Suppr超能文献

鸡上呼吸道的急性新城疫病毒感染。I. 研究环境因素对上呼吸道感染影响的模型。

Acute Newcastle viral infection of the upper respiratory tract of the chicken. I. A model for the study of environmental factors on upper respiratory tract infection.

作者信息

Bang F B, Foard M, Bang B G

出版信息

Am J Pathol. 1974 Aug;76(2):333-48.

Abstract

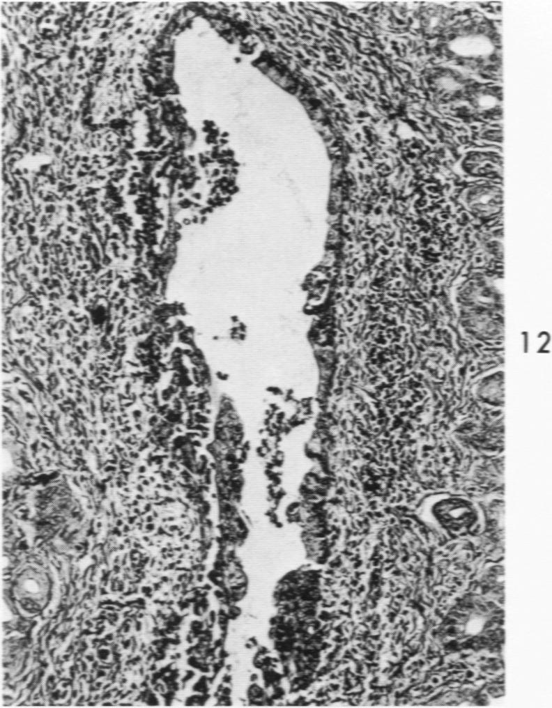
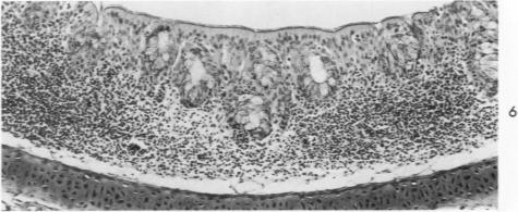
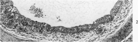
Acute Newcastle disease virus infection following intranasal inoculation of chicks with a mesogenic strain of the virus produced a localized infection of the middle turbinate which was histologically demonstrable 18 hours after inoculation. There was destruction of mucous cells of individual acini in the under surface of the middle turbinate, and the infection rapidly spread to ciliated and goblet cells and to neighboring acini. By day 2 there was simultaneous remodeling of the mucosa, continued destruction and inflammatory infiltration and frequent loss of cartilage basophilia. By day 3 polymorphonuclear cells almost disappeared, epithelial mitoses commenced, and lymphocyte infiltration intensified; the plasma cells normally present along the lateral nasal gland ducts were often destroyed, very occasionally the glands themselves were destroyed. By days 5 and 6 inflammation greatly decreased, and by day 8 the mucociliated epithelium was essentially normal. The infection is sequentially comparable to acute mild rhinitis of man.

摘要

用新城疫病毒的中等毒力株经鼻腔接种雏鸡后,会引发急性感染,在接种后18小时可通过组织学方法证实中鼻甲出现局部感染。中鼻甲下表面单个腺泡的黏液细胞遭到破坏,感染迅速蔓延至纤毛细胞、杯状细胞及相邻腺泡。到第2天,黏膜同时发生重塑,破坏和炎性浸润持续存在,软骨嗜碱性常常丧失。到第3天,多形核细胞几乎消失,上皮细胞开始有丝分裂,淋巴细胞浸润加剧;沿鼻外侧腺管通常存在的浆细胞常被破坏,腺管本身偶尔也会被破坏。到第5天和第6天,炎症大为减轻,到第8天,黏液纤毛上皮基本恢复正常。这种感染过程与人的急性轻度鼻炎有相似之处。

https://cdn.ncbi.nlm.nih.gov/pmc/blobs/9b65/1910859/ba326b0f6cad/amjpathol00472-0171-a.jpg

文献检索

告别复杂PubMed语法,用中文像聊天一样搜索,搜遍4000万医学文献。AI智能推荐,让科研检索更轻松。

立即免费搜索

文件翻译

保留排版,准确专业,支持PDF/Word/PPT等文件格式,支持 12+语言互译。

免费翻译文档

深度研究

AI帮你快速写综述,25分钟生成高质量综述,智能提取关键信息,辅助科研写作。

立即免费体验