogenicity of Strains of Clostridium perfringens in Monkeys.产气荚膜梭菌 A 型食物中毒。一、以兔子回肠反应作为指示猴源产气荚膜梭菌菌株肠致病性的依据。
Infect Immun. 1971 Jan;3(1):167-70. doi: 10.1128/iai.3.1.167-170.1971.
3
A型产气荚膜梭菌在特定培养基中形成肠毒素
Appl Environ Microbiol. 1981 Jan;41(1):315-7. doi: 10.1128/aem.41.1.315-317.1981.
4
Clostridium perfringens type A: in vitro system for sporulation and enterotoxin synthesis.A型产气荚膜梭菌:芽孢形成和肠毒素合成的体外系统
J Bacteriol. 1980 Oct;144(1):306-11. doi: 10.1128/jb.144.1.306-311.1980.
5
Characterization of a parasporal inclusion body from sporulating, enterotoxin-positive Clostridium perfringens type A.产芽孢、肠毒素阳性A型产气荚膜梭菌伴孢晶体的特性分析
J Bacteriol. 1986 Feb;165(2):542-8. doi: 10.1128/jb.165.2.542-548.1986.
6
Sporulation and enterotoxin production by Clostridium perfringens type A at 37 and 43 degrees C.A型产气荚膜梭菌在37摄氏度和43摄氏度下的芽孢形成及肠毒素产生
Appl Environ Microbiol. 1992 Apr;58(4):1411-4. doi: 10.1128/aem.58.4.1411-1414.1992.
7
Structure and morphogenesis of the bacterial spore coat.细菌芽孢衣的结构与形态发生
Bacteriol Rev. 1976 Jun;40(2):360-402. doi: 10.1128/br.40.2.360-402.1976.
8
Evidence for stable messenger ribonucleic acid during sporulation and enterotoxin synthesis by Clostridium perfringens type A.A型产气荚膜梭菌在芽孢形成和肠毒素合成过程中稳定信使核糖核酸的证据。
J Bacteriol. 1977 Feb;129(2):843-9. doi: 10.1128/jb.129.2.843-849.1977.
9
Enterotoxin formation by different toxigenic types of Clostridium perfringens.不同产毒型产气荚膜梭菌的肠毒素形成
Infect Immun. 1975 Mar;11(3):563-75. doi: 10.1128/iai.11.3.563-575.1975.
A NEW MAGAGLAS, D.E.R.(R) 732, EMBEDMENT FOR ELECTRON MICROSCOPY.
一种新型的用于电子显微镜包埋的马加格拉斯(Magaglas),D.E.R.(R)732。
J Cell Biol. 1964 Sep;22(3):704-9. doi: 10.1083/jcb.22.3.704.
4
[Cytologic study of sporulation in Clostridium histolyticum. Sporogenous strain and sporulation mutants].[溶组织梭菌芽孢形成的细胞学研究。产芽孢菌株和芽孢形成突变体]
Ann Inst Pasteur (Paris). 1967 Aug;113(2):163-73.
5
Biochemical genetics of bacterial sporulation. 3. Correlation between morphological and biochemical properties of sporulation mutants.细菌芽孢形成的生化遗传学。3. 芽孢形成突变体的形态学与生化特性之间的相关性。
Mol Gen Genet. 1970;108(1):1-22. doi: 10.1007/BF00343179.
6
[Structure of Clostridia of the butyric group. I. Sporulation of Clostridium butyricum and Clostridium saccharobutyricum].[丁酸梭菌属的结构。I. 丁酸梭菌和糖丁酸梭菌的孢子形成]
Ann Inst Pasteur (Paris). 1971 Jan;120(1):23-32.
7
Unique biochemical events in bacterial sporulation.细菌孢子形成过程中的独特生化事件。
Annu Rev Microbiol. 1970;24:53-90. doi: 10.1146/annurev.mi.24.100170.000413.
8
A low-viscosity epoxy resin embedding medium for electron microscopy.一种用于电子显微镜的低粘度环氧树脂包埋介质。
J Ultrastruct Res. 1969 Jan;26(1):31-43. doi: 10.1016/s0022-5320(69)90033-1.
9
Time of enterotoxin formation and release during sporulation of Clostridium perfringens type A.A型产气荚膜梭菌芽孢形成过程中肠毒素的形成和释放时间。
J Bacteriol. 1973 Feb;113(2):932-6. doi: 10.1128/jb.113.2.932-936.1973.
10
Purification and biochemical properties of Clostridium perfringens type A enterotoxin.A型产气荚膜梭菌肠毒素的纯化及生化特性
Infect Immun. 1972 Nov;6(5):662-73. doi: 10.1128/iai.6.5.662-673.1972.