Suppr超能文献

自身免疫性肾病。用同源肾组分免疫的大鼠中肾损伤和循环抗体的发展。

Autoimmune renal disease. Development of renal lesions and circulating antibodies in rats immunized with homologous kidney fractions.

作者信息

Boss J H, Silber E, Nelken D

出版信息

Immunology. 1967 Aug;13(2):167-77.

Abstract

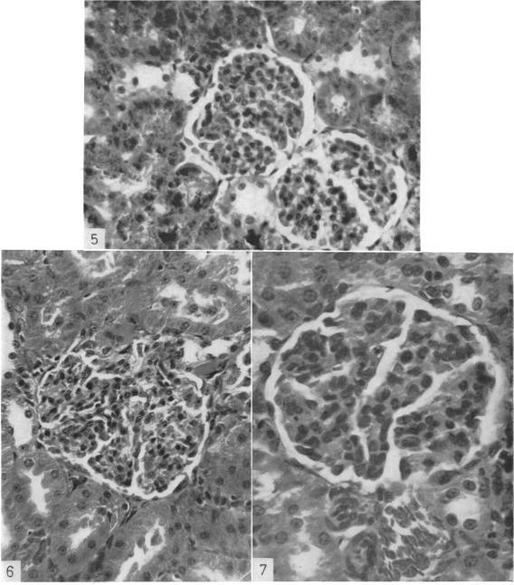
Rats were immunized by one to eight intraperitoneal administrations of species-homologous kidney fractions (prepared according to Ryan's differential centrifugation technique) emulsified in Freund's complete adjuvant. Proliferative and membranous glomerulitis ensued in about one-third of animals receiving five or more injections of any of the four renal preparations, i.e. heavy particle, mitochondrial, microsomal and soluble fractions. A significant increase in the incidence and titre of complement-fixing antibodies to renal antigens occurred, beginning with the third injection in rats sensitized with the heavy particle material and soluble fraction, and possibly also with the microsomal fraction; the mitochondrial fraction was ineffective in this respect. In this as in previous studies, neither a positive nor a negative correlation was established between the development of renal disease and the formation of circulating antibodies, glomerulitis frequently being found in the absence of detectable antibodies and vice versa. It is hypothesized that immunization with renal antigens elicits an immune response in the wake of which two independent processes are observed, namely the development of renal disease and the formation of circulating antibodies.

摘要

用弗氏完全佐剂乳化的同种肾部分(根据瑞安的差速离心技术制备)对大鼠进行1至8次腹腔注射免疫。在接受5次或更多次注射4种肾制剂(即重颗粒、线粒体、微粒体和可溶性部分)中任何一种的动物中,约三分之一出现了增殖性和膜性肾小球肾炎。在用重颗粒物质和可溶性部分致敏的大鼠中,从第三次注射开始,针对肾抗原的补体结合抗体的发生率和滴度显著增加,微粒体部分可能也是如此;线粒体部分在这方面无效。在本研究以及之前的研究中,肾病的发展与循环抗体的形成之间均未建立正相关或负相关,肾小球肾炎常常在未检测到抗体的情况下出现,反之亦然。据推测,用肾抗原免疫会引发免疫反应,在此之后会观察到两个独立的过程,即肾病的发展和循环抗体的形成。

https://cdn.ncbi.nlm.nih.gov/pmc/blobs/2ed2/1409308/b31182cc1c46/immunology00403-0053-a.jpg

文献检索

告别复杂PubMed语法,用中文像聊天一样搜索,搜遍4000万医学文献。AI智能推荐,让科研检索更轻松。

立即免费搜索

文件翻译

保留排版,准确专业,支持PDF/Word/PPT等文件格式,支持 12+语言互译。

免费翻译文档

深度研究

AI帮你快速写综述,25分钟生成高质量综述,智能提取关键信息,辅助科研写作。

立即免费体验