• 文献检索
  • 文档翻译
  • 深度研究
  • 学术资讯
  • Suppr Zotero 插件Zotero 插件
  • 邀请有礼
  • 套餐&价格
  • 历史记录
应用&插件
Suppr Zotero 插件Zotero 插件浏览器插件Mac 客户端Windows 客户端微信小程序
定价
高级版会员购买积分包购买API积分包
服务
文献检索文档翻译深度研究API 文档MCP 服务
关于我们
关于 Suppr公司介绍联系我们用户协议隐私条款
关注我们

Suppr 超能文献

核心技术专利:CN118964589B侵权必究
粤ICP备2023148730 号-1Suppr @ 2026

文献检索

告别复杂PubMed语法,用中文像聊天一样搜索,搜遍4000万医学文献。AI智能推荐,让科研检索更轻松。

立即免费搜索

文件翻译

保留排版,准确专业,支持PDF/Word/PPT等文件格式,支持 12+语言互译。

免费翻译文档

深度研究

AI帮你快速写综述,25分钟生成高质量综述,智能提取关键信息,辅助科研写作。

立即免费体验

感染风疹病毒的猴肾细胞培养物的电子显微镜检查。

Electron microscopy of monkey kidney cell cultures infected with rubella virus.

作者信息

Kim K S, Boatman E S

出版信息

J Virol. 1967 Feb;1(1):205-14. doi: 10.1128/JVI.1.1.205-214.1967.

DOI:10.1128/JVI.1.1.205-214.1967
PMID:4990037
原文链接:https://pmc.ncbi.nlm.nih.gov/articles/PMC375520/
Abstract

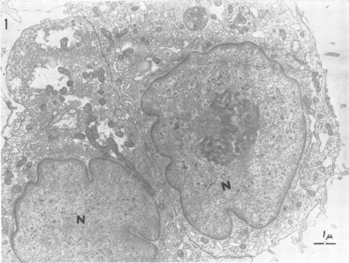
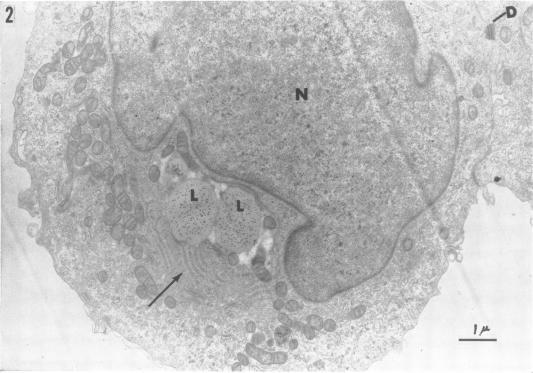
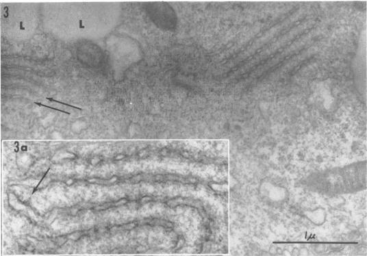
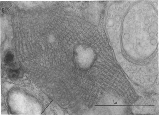
Two rubella virus strains isolated in this laboratory were investigated in terms of their growth in LLC-MK(2) cell cultures and their effect on cell morphology. Rubella virus grew readily in LLC-MK(2) cells, but cytopathic effects of the virus were not observed in infected cultures. Such infected cultures can be subcultured indefinitely and continue to shed virus. Examination of rubella-infected cell cultures by electron microscopy showed the presence of annulate lamellae in the cytoplasm of 15% of the cells. No changes were evident in the nuclei. These membranous inclusions varied in complexity from parallel arrays of annulate lamellae to large lamellar structures of complex morphology. An occasional cell contained a crystal lattice structure in association with the lamellae. Larger inclusions, consisting of disorganized arrays of "unit" membranes, were also found. Uninfected cells were devoid of annulate lamellae, crystals, and complex membranous inclusions. No viruslike particles were observed in any part of the cells from infected cultures. The significance of the structures observed has not been determined.

摘要

对本实验室分离出的两株风疹病毒进行了研究,观察它们在LLC-MK(2)细胞培养物中的生长情况及其对细胞形态的影响。风疹病毒在LLC-MK(2)细胞中易于生长,但在感染的培养物中未观察到病毒的细胞病变效应。此类感染的培养物可无限传代并持续释放病毒。通过电子显微镜检查风疹感染的细胞培养物发现,15%的细胞胞质中存在环状片层。细胞核未见明显变化。这些膜性内含物的复杂程度各不相同,从平行排列的环状片层到形态复杂的大的片层结构。偶尔有细胞含有与片层相关的晶格结构。还发现了由“单位”膜无序排列组成的较大内含物。未感染的细胞没有环状片层、晶体和复杂的膜性内含物。在感染培养物的细胞任何部位均未观察到病毒样颗粒。所观察到的结构的意义尚未确定。

https://cdn.ncbi.nlm.nih.gov/pmc/blobs/d7d3/375520/35f3a58ceecb/jvirol00325-0222-a.jpg
https://cdn.ncbi.nlm.nih.gov/pmc/blobs/d7d3/375520/d6eb74b84556/jvirol00325-0216-a.jpg
https://cdn.ncbi.nlm.nih.gov/pmc/blobs/d7d3/375520/6c64980a359c/jvirol00325-0216-b.jpg
https://cdn.ncbi.nlm.nih.gov/pmc/blobs/d7d3/375520/e94709d9f139/jvirol00325-0218-a.jpg
https://cdn.ncbi.nlm.nih.gov/pmc/blobs/d7d3/375520/81b79f8536a4/jvirol00325-0218-b.jpg
https://cdn.ncbi.nlm.nih.gov/pmc/blobs/d7d3/375520/57e3ae5fec48/jvirol00325-0219-a.jpg
https://cdn.ncbi.nlm.nih.gov/pmc/blobs/d7d3/375520/821de21c54d0/jvirol00325-0220-a.jpg
https://cdn.ncbi.nlm.nih.gov/pmc/blobs/d7d3/375520/8e32ea446f81/jvirol00325-0220-b.jpg
https://cdn.ncbi.nlm.nih.gov/pmc/blobs/d7d3/375520/7bdb4ddf1cba/jvirol00325-0221-a.jpg
https://cdn.ncbi.nlm.nih.gov/pmc/blobs/d7d3/375520/6d0d241bcc6c/jvirol00325-0221-b.jpg
https://cdn.ncbi.nlm.nih.gov/pmc/blobs/d7d3/375520/35f3a58ceecb/jvirol00325-0222-a.jpg
https://cdn.ncbi.nlm.nih.gov/pmc/blobs/d7d3/375520/d6eb74b84556/jvirol00325-0216-a.jpg
https://cdn.ncbi.nlm.nih.gov/pmc/blobs/d7d3/375520/6c64980a359c/jvirol00325-0216-b.jpg
https://cdn.ncbi.nlm.nih.gov/pmc/blobs/d7d3/375520/e94709d9f139/jvirol00325-0218-a.jpg
https://cdn.ncbi.nlm.nih.gov/pmc/blobs/d7d3/375520/81b79f8536a4/jvirol00325-0218-b.jpg
https://cdn.ncbi.nlm.nih.gov/pmc/blobs/d7d3/375520/57e3ae5fec48/jvirol00325-0219-a.jpg
https://cdn.ncbi.nlm.nih.gov/pmc/blobs/d7d3/375520/821de21c54d0/jvirol00325-0220-a.jpg
https://cdn.ncbi.nlm.nih.gov/pmc/blobs/d7d3/375520/8e32ea446f81/jvirol00325-0220-b.jpg
https://cdn.ncbi.nlm.nih.gov/pmc/blobs/d7d3/375520/7bdb4ddf1cba/jvirol00325-0221-a.jpg
https://cdn.ncbi.nlm.nih.gov/pmc/blobs/d7d3/375520/6d0d241bcc6c/jvirol00325-0221-b.jpg
https://cdn.ncbi.nlm.nih.gov/pmc/blobs/d7d3/375520/35f3a58ceecb/jvirol00325-0222-a.jpg

相似文献

1
Electron microscopy of monkey kidney cell cultures infected with rubella virus.感染风疹病毒的猴肾细胞培养物的电子显微镜检查。
J Virol. 1967 Feb;1(1):205-14. doi: 10.1128/JVI.1.1.205-214.1967.
2
Development and changes of annulate lamellae complexes in rubella virus-infected RK-13 cells.
J Ultrastruct Res. 1970 Jun;31(5-6):407-23. doi: 10.1016/s0022-5320(70)90158-9.
3
Cytopathic and plaque assay of rubella virus in a line of African green monkey kiency cells (Vero).风疹病毒在非洲绿猴肾细胞系(Vero)中的细胞病变和空斑测定
Proc Soc Exp Biol Med. 1967 Jun;125(2):602-6. doi: 10.3181/00379727-125-32157.
4
Characteristics of serially propagated monkey kidney cell cultures with persistent rubella infection.持续感染风疹的连续传代猴肾细胞培养物的特征
J Bacteriol. 1966 Jan;91(1):436-41. doi: 10.1128/jb.91.1.436-441.1966.
5
Studies of rubella virus. 1. A study of growh of rubella viru in kidney culture cells of African green monkey.风疹病毒研究。1. 风疹病毒在非洲绿猴肾培养细胞中生长的研究。
Kitasato Arch Exp Med. 1969 Dec;42(3):123-31.
6
Replication of rubella virus in a continuous line of African green monkey kidney cells (Vero).风疹病毒在非洲绿猴肾细胞连续系(Vero细胞)中的复制
Proc Soc Exp Biol Med. 1967 Jun;125(2):636-43. doi: 10.3181/00379727-125-32167.
7
A comparison of RK-13, vervet monkey kidney and patas monkey kidney cell cultures for the isolation of rubella virus.用于风疹病毒分离的RK - 13、黑长尾猴肾和东非狒狒肾细胞培养物的比较。
J Hyg (Lond). 1967 Sep;65(3):263-71. doi: 10.1017/s0022172400045782.
8
GROWTH AND CYTOPATHIC EFFECT OF RUBELLA VIRUS IN A LINE OF GREEN MONKEY KIDNEY CELLS.风疹病毒在绿猴肾细胞系中的生长及细胞病变效应
Proc Soc Exp Biol Med. 1965 Jan;118:85-90.
9
Mechanism of persistence of rubella virus in LLC-MK2 cells.风疹病毒在LLC-MK2细胞中持续存在的机制。
J Gen Virol. 1979 May;43(2):289-98. doi: 10.1099/0022-1317-43-2-289.
10
Virus particles in rubella infected tissue cultures. (brief report).风疹感染组织培养中的病毒颗粒。(简要报告)
Arch Gesamte Virusforsch. 1969;26(3):287-94. doi: 10.1007/BF01242381.

引用本文的文献

1
Viral Appropriation: Laying Claim to Host Nuclear Transport Machinery.病毒劫持:对宿主核转运机制的侵占
Cells. 2019 Jun 8;8(6):559. doi: 10.3390/cells8060559.
2
Hepatitis C virus-induced cytoplasmic organelles use the nuclear transport machinery to establish an environment conducive to virus replication.丙型肝炎病毒诱导的细胞质细胞器利用核转运机制建立有利于病毒复制的环境。
PLoS Pathog. 2013 Oct;9(10):e1003744. doi: 10.1371/journal.ppat.1003744. Epub 2013 Oct 31.
3
Do viruses subvert cholesterol homeostasis to induce host cubic membranes?

本文引用的文献

1
Some electron microscope observations on membranous basophilic elements of invertebrate eggs.关于无脊椎动物卵膜嗜碱性成分的一些电子显微镜观察
J Ultrastruct Res. 1961 Jun;5:208-25. doi: 10.1016/s0022-5320(61)90016-8.
2
Electron microscopic observations on the development of herpes simplex virus.单纯疱疹病毒发育的电子显微镜观察
J Exp Med. 1959 Oct 1;110(4):643-56. doi: 10.1084/jem.110.4.643.
3
Electron microscopic study of the phagocytosis process in lung.肺中吞噬作用过程的电子显微镜研究。
病毒是否会颠覆胆固醇稳态诱导宿主立方膜?
Trends Cell Biol. 2010 Jul;20(7):371-9. doi: 10.1016/j.tcb.2010.04.001. Epub 2010 Apr 29.
4
Chapter 6: cubic membranes the missing dimension of cell membrane organization.第6章:立方膜——细胞膜组织中缺失的维度
Int Rev Cell Mol Biol. 2009;274:275-342. doi: 10.1016/S1937-6448(08)02006-6.
5
Rubella virus replication and links to teratogenicity.风疹病毒复制及其与致畸性的关联。
Clin Microbiol Rev. 2000 Oct;13(4):571-87. doi: 10.1128/CMR.13.4.571.
6
Molecular biology of rubella virus.风疹病毒的分子生物学
Adv Virus Res. 1994;44:69-160. doi: 10.1016/s0065-3527(08)60328-0.
7
Synovial pathologic changes in spontaneous canine rheumatoid-like arthritis.自发性犬类风湿样关节炎的滑膜病理变化
Arthritis Rheum. 1980 Apr;23(4):412-23. doi: 10.1002/art.1780230404.
8
Morphological observations of the replication of herpesvirus tamarinus in RL-33 cells.绢毛猴疱疹病毒在RL - 33细胞中复制的形态学观察。
Arch Virol. 1980;66(1):53-65. doi: 10.1007/BF01315044.
9
Rod-shaped bodies and crystalloid inclusions in ocular vascular endothelia of adult and developing Macaca mulatta.成年和发育中的恒河猴眼血管内皮细胞中的杆状体和晶体样内含物。
Anat Embryol (Berl). 1980;158(2):121-31. doi: 10.1007/BF00315900.
10
Electron microscopy of the development of rubella virus in BHK-21 cells.风疹病毒在BHK - 21细胞中发育的电子显微镜观察
J Virol. 1968 Oct;2(10):1223-7. doi: 10.1128/JVI.2.10.1223-1227.1968.
J Biophys Biochem Cytol. 1960 Apr;7(2):357-66. doi: 10.1083/jcb.7.2.357.
4
Electron microscopy of early cytoplasmic changes due to influenza virus.流感病毒所致早期细胞质变化的电子显微镜观察
J Exp Med. 1955 Jun 1;101(6):577-90. doi: 10.1084/jem.101.6.577.
5
A DIPLOID HUMAN CELL STRAIN WITH CHRONIC INAPPARENT RUBELLA INFECTION.一株感染慢性隐性风疹的二倍体人类细胞系。
Arch Gesamte Virusforsch. 1965;16:469. doi: 10.1007/BF01253857.
6
CHARACTERIZATION OF GROWTH OF RUBELLA VIRUS IN LLC-MK 2 CELLS.风疹病毒在LLC-MK 2细胞中的生长特性
Arch Gesamte Virusforsch. 1965;16:426-37. doi: 10.1007/BF01253851.
7
ON THE MORPHOLOGY OF RUBELLA VIRUS.论风疹病毒的形态学
Arch Gesamte Virusforsch. 1965;16:412-4. doi: 10.1007/BF01253847.
8
BIOLOGICAL CHARACTERISTICS OF RUBELLA VIRUS.风疹病毒的生物学特性
Arch Gesamte Virusforsch. 1965;16:401-11. doi: 10.1007/BF01253846.
9
BIOLOGICAL CHARACTERISTICS OF RUBELLA VIRUS AS ASSAYED IN A HUMAN AMNION CULTURE SYSTEM.在人羊膜培养系统中检测风疹病毒的生物学特性
Arch Gesamte Virusforsch. 1965;16:393-400. doi: 10.1007/BF01253845.
10
REPLICATION OF ANIMAL VIRUSES AS STUDIED BY ELECTRON MICROSCOPY.通过电子显微镜研究动物病毒的复制
Am J Med. 1965 May;38:699-715. doi: 10.1016/0002-9343(65)90191-9.