Suppr超能文献

高氧:关于其对肺颗粒性肺细胞胞质成分影响的体视学超微结构检查

Hyperoxia: a stereologic ultrastructural examination of its influence on cytoplasmic components of the pulmonary granular pneumocyte.

作者信息

Massaro G D, Massaro D

出版信息

J Clin Invest. 1973 Mar;52(3):566-70. doi: 10.1172/JCI107217.

Abstract

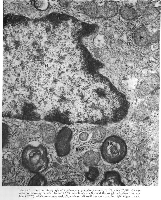
We used the technique of lineal analysis to study the influence of 48 h of hyperoxia on cytoplasmic organelles of pulmonary granular pneumocytes with particular reference to their lamellar bodies. We undertook this study because lamellar bodies are considered to be storage granules for pulmonary surfactant and because we had found that hyperoxia decreased [(14)C]leucine incorporation into protein of a surface-active lung fraction. We found that for lamellar bodies the percent cytoplasmic volume was 12.8+/-1.5 (mean+/-SEM) and 8.4+/-2.2, the organelle area (mum(2)) per organelle was 0.98+/-0.13 and 0.62+/-0.10 and the organelle volume (mum(2)) was 0.35+/-0.04 and 0.18+/-0.01, for air- and oxygen-exposed rats, respectively, (P=<0.05). The surface density of the lamellar body membrane was 7.05+/-0.47 and 9.36+/-0.96 (P=<0.05) for air- and oxygen-exposed rats. There were no differences in lamellar body number per cytoplasmic area or per pneumocyte between air- and oxygen-exposed rats. There were no statistical differences in these parameters between mitochondria of air- or oxygen-exposed rats. The surface density of the rough endoplasmic reticulum was the same in both groups. This study indicates that granular pneumocytes of rats exposed to hyperoxia have the same number of lamellar bodies as control rats but the lamellar bodies are smaller. This findings in consistent with the hypothesis that the hyperoxia-induced decrease in protein synthesis by lung represents at least in part a decreased synthesis of the secretory lipoprotein-pulmonary surfactant.

摘要

我们采用线性分析技术研究了48小时高氧对肺颗粒性肺细胞胞质细胞器的影响,特别关注其板层小体。我们进行这项研究是因为板层小体被认为是肺表面活性物质的储存颗粒,并且我们发现高氧降低了[¹⁴C]亮氨酸掺入肺表面活性部分蛋白质中的量。我们发现,对于板层小体,空气暴露组和氧气暴露组大鼠的胞质体积百分比分别为12.8±1.5(平均值±标准误)和8.4±2.2,每个细胞器的面积(μm²)分别为0.98±0.13和0.62±0.10,细胞器体积(μm³)分别为0.35±0.04和0.18±0.01(P<0.05)。空气暴露组和氧气暴露组大鼠板层体膜的表面密度分别为7.05±0.47和9.36±0.96(P<0.05)。空气暴露组和氧气暴露组大鼠之间,每单位胞质面积或每单位肺细胞的板层小体数量没有差异。空气暴露组和氧气暴露组大鼠的线粒体在这些参数上没有统计学差异。两组粗面内质网的表面密度相同。这项研究表明,暴露于高氧的大鼠的颗粒性肺细胞的板层小体数量与对照大鼠相同,但板层小体较小。这一发现与高氧诱导的肺蛋白质合成减少至少部分代表分泌性脂蛋白——肺表面活性物质合成减少的假设一致。

https://cdn.ncbi.nlm.nih.gov/pmc/blobs/c4d6/302294/c888d32f25ea/jcinvest00179-0039-a.jpg

文献AI研究员

20分钟写一篇综述,助力文献阅读效率提升50倍。

立即体验

用中文搜PubMed

大模型驱动的PubMed中文搜索引擎

马上搜索

文档翻译

学术文献翻译模型,支持多种主流文档格式。

立即体验