Suppr超能文献

几种小鼠细胞系中内源性C型病毒体产生的定量分析。

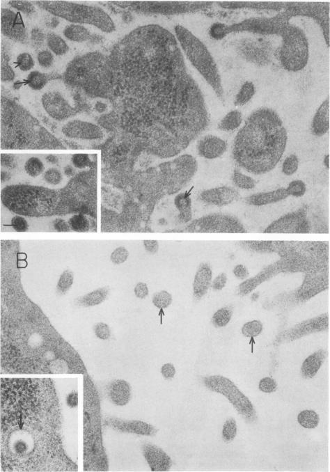
Quantitation of endogenous C-type virion production in several murine cell lines.

作者信息

Luftig R B, McMillan P N, Gudger M

出版信息

J Virol. 1974 Oct;14(4):1017-21. doi: 10.1128/JVI.14.4.1017-1021.1974.

Abstract

Quantitation by enumeration of virion particles, measurement of absorbancy at 260 nm, and densitometry on sodium dodecyl sulfate-polyacrylamide gels has shown that mouse L-M cells yielded 7- to 10-fold less endogenous C-type virions than the parental lines, L or L929. The previously noted stimulation of L-M cell virion production by a concomitant 10% increase in fetal calf serum concentration (D. A. Kindig, R. Karp, and W. H. Kirsten, 1968), was not observed.

摘要

通过对病毒粒子进行计数定量、测量260nm处的吸光度以及对十二烷基硫酸钠-聚丙烯酰胺凝胶进行光密度测定,结果显示,小鼠L-M细胞产生的内源性C型病毒粒子比亲本细胞系L或L929少7至10倍。先前观察到的伴随胎牛血清浓度10%的增加对L-M细胞病毒粒子产生的刺激作用(D. A. Kindig、R. Karp和W. H. Kirsten,1968年)未被观察到。

https://cdn.ncbi.nlm.nih.gov/pmc/blobs/701d/355610/d3bb4dab5516/jvirol00250-0322-a.jpg

文献检索

告别复杂PubMed语法,用中文像聊天一样搜索,搜遍4000万医学文献。AI智能推荐,让科研检索更轻松。

立即免费搜索

文件翻译

保留排版,准确专业,支持PDF/Word/PPT等文件格式,支持 12+语言互译。

免费翻译文档

深度研究

AI帮你快速写综述,25分钟生成高质量综述,智能提取关键信息,辅助科研写作。

立即免费体验