Suppr超能文献

化学损伤中的炎症反应。3. 浅表损伤引起的白细胞增多及其他组织学变化。

The inflammatory reaction in chemical injury. 3. Leucocytosis and other histological changes induced by superficial injury.

作者信息

Steele R H, Wilhelm D L

出版信息

Br J Exp Pathol. 1970 Jun;51(3):265-79.

Abstract

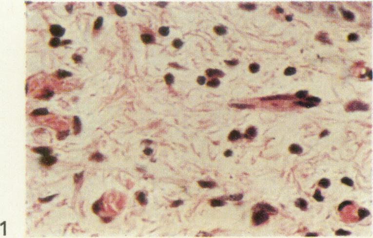
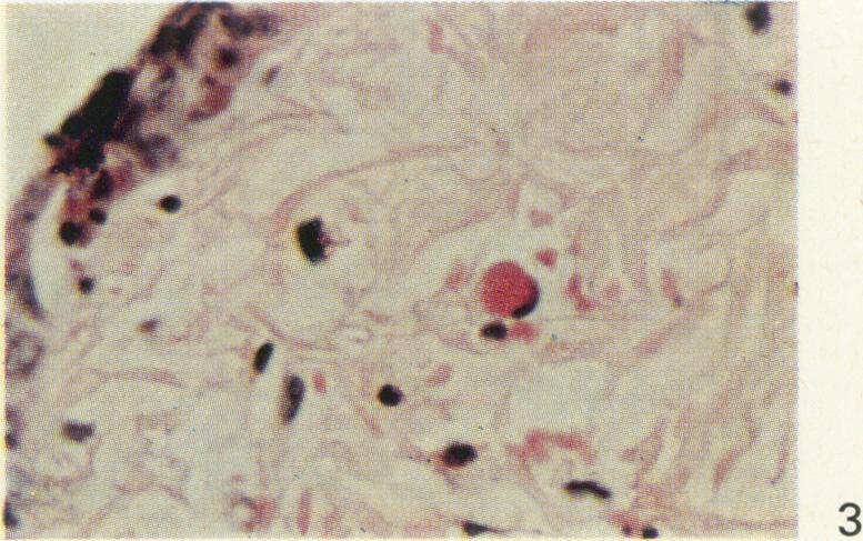
Skin sites treated by the application of xylol, benzene, carbon tetrachloride, chloroform and 1/7-1/9 phenol were examined histologically after the application of these chemicals for ½-1 min. Degenerative changes in the first 5 min. progressed to necrosis of the cells of the epidermis and upper dermis in about 12 hr, the necrosis tissue later being undermined by regenerating epidermis. Within about 10 min. of applying the chemical irritants, the sub-epidermal capillary plexus became dilated and engorged with blood in parallel with the development of erythema. With mild irritation, this engorgement lessened in the 1st hr and became minimal in 2-8 hr, the latter period corresponding with the interval between the early and late phases of increased vascular permeability, when the sub-epidermal vessels were usually empty, though still dilated. With stronger irritation, the initial congestion was replaced by vascular stasis, but such lesions exhibited only a single strong phase of increased permeability. Stasis was sometimes associated with evidence of vascular damage. The small veins of the mid-dermis were initially congested. Between 3-8 hr, the sub-epidermal capillaries were usually dilated, but empty or in stasis; the mid-dermal veins contained increasing numbers of leucocytes which were mainly neutrophils, with less eosinophils and monocytes. Numerous neutrophils emigrated into the adjacent tissue when the lesions were 2-6 hr old. The intensity of the neutrophil response paralleled the amount of epidermal necrosis, the white cells being noticeably confined to the dermis overlain by necrotic epidermis or to the necrotic epidermis itself. During the late phase of increased permeability induced by mild irritants, the dermal vessels again became filled with blood, but the number of neutrophils in the perivascular tissues was declining before the onset of the late phase of increased permeability. Organoid arterio-venous anastomoses in the panniculus adiposus exhibited no changes. Guinea-pig skin normally contained varying numbers of eosinophils, in parallel with the number in the peripheral blood. In chemical injury, eosinophils accumulated and emigrated in step with the neutrophils, remained further removed from the necrotic epidermis, and appeared to survive longer than the neutrophils. Monocytes accumulated in blood vessels at the same time as neutrophils, but were not “labelled” and therefore not counted after migration into the injured tissues. After chemical injury and prior to the late permeability response, injected histamine rapidly increased permeability, presumably of the engorged vessels in the lower dermis and panniculus adiposus; re-application at this stage of a chemical irritant evoked no permeability response. The results strongly suggest that the phasic nature of erythema and increased vascular permeability is determined by diversion of blood flow from the vessels of the upper dermis to vessels of the deep dermis, panniculus adiposus and panniculus carnosus.

摘要

在涂抹二甲苯、苯、四氯化碳、氯仿和1/7 - 1/9苯酚1/2 - 1分钟后,对处理过的皮肤部位进行组织学检查。最初5分钟内出现退行性变化,约12小时后发展为表皮和真皮上层细胞坏死,坏死组织随后被再生的表皮侵蚀。在涂抹化学刺激物约10分钟内,表皮下毛细血管丛扩张并充血,同时出现红斑。轻度刺激时,这种充血在第1小时减轻,在2 - 8小时变为最小,后一阶段与血管通透性增加的早期和晚期之间的间隔相对应,此时表皮下血管通常是空的,但仍处于扩张状态。较强刺激时,最初的充血被血管淤滞取代,但这种病变仅表现出单一的强烈通透性增加阶段。淤滞有时伴有血管损伤的迹象。真皮中层的小静脉最初充血。在3 - 8小时之间,表皮下毛细血管通常扩张,但为空的或处于淤滞状态;真皮中层静脉中白细胞数量增加,主要是中性粒细胞,嗜酸性粒细胞和单核细胞较少。当病变为2 - 6小时时,大量中性粒细胞迁移到相邻组织中。中性粒细胞反应的强度与表皮坏死程度平行,白细胞明显局限于坏死表皮覆盖的真皮或坏死表皮本身。在轻度刺激引起的通透性增加的后期,真皮血管再次充血,但在通透性增加后期开始之前,血管周围组织中的中性粒细胞数量正在减少。皮下脂肪组织中的类器官动静脉吻合没有变化。豚鼠皮肤中正常情况下含有数量不等的嗜酸性粒细胞,与外周血中的数量相当。在化学损伤中,嗜酸性粒细胞与中性粒细胞同步积聚和迁移,与坏死表皮的距离更远,并且似乎比中性粒细胞存活时间更长。单核细胞与中性粒细胞同时在血管中积聚,但未被“标记”,因此在迁移到受损组织后未进行计数。在化学损伤后且在通透性后期反应之前,注射组胺会迅速增加通透性,推测是真皮下层和皮下脂肪组织中充血血管的通透性;在此阶段再次涂抹化学刺激物不会引起通透性反应。结果强烈表明,红斑和血管通透性增加的阶段性本质是由血流从真皮上层血管转移到真皮深层、皮下脂肪组织和肌肉组织的血管所决定的。

https://cdn.ncbi.nlm.nih.gov/pmc/blobs/1ff1/2072269/c5cb30c8407e/brjexppathol00429-0052-a.jpg

文献检索

告别复杂PubMed语法,用中文像聊天一样搜索,搜遍4000万医学文献。AI智能推荐,让科研检索更轻松。

立即免费搜索

文件翻译

保留排版,准确专业,支持PDF/Word/PPT等文件格式,支持 12+语言互译。

免费翻译文档

深度研究

AI帮你快速写综述,25分钟生成高质量综述,智能提取关键信息,辅助科研写作。

立即免费体验