• 文献检索
  • 文档翻译
  • 深度研究
  • 学术资讯
  • Suppr Zotero 插件Zotero 插件
  • 邀请有礼
  • 套餐&价格
  • 历史记录
应用&插件
Suppr Zotero 插件Zotero 插件浏览器插件Mac 客户端Windows 客户端微信小程序
定价
高级版会员购买积分包购买API积分包
服务
文献检索文档翻译深度研究API 文档MCP 服务
关于我们
关于 Suppr公司介绍联系我们用户协议隐私条款
关注我们

Suppr 超能文献

核心技术专利:CN118964589B侵权必究
粤ICP备2023148730 号-1Suppr @ 2026

文献检索

告别复杂PubMed语法,用中文像聊天一样搜索,搜遍4000万医学文献。AI智能推荐,让科研检索更轻松。

立即免费搜索

文件翻译

保留排版,准确专业,支持PDF/Word/PPT等文件格式,支持 12+语言互译。

免费翻译文档

深度研究

AI帮你快速写综述,25分钟生成高质量综述,智能提取关键信息,辅助科研写作。

立即免费体验

Studies on the rat liver following iron overload. Electron probe x-ray microanalysis of acid phosphatase and iron.

作者信息

Hultcrantz R, Arborgh B, Wroblewski R, Ericsson J L

出版信息

Am J Pathol. 1979 Aug;96(2):625-40.

PMID:474712
原文链接:https://pmc.ncbi.nlm.nih.gov/articles/PMC2042434/
Abstract

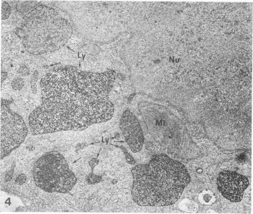
Previous electron-microscopic studies on the liver have shown that following excessive administration of iron to experimental animals, small particles believed to represent ferritin and/or hemosiderin (electron-dense iron-containing particles [IPs]) accumulate in membrane-bound bodies--many with a lysosome-like structure--in liver parenchymal and Kupffer cells. Further identification of the IP-containing bodies has been facilitated by the application of histochemical techniques for the demonstration of acid phosphatase. The results have shown that reaction product was deposited over organelles similar in appearance to the IP-containing ones, indicating that they were lysosomes. However, the granular nature of the reaction product makes it difficult or impossible to decide whether IPs are present simultaneously with reaction product in the organelle. In order to clarify this qualitative aspect, x-ray microanalysis has been utilized to identify iron and lead (reaction product) in the various structures thought to represent lysosomes. The results indicate that all IP-containing bodies also show the presence of reaction product, and thus can be regarded as lysosomes. However, in the parenchymal cells there may exist a small population of iron-deficient lysosomes (only lead could be shown). The latter may correspond to "primary lysosomes."

摘要
https://cdn.ncbi.nlm.nih.gov/pmc/blobs/32df/2042434/5d476a92d847/amjpathol00240-0286-a.jpg
https://cdn.ncbi.nlm.nih.gov/pmc/blobs/32df/2042434/a9b6de891670/amjpathol00240-0285-a.jpg
https://cdn.ncbi.nlm.nih.gov/pmc/blobs/32df/2042434/0b00d5ceec29/amjpathol00240-0285-b.jpg
https://cdn.ncbi.nlm.nih.gov/pmc/blobs/32df/2042434/2f9d5b2493ad/amjpathol00240-0284-a.jpg
https://cdn.ncbi.nlm.nih.gov/pmc/blobs/32df/2042434/d3973361d5d6/amjpathol00240-0284-b.jpg
https://cdn.ncbi.nlm.nih.gov/pmc/blobs/32df/2042434/00c0faecb028/amjpathol00240-0284-c.jpg
https://cdn.ncbi.nlm.nih.gov/pmc/blobs/32df/2042434/5d476a92d847/amjpathol00240-0286-a.jpg
https://cdn.ncbi.nlm.nih.gov/pmc/blobs/32df/2042434/a9b6de891670/amjpathol00240-0285-a.jpg
https://cdn.ncbi.nlm.nih.gov/pmc/blobs/32df/2042434/0b00d5ceec29/amjpathol00240-0285-b.jpg
https://cdn.ncbi.nlm.nih.gov/pmc/blobs/32df/2042434/2f9d5b2493ad/amjpathol00240-0284-a.jpg
https://cdn.ncbi.nlm.nih.gov/pmc/blobs/32df/2042434/d3973361d5d6/amjpathol00240-0284-b.jpg
https://cdn.ncbi.nlm.nih.gov/pmc/blobs/32df/2042434/00c0faecb028/amjpathol00240-0284-c.jpg
https://cdn.ncbi.nlm.nih.gov/pmc/blobs/32df/2042434/5d476a92d847/amjpathol00240-0286-a.jpg

相似文献

1
Studies on the rat liver following iron overload. Electron probe x-ray microanalysis of acid phosphatase and iron.
Am J Pathol. 1979 Aug;96(2):625-40.
2
Iron distribution in the liver and duodenum during seasonal iron overload in Svalbard reindeer.斯瓦尔巴德驯鹿季节性铁过载期间肝脏和十二指肠中的铁分布
J Comp Pathol. 2009 Jul;141(1):27-40. doi: 10.1016/j.jcpa.2009.02.001. Epub 2009 Apr 3.
3
Studies on the rat liver following iron overload.铁过载后大鼠肝脏的研究。
Acta Pathol Microbiol Scand A. 1980 Nov;88(6):341-53. doi: 10.1111/j.1699-0463.1980.tb02505.x.
4
Hepatic sinusoidal cells in iron overload. Ultrastructural observations.
Isr J Med Sci. 1978 Nov;14(11):1191-1201.
5
A comparison of the atomic composition of siderosomes (haemosiderin) in cryosections of unfixed frozen tissues and Epon-embedded tissues.未固定冷冻组织和环氧树脂包埋组织冰冻切片中含铁小体(血铁黄素)原子组成的比较。
J Submicrosc Cytol Pathol. 1991 Jul;23(3):365-71.
6
Application of Chelex standard beads in integrated morphometrical and X-ray microanalysis.
Scan Electron Microsc. 1985(Pt 2):715-29.
7
[Participation of sinusoidal elements in experimental iron overload. Ultrastructural and microanalytic study].
Ann Anat Pathol (Paris). 1980;25(2):95-110.
8
Patterns of iron distribution in liver cells in beta-thalassemia studied by X-ray microanalysis.通过X射线微量分析研究β地中海贫血患者肝细胞中铁的分布模式。
Haematologica. 2002 May;87(5):479-84.
9
Integration of X-ray microanalysis and morphometry of biological material.生物材料的X射线微量分析与形态测量学的整合
Scan Electron Microsc. 1985(Pt 2):697-713.
10
Studies on the rat liver following iron overload: biochemical studies after iron mobilization.铁过载后大鼠肝脏的研究:铁动员后的生化研究
Lab Invest. 1982 Apr;46(4):383-92.

引用本文的文献

1
Quantitative x-ray microanalysis of spleen lysosomes after acid phosphatase reaction.酸性磷酸酶反应后脾脏溶酶体的定量X射线微分析。
Histochemistry. 1982;75(4):485-91. doi: 10.1007/BF00640600.
2
Cellular and subcellular distribution of iron in the lamina propria of rat duodenum.
Cell Tissue Res. 1984;236(3):685-92. doi: 10.1007/BF00217239.
3
Biliary excretion of iron from hepatocyte lysosomes in the rat. A major excretory pathway in experimental iron overload.大鼠肝细胞溶酶体中铁的胆汁排泄。实验性铁过载中的一条主要排泄途径。

本文引用的文献

1
THE FATE OF IRON-SORBITOL IN RAT STRIATED MUSCLE. AN ELECTRON MICROSCOPIC STUDY.大鼠横纹肌中山梨醇铁的命运。一项电子显微镜研究。
Z Zellforsch Mikrosk Anat. 1964 Aug 18;63:692-700. doi: 10.1007/BF00339916.
2
Electron microscopy and x-ray scanning microanalysis of needle biopsy material from human liver.人肝穿刺活检材料的电子显微镜检查及X射线扫描微量分析
J Cell Biol. 1962 Sep;14(3):421-31. doi: 10.1083/jcb.14.3.421.
3
Electron probe microanalysis of liver in Wilson's disease. Simultaneous assay for copper and for lead deposited by acid phosphatase activity in lysosomes.
J Clin Invest. 1986 Jan;77(1):90-7. doi: 10.1172/JCI112307.
4
Effect of phlebotomy on the ferritin iron content in the rat liver as determined morphometrically with the use of electron energy loss spectroscopy.采用电子能量损失谱进行形态计量学测定放血对大鼠肝脏中铁蛋白铁含量的影响。
Cell Tissue Res. 1989 Jun;256(3):601-5. doi: 10.1007/BF00225610.
肝豆状核变性患者肝脏的电子探针微量分析。溶酶体中酸性磷酸酶活性沉积的铜和铅的同步测定。
Am J Pathol. 1966 Feb;48(2):305-15.
4
Observations on the application to electron microscopy on the lead phosphate technique for the demonstration of acid phosphatase.关于磷酸铅技术在电子显微镜下用于显示酸性磷酸酶的应用观察。
Histochemie. 1965 Mar 5;4(6):470-87. doi: 10.1007/BF00281900.
5
Electron microscopy, electron probe x-ray microanalysis and microdiffraction of biopsy material from human liver.人肝活检材料的电子显微镜检查、电子探针X射线微分析及微衍射分析
Okajimas Folia Anat Jpn. 1969 Mar;45(6):279-307. doi: 10.2535/ofaj1936.45.6_279.
6
Electron microscopic observations on iron-labelled secondary lysosomes in renal tubules in mice.小鼠肾小管中铁标记的次级溶酶体的电子显微镜观察
Z Zellforsch Mikrosk Anat. 1969;98(3):378-98. doi: 10.1007/BF00346682.
7
The relationship of intracellular pathways of iron metabolism to cellular iron overload and the iron storage diseases. Cell sap and cytocavitary network pathways in relation to lysosomal storage and turnover of iron macromolecules.铁代谢的细胞内途径与细胞铁过载及铁储存疾病的关系。与铁大分子的溶酶体储存和周转相关的细胞液和细胞腔网络途径。
Am J Pathol. 1973 Aug;72(2):295-336.
8
Distribution and shifts of ingested marker particles in residual bodies and other lysosomes. Studies on in vitro cultivated human glia cells in phase II and 3.
Exp Eye Res. 1973 Apr;79(1):15-27.
9
The use of x-ray microanalysis to investigate problems encountered in enzyme cytochemistry.利用X射线微量分析研究酶细胞化学中遇到的问题。
J Microsc. 1974 Jul;101(Pt 2):143-51. doi: 10.1111/j.1365-2818.1974.tb03877.x.
10
Electron probe x-ray analysis of siderosomes in haemarthrotic articular cartilage.
Virchows Arch B Cell Pathol. 1974;16(1):43-9. doi: 10.1007/BF02894062.