• 文献检索
  • 文档翻译
  • 深度研究
  • 学术资讯
  • Suppr Zotero 插件Zotero 插件
  • 邀请有礼
  • 套餐&价格
  • 历史记录
应用&插件
Suppr Zotero 插件Zotero 插件浏览器插件Mac 客户端Windows 客户端微信小程序
定价
高级版会员购买积分包购买API积分包
服务
文献检索文档翻译深度研究API 文档MCP 服务
关于我们
关于 Suppr公司介绍联系我们用户协议隐私条款
关注我们

Suppr 超能文献

核心技术专利:CN118964589B侵权必究
粤ICP备2023148730 号-1Suppr @ 2026

文献检索

告别复杂PubMed语法,用中文像聊天一样搜索,搜遍4000万医学文献。AI智能推荐,让科研检索更轻松。

立即免费搜索

文件翻译

保留排版,准确专业,支持PDF/Word/PPT等文件格式,支持 12+语言互译。

免费翻译文档

深度研究

AI帮你快速写综述,25分钟生成高质量综述,智能提取关键信息,辅助科研写作。

立即免费体验

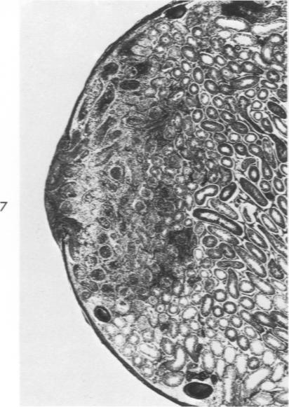
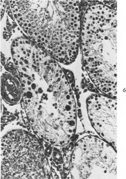
Allergic inflammation, infarction and induced localization in the testis.

作者信息

Levine S, Sowinski R

出版信息

Am J Pathol. 1970 Jun;59(3):437-51.

PMID:5424148
原文链接:https://pmc.ncbi.nlm.nih.gov/articles/PMC2032946/
Abstract
摘要
https://cdn.ncbi.nlm.nih.gov/pmc/blobs/bac8/2032946/a14bc3275f0b/amjpathol00569-0106-d.jpg
https://cdn.ncbi.nlm.nih.gov/pmc/blobs/bac8/2032946/a46d2d6a0e59/amjpathol00569-0104-a.jpg
https://cdn.ncbi.nlm.nih.gov/pmc/blobs/bac8/2032946/c2edda1d7378/amjpathol00569-0106-a.jpg
https://cdn.ncbi.nlm.nih.gov/pmc/blobs/bac8/2032946/dff8b20a0fd6/amjpathol00569-0106-b.jpg
https://cdn.ncbi.nlm.nih.gov/pmc/blobs/bac8/2032946/d4097de72297/amjpathol00569-0106-c.jpg
https://cdn.ncbi.nlm.nih.gov/pmc/blobs/bac8/2032946/a14bc3275f0b/amjpathol00569-0106-d.jpg
https://cdn.ncbi.nlm.nih.gov/pmc/blobs/bac8/2032946/a46d2d6a0e59/amjpathol00569-0104-a.jpg
https://cdn.ncbi.nlm.nih.gov/pmc/blobs/bac8/2032946/c2edda1d7378/amjpathol00569-0106-a.jpg
https://cdn.ncbi.nlm.nih.gov/pmc/blobs/bac8/2032946/dff8b20a0fd6/amjpathol00569-0106-b.jpg
https://cdn.ncbi.nlm.nih.gov/pmc/blobs/bac8/2032946/d4097de72297/amjpathol00569-0106-c.jpg
https://cdn.ncbi.nlm.nih.gov/pmc/blobs/bac8/2032946/a14bc3275f0b/amjpathol00569-0106-d.jpg

相似文献

1
Allergic inflammation, infarction and induced localization in the testis.睾丸中的过敏性炎症、梗死及诱导定位。
Am J Pathol. 1970 Jun;59(3):437-51.
2
Possibilities and limitations of production of autoimmune diseases in inbred mouse strains.
Pathol Eur. 1966;1(1):119-34.
3
Pathogenesis of experimental allergic orchitis. I. Transfer with immune lymph node cells.实验性变应性睾丸炎的发病机制。I. 用免疫淋巴结细胞进行转移。
J Immunol. 1971 Jun;106(6):1453-62.
4
Transglutaminase levels during development of allergic orchitis.
J Immunol. 1970 Feb;104(2):448-54.
5
Transfer of experimental allergic orchitis with peritoneal exudate cells.用腹腔渗出细胞转移实验性变应性睾丸炎
J Immunol. 1972 Feb;108(2):329-38.
6
[Ultrastructural studies of experimental auto- immune orchitis].[实验性自身免疫性睾丸炎的超微结构研究]
Beitr Pathol Anat. 1969;139(3):241-60.
7
Identification of a dendritic cell population in normal testis and in chronically inflamed testis of rats with autoimmune orchitis.在正常睾丸以及患有自身免疫性睾丸炎大鼠的慢性炎症睾丸中鉴定树突状细胞群体。
Cell Tissue Res. 2006 May;324(2):311-8. doi: 10.1007/s00441-005-0129-5. Epub 2006 Jan 24.
8
Posttraumatic aspermatogenesis: resemblance of pathogenesis of autoallergic and posttraumatic orchitis.创伤后无精子症:自身免疫性睾丸炎与创伤后睾丸炎发病机制的相似性。
Folia Biol (Praha). 1967;13(6):450-6.
9
Demonstration in vitro of delayed hypersensitivity in experimental allergic orchitis in guinea-pigs.豚鼠实验性变应性睾丸炎中迟发型超敏反应的体外证明
J Reprod Fertil. 1971 Aug;26(2):161-6. doi: 10.1530/jrf.0.0260161.
10
Cytophilic activity in experimental immunologic orchitis in guinea pigs.豚鼠实验性免疫性睾丸炎中的嗜细胞活性。
Fertil Steril. 1976 Jan;27(1):21-7.

引用本文的文献

1
Experimental allergic orchitis in mice. Histopathological and Immunological studies.小鼠实验性变应性睾丸炎。组织病理学和免疫学研究。
Virchows Arch A Pathol Anat Histol. 1981;392(2):147-58. doi: 10.1007/BF00430817.
2
Antigenicity and autoimmunity in sexual reproduction: a review.有性生殖中的抗原性与自身免疫:综述
Clin Exp Immunol. 1971 Sep;9(3):267-88.
3
Contralateral epididymo-orchitis after cryo-injury to the male rabbit gonad.雄性兔性腺冷冻损伤后对侧附睾睾丸炎

本文引用的文献

1
[Testicular lesions induced in the guinea pig by iso- and auto-sensitization].[同种致敏和自身致敏诱导豚鼠睾丸病变]
Ann Inst Pasteur (Paris). 1951 Jul;81(1):48-63.
2
Studies of induction of allergic encephalomyelities in rats and guinea pigs without the use of Mycobacteria.在不使用分枝杆菌的情况下对大鼠和豚鼠过敏性脑脊髓炎诱导的研究。
J Immunol. 1962 Jul;89:72-9.
3
Aspermatogenesis, anaphylaxis, and cutaneous sensitization induced in the guinea pig by homologous testicular extract.同源睾丸提取物在豚鼠中诱导的无精子症、过敏反应和皮肤致敏。
Immunology. 1973 Nov;25(5):891-903.
4
Nonspecific lymphocyte responses in F344 and LEW rats: susceptibility to murine respiratory mycoplasmosis and examination of cellular basis for strain differences.F344和LEW大鼠的非特异性淋巴细胞反应:对鼠呼吸道支原体病的易感性及品系差异的细胞基础研究
Infect Immun. 1985 Jul;49(1):152-8. doi: 10.1128/iai.49.1.152-158.1985.
J Exp Med. 1955 Jun 1;101(6):591-604. doi: 10.1084/jem.101.6.591.
4
IMMUNOLOGICAL AND TESTICULAR RESPONSE IN MAN SENSITIZED WITH HUMAN TESTICULAR HOMOGENATE.人用人类睾丸匀浆致敏后的免疫和睾丸反应。
J Clin Endocrinol Metab. 1965 Jul;25:859-75. doi: 10.1210/jcem-25-7-859.
5
RESPONSE OF RETICULOENDOTHELIAL SYSTEM TO EXPERIMENTAL ALLERGIC ORCHITIS IN A GENETICALLY SUSCEPTIBLE AND RESISTANT MOUSE GENOTYPE.遗传易感性和抗性小鼠基因型中网状内皮系统对实验性变应性睾丸炎的反应
Proc Soc Exp Biol Med. 1965 Feb;118:374-6. doi: 10.3181/00379727-118-29847.
6
ALLERGIC NEURITIS INDUCED IN RATS WITHOUT THE USE OF MYCOBACTERIA.
Proc Soc Exp Biol Med. 1963 Aug-Sep;113:898-900. doi: 10.3181/00379727-113-28524.
7
THE PATHOGENESIS OF EXPERIMENTAL ALLERGIC ORCHITIS IN GUINEA-PIGS.豚鼠实验性变应性睾丸炎的发病机制
J Pathol Bacteriol. 1963 Oct;86:505-20.
8
Intestinal infarcts produced by Forssman antibodies.
AMA Arch Pathol. 1959 Aug;68(2):119-25.
9
A histologic study of the auto-allergic testis lesion in the guinea pig.豚鼠自身免疫性睾丸病变的组织学研究。
J Exp Med. 1959 Mar 1;109(3):311-23. doi: 10.1084/jem.109.3.311.
10
Impairment of spermatogenesis in the rat after cutaneous injection of testicular suspension with complete adjuvants.在大鼠经皮注射含有完全佐剂的睾丸悬液后精子发生受损。
Proc Soc Exp Biol Med. 1954 Nov;87(2):408-11. doi: 10.3181/00379727-87-21396.