Suppr超能文献

Immunological behaviour following rubella infection.

作者信息

Niwa Y, Kanoh T

出版信息

Clin Exp Immunol. 1979 Sep;37(3):470-6.

Abstract

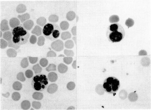
Several immunological tests were performed on eighty-five patients with rubella. There was a decrease in total leucocytes, neutrophils and T cells, an increase in IgG and the complement components of C4, C9 and CH50, and a marked insensitivity to dinitrochlorobenzen (DNCB) and purified protein derivative (PPD) in many patients. Furthermore, atypical lymphocytes with lobulated nuclei, autoantibodies and reduced blastogenesis were found in some patients. These abnormal findings disappeared within 1 month. These marked immune abnormalities, although transient, may indicate an inhibition of DNA synthesis in lymphocytes which may have some bearing on the high incidence of embryopathy in pregnant women.

摘要
https://cdn.ncbi.nlm.nih.gov/pmc/blobs/5e07/1537775/767b890b4dfa/clinexpimmunol00204-0095-a.jpg

文献AI研究员

20分钟写一篇综述,助力文献阅读效率提升50倍。

立即体验

用中文搜PubMed

大模型驱动的PubMed中文搜索引擎

马上搜索

文档翻译

学术文献翻译模型,支持多种主流文档格式。

立即体验