Suppr超能文献

麦芽工人的过敏性肺泡炎。

Allergic alveolitis in a maltworker.

作者信息

Riddle H F, Channell S, Blyth W, Weir D M, Lloyd M, Amos W M, Grant I W

出版信息

Thorax. 1968 May;23(3):271-80. doi: 10.1136/thx.23.3.271.

Abstract

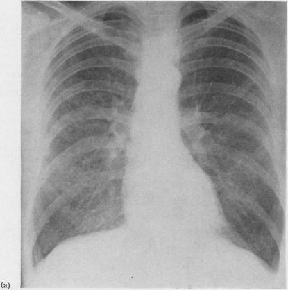
A further example of diffuse pulmonary hypersensitivity to an inhaled organic antigen is reported. A 42-year-old maltworker, who developed an illness resembling farmer's lung, was found to have been heavily exposed to the spores of Precipitating and complement-fixing antibodies against an extract of were detected in his serum, a late (Arthus-type) reaction was produced by intradermal injection of the same extract, and a pyrexial reaction, accompanied by a reduction in forced vital capacity and carbon monoxide transfer factor, occurred 6 hours after the inhalation of spores of Two of the patient's four workmates complained of similar but less severe symptoms, and their sera also contained specific antibodies. Although the spores of and of , the fungus responsible for maple-bark disease, are much larger than the 1 μ spores of sp., they may give rise to a diffuse pulmonary hypersensitivity reaction indistinguishable from that observed in farmer's lung. This suggests that the occurrence of such a reaction is not necessarily related to the size of the inhaled particles, and there is reason to believe that the concentration of spores or other antigenic particles in the inspired air may in this respect be more important than their size. The pulmonary hypersensitivity in this group of disorders appears to be a precipitin-mediated (type III) response to a variety of inhaled antigens, but some of these antigens may in certain patients, presumably atopic individuals, also provoke a reagin-mediated (type I) bronchial hypersensitivity reaction. It is suggested that a term such as allergic alveolitis' or extrinsic allergic alveolitis' may suitably be used to describe the group of diseases caused by pulmonary hypersensitivity to inhaled organic antigens.

摘要

报告了一例吸入有机抗原引起的弥漫性肺超敏反应的进一步病例。一名42岁的麦芽工人患上了类似农民肺的疾病,发现他曾大量接触过嗜热放线菌的孢子。在他的血清中检测到针对嗜热放线菌提取物的沉淀和补体结合抗体,皮内注射相同提取物会产生迟发性(阿瑟斯型)反应,吸入嗜热放线菌孢子6小时后会出现发热反应,并伴有用力肺活量和一氧化碳转运因子降低。该患者的四名同事中有两名抱怨有类似但较轻的症状,他们的血清中也含有特异性抗体。尽管嗜热放线菌的孢子以及引起枫树皮病的真菌的孢子比嗜热栖热放线菌的1微米孢子大得多,但它们可能会引发一种与农民肺中观察到的无法区分的弥漫性肺超敏反应。这表明这种反应的发生不一定与吸入颗粒的大小有关,并且有理由相信在这方面,吸入空气中孢子或其他抗原性颗粒的浓度可能比其大小更重要。这组疾病中的肺超敏反应似乎是对多种吸入抗原的沉淀素介导的(III型)反应,但在某些患者(可能是特应性个体)中,其中一些抗原也可能引发反应素介导的(I型)支气管超敏反应。有人建议,诸如“过敏性肺泡炎”或“外源性过敏性肺泡炎”之类的术语可能适合用于描述由吸入有机抗原引起的肺超敏反应所致的一组疾病。

https://cdn.ncbi.nlm.nih.gov/pmc/blobs/5066/471790/377b6e531a5d/thorax00099-0053-a.jpg

文献检索

告别复杂PubMed语法,用中文像聊天一样搜索,搜遍4000万医学文献。AI智能推荐,让科研检索更轻松。

立即免费搜索

文件翻译

保留排版,准确专业,支持PDF/Word/PPT等文件格式,支持 12+语言互译。

免费翻译文档

深度研究

AI帮你快速写综述,25分钟生成高质量综述,智能提取关键信息,辅助科研写作。

立即免费体验