Tomizawa J, Sakakibara Y, Kakefuda T
Proc Natl Acad Sci U S A. 1974 Jun;71(6):2260-4. doi: 10.1073/pnas.71.6.2260.
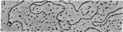
The structures of molecules of colicin E1 plasmid DNA that were in the process of being replicated in vitro were examined electron microscopically. Circular molecules containing a loop of approximately 7% of the length of the molecules were the major class of replicating molecules. The location of the loop was determined by treating the molecules with restriction endonuclease EcoR1, which introduced one unique double-strand break in the colicin E1 plasmid DNA molecules. The loops had a specific location with two branch points at approximately 17 and 24% of the molecular length from the endonuclease-sensitive site. Molecules with a larger loop were observed with a preparation labeled with 5-bromodeoxyuridine and enriched for these molecules. One of the branch points in these molecules was located at approximately 17% of the molecular length from the endonuclease-sensitive site independent of the size of the loops. These results indicate that the origin of replication of the plasmid DNA is located within the small loop and the replication proceeds unidirectionally. The molecules that had completed a round of replication had the monomeric twisted circular structure.
对体外复制过程中的大肠杆菌素E1质粒DNA分子结构进行了电子显微镜检查。含有约占分子长度7%的环的环状分子是复制分子的主要类型。通过用限制性内切酶EcoR1处理分子来确定环的位置,该酶在大肠杆菌素E1质粒DNA分子中引入一个独特的双链断裂。环具有特定位置,在距内切酶敏感位点约分子长度的17%和24%处有两个分支点。在用5-溴脱氧尿苷标记并富集这些分子的制剂中观察到了具有更大环的分子。这些分子中的一个分支点位于距内切酶敏感位点约分子长度的17%处,与环的大小无关。这些结果表明质粒DNA的复制起点位于小环内,且复制单向进行。完成一轮复制的分子具有单体扭曲环状结构。