• 文献检索
  • 文档翻译
  • 深度研究
  • 学术资讯
  • Suppr Zotero 插件Zotero 插件
  • 邀请有礼
  • 套餐&价格
  • 历史记录
应用&插件
Suppr Zotero 插件Zotero 插件浏览器插件Mac 客户端Windows 客户端微信小程序
定价
高级版会员购买积分包购买API积分包
服务
文献检索文档翻译深度研究API 文档MCP 服务
关于我们
关于 Suppr公司介绍联系我们用户协议隐私条款
关注我们

Suppr 超能文献

核心技术专利:CN118964589B侵权必究
粤ICP备2023148730 号-1Suppr @ 2026

文献检索

告别复杂PubMed语法,用中文像聊天一样搜索,搜遍4000万医学文献。AI智能推荐,让科研检索更轻松。

立即免费搜索

文件翻译

保留排版,准确专业,支持PDF/Word/PPT等文件格式,支持 12+语言互译。

免费翻译文档

深度研究

AI帮你快速写综述,25分钟生成高质量综述,智能提取关键信息,辅助科研写作。

立即免费体验

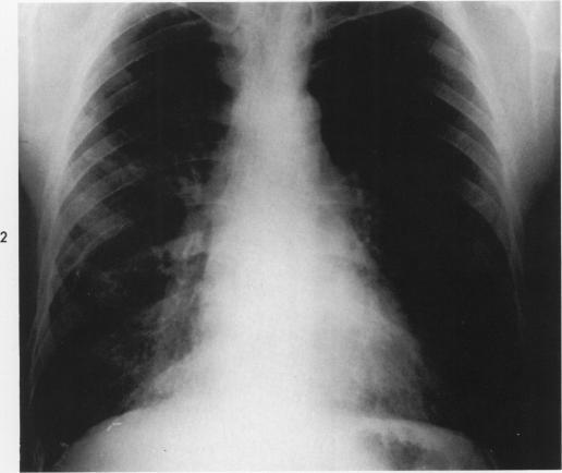
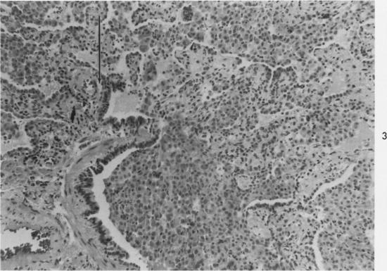
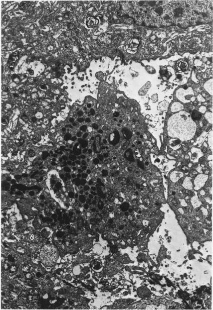
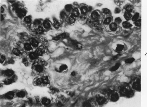
Desquamative interstitial pneumonia. An electron microscopic study.

作者信息

Farr G H, Harley R A, Hennigar G R

出版信息

Am J Pathol. 1970 Sep;60(3):347-70.

PMID:5459746
原文链接:https://pmc.ncbi.nlm.nih.gov/articles/PMC2033036/
Abstract
摘要
https://cdn.ncbi.nlm.nih.gov/pmc/blobs/e579/2033036/e3a5f80787d2/amjpathol00566-0053-b.jpg
https://cdn.ncbi.nlm.nih.gov/pmc/blobs/e579/2033036/3b6269983bb2/amjpathol00566-0054-a.jpg
https://cdn.ncbi.nlm.nih.gov/pmc/blobs/e579/2033036/9b5fc7a7ed75/amjpathol00566-0055-a.jpg
https://cdn.ncbi.nlm.nih.gov/pmc/blobs/e579/2033036/5515e7edfa05/amjpathol00566-0055-b.jpg
https://cdn.ncbi.nlm.nih.gov/pmc/blobs/e579/2033036/80c36950a604/amjpathol00566-0047-a.jpg
https://cdn.ncbi.nlm.nih.gov/pmc/blobs/e579/2033036/92beeb963d04/amjpathol00566-0056-a.jpg
https://cdn.ncbi.nlm.nih.gov/pmc/blobs/e579/2033036/5a014c735b98/amjpathol00566-0048-a.jpg
https://cdn.ncbi.nlm.nih.gov/pmc/blobs/e579/2033036/5426d24749af/amjpathol00566-0057-a.jpg
https://cdn.ncbi.nlm.nih.gov/pmc/blobs/e579/2033036/e06af996fd5d/amjpathol00566-0049-a.jpg
https://cdn.ncbi.nlm.nih.gov/pmc/blobs/e579/2033036/0aabfeb37ae1/amjpathol00566-0049-b.jpg
https://cdn.ncbi.nlm.nih.gov/pmc/blobs/e579/2033036/14f4ca0d8660/amjpathol00566-0058-a.jpg
https://cdn.ncbi.nlm.nih.gov/pmc/blobs/e579/2033036/e66c70d4458d/amjpathol00566-0050-a.jpg
https://cdn.ncbi.nlm.nih.gov/pmc/blobs/e579/2033036/923092070436/amjpathol00566-0059-a.jpg
https://cdn.ncbi.nlm.nih.gov/pmc/blobs/e579/2033036/2b53aea0e40d/amjpathol00566-0051-a.jpg
https://cdn.ncbi.nlm.nih.gov/pmc/blobs/e579/2033036/3879588258cf/amjpathol00566-0051-b.jpg
https://cdn.ncbi.nlm.nih.gov/pmc/blobs/e579/2033036/247af7d3a100/amjpathol00566-0052-a.jpg
https://cdn.ncbi.nlm.nih.gov/pmc/blobs/e579/2033036/430c7f8d1273/amjpathol00566-0060-a.jpg
https://cdn.ncbi.nlm.nih.gov/pmc/blobs/e579/2033036/63af28898b39/amjpathol00566-0061-a.jpg
https://cdn.ncbi.nlm.nih.gov/pmc/blobs/e579/2033036/a01a71f7508b/amjpathol00566-0053-a.jpg
https://cdn.ncbi.nlm.nih.gov/pmc/blobs/e579/2033036/e3a5f80787d2/amjpathol00566-0053-b.jpg
https://cdn.ncbi.nlm.nih.gov/pmc/blobs/e579/2033036/3b6269983bb2/amjpathol00566-0054-a.jpg
https://cdn.ncbi.nlm.nih.gov/pmc/blobs/e579/2033036/9b5fc7a7ed75/amjpathol00566-0055-a.jpg
https://cdn.ncbi.nlm.nih.gov/pmc/blobs/e579/2033036/5515e7edfa05/amjpathol00566-0055-b.jpg
https://cdn.ncbi.nlm.nih.gov/pmc/blobs/e579/2033036/80c36950a604/amjpathol00566-0047-a.jpg
https://cdn.ncbi.nlm.nih.gov/pmc/blobs/e579/2033036/92beeb963d04/amjpathol00566-0056-a.jpg
https://cdn.ncbi.nlm.nih.gov/pmc/blobs/e579/2033036/5a014c735b98/amjpathol00566-0048-a.jpg
https://cdn.ncbi.nlm.nih.gov/pmc/blobs/e579/2033036/5426d24749af/amjpathol00566-0057-a.jpg
https://cdn.ncbi.nlm.nih.gov/pmc/blobs/e579/2033036/e06af996fd5d/amjpathol00566-0049-a.jpg
https://cdn.ncbi.nlm.nih.gov/pmc/blobs/e579/2033036/0aabfeb37ae1/amjpathol00566-0049-b.jpg
https://cdn.ncbi.nlm.nih.gov/pmc/blobs/e579/2033036/14f4ca0d8660/amjpathol00566-0058-a.jpg
https://cdn.ncbi.nlm.nih.gov/pmc/blobs/e579/2033036/e66c70d4458d/amjpathol00566-0050-a.jpg
https://cdn.ncbi.nlm.nih.gov/pmc/blobs/e579/2033036/923092070436/amjpathol00566-0059-a.jpg
https://cdn.ncbi.nlm.nih.gov/pmc/blobs/e579/2033036/2b53aea0e40d/amjpathol00566-0051-a.jpg
https://cdn.ncbi.nlm.nih.gov/pmc/blobs/e579/2033036/3879588258cf/amjpathol00566-0051-b.jpg
https://cdn.ncbi.nlm.nih.gov/pmc/blobs/e579/2033036/247af7d3a100/amjpathol00566-0052-a.jpg
https://cdn.ncbi.nlm.nih.gov/pmc/blobs/e579/2033036/430c7f8d1273/amjpathol00566-0060-a.jpg
https://cdn.ncbi.nlm.nih.gov/pmc/blobs/e579/2033036/63af28898b39/amjpathol00566-0061-a.jpg
https://cdn.ncbi.nlm.nih.gov/pmc/blobs/e579/2033036/a01a71f7508b/amjpathol00566-0053-a.jpg
https://cdn.ncbi.nlm.nih.gov/pmc/blobs/e579/2033036/e3a5f80787d2/amjpathol00566-0053-b.jpg

相似文献

1
Desquamative interstitial pneumonia. An electron microscopic study.脱屑性间质性肺炎。一项电子显微镜研究。
Am J Pathol. 1970 Sep;60(3):347-70.
2
Desquamative interstitial pneumonia.
Postgrad Med. 1971 Mar;49(3):65-6. doi: 10.1080/00325481.1971.11696543.
3
Desquamative interstitial pneumonia in children. Report of two cases.儿童脱屑性间质性肺炎。两例报告。
Am J Dis Child. 1970 Oct;120(4):344-8. doi: 10.1001/archpedi.1970.02100090118014.
4
Electron microscopy of desquamative interstitial pneumonia.脱屑性间质性肺炎的电子显微镜检查
Thorax. 1969 Mar;24(2):192-208. doi: 10.1136/thx.24.2.192.
5
Intranuclear inclusion bodies in desquamative interstitial pneumonia. Electron microscopic observations.
Ann Intern Med. 1971 Mar;74(3):404-7. doi: 10.7326/0003-4819-74-3-404.
6
Desquamative interstitial pneumonia with a normal chest radiograph.
Br J Dis Chest. 1974 Oct;68:228-34. doi: 10.1016/0007-0971(74)90047-3.
7
Distinctive ultrastructural findings in a case of idiopathic interstitial pneumonia.一例特发性间质性肺炎的独特超微结构表现
Chest. 1972 Jan;61(1):86-90. doi: 10.1378/chest.61.1.86.
8
[Desquamative interstitial pneumonia and certain other forms of "pneumonitis"].
Ter Arkh. 1974;46(12):105-11.
9
Desquamative interstitial pneumonia responsive to chloroquine.对氯喹有反应的脱屑性间质性肺炎
Clin Pediatr (Phila). 1985 Apr;24(4):230-2. doi: 10.1177/000992288502400413.
10
Desquamative interstitial pneumonia.脱屑性间质性肺炎
Ann Clin Lab Sci. 1973 Nov-Dec;3(6):399-406.

引用本文的文献

1
Cigarette Smoke Particle-Induced Lung Injury and Iron Homeostasis.香烟烟雾颗粒诱导的肺损伤与铁稳态
Int J Chron Obstruct Pulmon Dis. 2022 Jan 12;17:117-140. doi: 10.2147/COPD.S337354. eCollection 2022.
2
Desquamative interstitial pneumonia: a systematic review of its features and outcomes.剥脱性间质性肺炎:特征和结局的系统综述。
Eur Respir Rev. 2020 Jun 23;29(156). doi: 10.1183/16000617.0181-2019. Print 2020 Jun 30.
3
Overlaps and uncertainties of smoking-related idiopathic interstitial pneumonias.吸烟相关的特发性间质性肺炎的重叠与不确定性。

本文引用的文献

1
A morphologic and cytochemical study on the great alveolar cell.关于肺泡大细胞的形态学和细胞化学研究。
J Histochem Cytochem. 1966 Dec;14(12):884-97. doi: 10.1177/14.12.884.
2
DESQUAMATIVE INTERSTITIAL PNEUMONIA.脱屑性间质性肺炎
Am J Med. 1965 Sep;39:369-404. doi: 10.1016/0002-9343(65)90206-8.
3
THE RESPONSE OF THE HISTIOCYTES AND MACROPHAGES IN THE LUNGS OF RABBITS INJECTED WITH FREUND'S ADJUVANT.注射弗氏佐剂的家兔肺部组织细胞和巨噬细胞的反应
Int J Chron Obstruct Pulmon Dis. 2017 Nov 1;12:3221-3229. doi: 10.2147/COPD.S146899. eCollection 2017.
4
Imaging of macrophage-related lung diseases.巨噬细胞相关肺部疾病的影像学
Eur Radiol. 2005 Apr;15(4):727-41. doi: 10.1007/s00330-004-2554-3. Epub 2005 Jan 5.
5
Pulmonary and generalized lysosomal storage induced by amphiphilic drugs.两亲性药物诱导的肺部和全身性溶酶体贮积症
Environ Health Perspect. 1984 Apr;55:53-76. doi: 10.1289/ehp.845553.
6
Electron microscopic studies in desquamative interstitial pneumonia associated with asbestos.与石棉相关的脱屑性间质性肺炎的电子显微镜研究。
Thorax. 1972 May;27(3):324-31. doi: 10.1136/thx.27.3.324.
7
Desquamative interstitial pneumonia: relationship to interstitial fibrosis.脱屑性间质性肺炎:与肺间质纤维化的关系
Thorax. 1973 Nov;28(6):680-93. doi: 10.1136/thx.28.6.680.
8
Alcohol-induced pulmonary changes in rats.酒精诱导的大鼠肺部变化。
Experientia. 1975 May 15;31(5):573-5. doi: 10.1007/BF01932465.
9
Oxygen toxicity in the newborn. The effect of chronic continuous 100 percent oxygen exposure on the lungs of newborn mice.新生儿氧中毒。慢性持续暴露于100%氧气对新生小鼠肺部的影响。
Am J Pathol. 1976 Dec;85(3):623-50.
10
Prognosis of cryptogenic fibrosing alveolitis.隐源性纤维性肺泡炎的预后
Br Med J. 1978 Sep 23;2(6141):849-50. doi: 10.1136/bmj.2.6141.849.
Br J Exp Pathol. 1964 Oct;45(5):488-97.
4
RECOGNITION OF DISTINCTIVE RADIOLOGIC PATTERNS IN DIFFUSE PULMONARY DISEASE.弥漫性肺疾病中特征性影像学表现的识别
Arch Intern Med. 1964 Jul;114:108-12. doi: 10.1001/archinte.1964.03860070154020.
5
The ultrastructure of mouse lung; general architecture of capillary and alveolar walls.小鼠肺的超微结构;毛细血管和肺泡壁的总体结构。
J Biophys Biochem Cytol. 1956 May 25;2(3):241-52. doi: 10.1083/jcb.2.3.241.
6
Desquamative interstitial pneumonia.脱屑性间质性肺炎
N Engl J Med. 1966 Jan 20;274(3):113-28. doi: 10.1056/NEJM196601202740301.
7
Desquamative interstitial pneumonia: report of a case and review of the literature.脱屑性间质性肺炎:一例报告并文献复习
Dis Chest. 1968 Apr;53(4):511-6.
8
The demonstration of acid hydrolase activities in the inclusion bodies of type II alveolar cells and other lysosomes in the rabbit lung.兔肺中II型肺泡细胞及其他溶酶体包涵体内酸性水解酶活性的证明。
J Histochem Cytochem. 1968 Feb;16(2):102-9. doi: 10.1177/16.2.102.
9
The blood-air barrier in desquamative interstitial pneumonia (D.I.P.).脱屑性间质性肺炎(D.I.P.)中的气血屏障
Virchows Arch A Pathol Pathol Anat. 1969;348(2):117-30. doi: 10.1007/BF00544319.
10
Desquamative interstitial pneumonia-like syndrome in rabbits. Produced experimentally by Freund's adjuvant.
Arch Pathol. 1967 Jul;84(1):54-8.