Suppr超能文献

节前神经刺激对大鼠颈上神经节中突触小泡群体的一些影响。

Some effects of preganglionic nerve stimulation on synaptic vesicle populations in the rat superior cervical ganglion.

作者信息

Quilliam J P, Tamarind D L

出版信息

J Physiol. 1973 Dec;235(2):317-31. doi: 10.1113/jphysiol.1973.sp010389.

Abstract
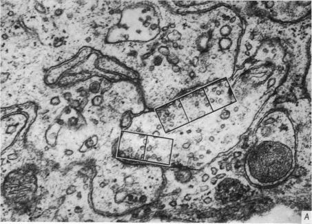
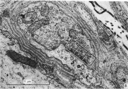
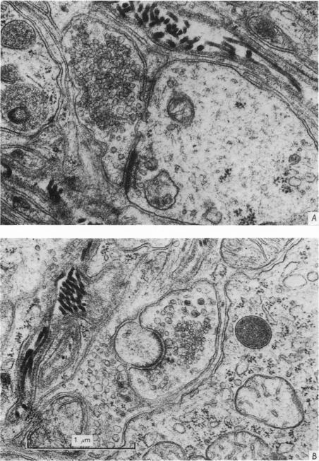
  1. The ;local vesicle population', namely the population of synaptic vesicles lying within a zone 0.25 mum wide adjacent to the presynaptic membrane and expressed as ;vesicles mum(-2)' has been estimated in rat superior cervical ganglia maintained in vitro for 1 h. Ganglia were either unstimulated or stimulated tetanically during the last few minutes of the in vitro period.2. Individual local vesicle populations at synapses in groups of ganglia which had received the same treatment showed an approximately normal frequency distribution.3. The technique of stimulation did not permit fixation during tetanus, but the mean local vesicle population in ganglia fixed a few seconds after 10 Hz tetani of up to 10 min duration were significantly (P < 0.001) higher than the unstimulated control value of 124.0 +/- S.E. 3.2. Ganglia fixed a few seconds after 3 min tetani at 10 Hz had a mean local vesicle population of 155.7 +/- S.E. 5.7, rising slightly but not significantly to 165.0 +/- S.E. 4.3 at 1 min and 163.1 +/- S.E. 5.2 at 2 min after tetanus. Thereafter the mean local vesicle population fell slowly, reaching control level between 10 and 20 min after tetanus.4. In terms of the vesicle hypothesis, the observations suggest that post-tetanic potentiation might arise from a closer clustering of vesicles about release areas resulting in an increase in fractional release. It is suggested that stimulation increased the local vesicle population by promoting vesicle mobilization rather than by altering the size or shape of the presynaptic terminals. The ;mobilizing agent' might be intracellular Ca(2+).5. The results appear to be consistent with those of other workers where experimental conditions and the region in which vesicles were counted were comparable.6. Alternative interpretations for the findings, not involving the vesicle hypothesis, are considered.
摘要
  1. “局部囊泡群”,即位于与突触前膜相邻的0.25微米宽区域内的突触囊泡群,以“每平方微米囊泡数”表示,已在体外培养1小时的大鼠颈上神经节中进行了估计。在体外培养期的最后几分钟,神经节要么未受刺激,要么接受强直刺激。

  2. 接受相同处理的神经节组中,突触处的各个局部囊泡群呈现出近似正态的频率分布。

  3. 刺激技术不允许在强直刺激期间固定,但在持续长达10分钟的10赫兹强直刺激后几秒钟固定的神经节中,平均局部囊泡群显著高于未刺激对照值124.0±标准误3.2(P<0.001)。在10赫兹下3分钟强直刺激后几秒钟固定的神经节,平均局部囊泡群为155.7±标准误5.7,强直刺激后1分钟时略升至165.0±标准误4.3,2分钟时为163.1±标准误5.2,此后平均局部囊泡群缓慢下降,在强直刺激后10至20分钟达到对照水平。

  4. 根据囊泡假说,这些观察结果表明强直后增强可能源于囊泡在释放区域周围更紧密的聚集,导致分数释放增加。有人提出刺激通过促进囊泡动员而非改变突触前终末的大小或形状来增加局部囊泡群。“动员剂”可能是细胞内钙离子。

  5. 这些结果似乎与其他研究者在实验条件和计数囊泡的区域具有可比性时的结果一致。

  6. 考虑了不涉及囊泡假说的对这些发现的其他解释。

https://cdn.ncbi.nlm.nih.gov/pmc/blobs/aacd/1350748/1fcf32238acc/jphysiol00947-0045-a.jpg

文献检索

告别复杂PubMed语法,用中文像聊天一样搜索,搜遍4000万医学文献。AI智能推荐,让科研检索更轻松。

立即免费搜索

文件翻译

保留排版,准确专业,支持PDF/Word/PPT等文件格式,支持 12+语言互译。

免费翻译文档

深度研究

AI帮你快速写综述,25分钟生成高质量综述,智能提取关键信息,辅助科研写作。

立即免费体验