Suppr超能文献

剥脱性间质性肺炎:特征和结局的系统综述。

Desquamative interstitial pneumonia: a systematic review of its features and outcomes.

机构信息

Dept of Interstitial Lung Disease, Erasmus Medical Center, Rotterdam, The Netherlands.

This centre is a member of the European Reference Network for Rare Lung Diseases/Interstitial Lung Diseases (ERN-LUNG ILD).

出版信息

Eur Respir Rev. 2020 Jun 23;29(156). doi: 10.1183/16000617.0181-2019. Print 2020 Jun 30.

Abstract

BACKGROUND

Desquamative Interstitial Pneumonia (DIP) is a rare form of idiopathic interstitial pneumonia (IIP). Data on clinical features, aetiology, prognosis and effect of treatment strategies are limited. We aimed to collect all published cases to better characterise DIP.

METHODS

A systematic literature search was performed for all original cases of adult patients with histopathologically-confirmed DIP. Individual patient data were extracted and summarised.

RESULTS

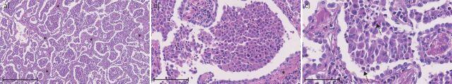
We included 68 individual cases and 13 case series reporting on 294 cases. Most common presenting symptoms were dyspnoea and cough. Pulmonary function showed a restrictive pattern (71%) with decreased diffusion capacity. We found a high incidence (81%) of ever smoking in patients with DIP and 22% of patients had other (occupational) exposures. Characteristic features on high-resolution computed tomography (HRCT) scan were bilateral ground-glass opacities with lower lobe predominance (92%). Treatment and duration of treatment widely varied. Initial response to treatment was generally good, but definitely not uniformly so. A significant proportion of patients died (25% of individual cases) or experienced a relapse (18% of individual cases).

CONCLUSION

DIP remains an uncommon disease, frequently but not always related to smoking or other exposures. Furthermore, DIP behaves as a progressive disease more often than generally thought, possibly associated with different underlying aetiology.

摘要

背景

脱屑性间质性肺炎(DIP)是一种罕见的特发性间质性肺炎(IIP)形式。关于其临床特征、病因、预后和治疗策略效果的数据有限。我们旨在收集所有已发表的病例,以更好地描述 DIP。

方法

对所有经组织病理学证实为成人 DIP 的患者的原始病例进行了系统的文献检索。提取并总结了个体患者的数据。

结果

我们纳入了 68 例个体病例和 13 例报道了 294 例病例的病例系列研究。最常见的首发症状是呼吸困难和咳嗽。肺功能表现为限制模式(71%),弥散能力下降。我们发现 DIP 患者中有高吸烟率(81%),22%的患者有其他(职业)暴露。高分辨率计算机断层扫描(HRCT)上的特征性表现为双侧磨玻璃影,下叶为主(92%)。治疗和治疗持续时间差异很大。初始治疗反应通常良好,但并非完全如此。相当一部分患者死亡(25%的个体病例)或复发(18%的个体病例)。

结论

DIP 仍然是一种罕见疾病,通常但并非总是与吸烟或其他暴露有关。此外,DIP 表现为进行性疾病的情况比普遍认为的更为常见,可能与不同的潜在病因有关。

https://cdn.ncbi.nlm.nih.gov/pmc/blobs/bdac/9488565/45b16c6bef0a/ERR-0181-2019.01.jpg

文献AI研究员

20分钟写一篇综述,助力文献阅读效率提升50倍。

立即体验

用中文搜PubMed

大模型驱动的PubMed中文搜索引擎

马上搜索

文档翻译

学术文献翻译模型,支持多种主流文档格式。

立即体验