Suppr超能文献

伴有血管炎的IgA-IgG冷球蛋白血症

IgA-IgG cryoglobulinaemia with vasculitis.

作者信息

Whitsed H M, Penny R

出版信息

Clin Exp Immunol. 1971 Aug;9(2):183-91.

Abstract

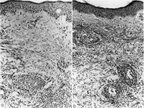
A mixed IgA/IgG cryoglobulin complex was found in the serum of a 61-year-old man suffering from rheumatoid arthritis, Raynaud's phenomenon and vascular purpura. The purified complex was progressively insoluble at temperatures below 37°C. Reversible loss of cryoprecipitability was seen in conditions of extreme pH, in concentrated urea solutions and in 2-mercaptoethanol. Inactivation of complement at 56°C did not affect cryoprecipitability. The complex contained no complement and showed no anticomplementary activity. Analytical ultracentrifugation of the cryoglobulin at 37°C showed 7S and 11S components present in equal concentration. The component immunoglobulins of the complex were separated by anion exchange chromatography at 37°C. Crossmixing studies with purified normal immunoglobulins indicated that the patient's IgA component was essential for cryoprecipitability of the complex. RA latex tests for anti-IgG activity at 37°C showed strong agglutination with both cryoglobulin complex and the isolated IgA component; this protein was found to be monoclonal with type K light chains. Vasculitis, induced by skin testing the patient with his own plasma and isolated cryoglobulin was found to be histologically indistinguishable from that occuring spontaneously; reduction of symptoms paralleled reduction of cryoglobulin on treatment. These observations strongly support the hypothesis that the cryoglobulin complex is responsible for the patient's vasculitis.

摘要

在一名患有类风湿性关节炎、雷诺现象和血管性紫癜的61岁男性患者的血清中发现了一种混合的IgA/IgG冷球蛋白复合物。纯化后的复合物在低于37°C的温度下逐渐变得不溶。在极端pH条件下、浓尿素溶液中和2-巯基乙醇中可观察到冷沉淀性的可逆丧失。56°C下补体的灭活并不影响冷沉淀性。该复合物不含补体,也没有抗补体活性。在37°C下对冷球蛋白进行分析超速离心显示,7S和11S组分的浓度相等。复合物中的组分免疫球蛋白在37°C下通过阴离子交换色谱法进行分离。用纯化的正常免疫球蛋白进行交叉混合研究表明,患者的IgA组分对于复合物的冷沉淀性至关重要。在37°C下进行的类风湿关节炎乳胶试验检测抗IgG活性,结果显示与冷球蛋白复合物和分离出的IgA组分均发生强烈凝集;发现该蛋白为带有K型轻链的单克隆蛋白。用患者自身的血浆和分离出的冷球蛋白对患者进行皮肤试验诱导的血管炎,在组织学上与自发发生的血管炎无法区分;治疗过程中症状的减轻与冷球蛋白的减少平行。这些观察结果有力地支持了冷球蛋白复合物是导致患者血管炎的原因这一假说。

https://cdn.ncbi.nlm.nih.gov/pmc/blobs/45c6/1713020/fdad7618c61e/clinexpimmunol00369-0048-a.jpg

文献AI研究员

20分钟写一篇综述,助力文献阅读效率提升50倍。

立即体验

用中文搜PubMed

大模型驱动的PubMed中文搜索引擎

马上搜索

文档翻译

学术文献翻译模型,支持多种主流文档格式。

立即体验