Suppr超能文献

在离体大鼠空肠上研究的扁平小肠黏膜的动态结构。

The dynamic structure of a flat small intestinal mucosa studied on the explanted rat jejunum.

作者信息

Loehry C A, Grace R

出版信息

Gut. 1974 Apr;15(4):289-93. doi: 10.1136/gut.15.4.289.

Abstract

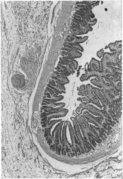
Small pieces of jejunum with an intact blood supply were explanted to the anterior abdominal wall in rats. Six weeks after explantation the mucosa appeared totally flat in many areas, both histologically and under the dissecting microscope. The structure of the flattened mucosa was shown to be identical to that in coeliac disease with hypertrophied intervillous ridges. A dynamic study with tritium-labelled thymidine demonstrated a considerably increased turnover in the flat mucosa with some disorganization of cell production and migration.

摘要

将带有完整血供的小块空肠移植到大鼠的前腹壁。移植六周后,在组织学和解剖显微镜下观察到,许多区域的黏膜完全扁平。研究发现,扁平黏膜的结构与乳糜泻伴有绒毛间嵴肥大时的结构相同。一项用氚标记胸腺嘧啶核苷进行的动态研究表明,扁平黏膜的更新速度显著加快,细胞生成和迁移出现一些紊乱。

https://cdn.ncbi.nlm.nih.gov/pmc/blobs/729a/1412963/f9eee88f3707/gut00617-0058-a.jpg

文献检索

告别复杂PubMed语法,用中文像聊天一样搜索,搜遍4000万医学文献。AI智能推荐,让科研检索更轻松。

立即免费搜索

文件翻译

保留排版,准确专业,支持PDF/Word/PPT等文件格式,支持 12+语言互译。

免费翻译文档

深度研究

AI帮你快速写综述,25分钟生成高质量综述,智能提取关键信息,辅助科研写作。

立即免费体验