• 文献检索
  • 文档翻译
  • 深度研究
  • 学术资讯
  • Suppr Zotero 插件Zotero 插件
  • 邀请有礼
  • 套餐&价格
  • 历史记录
应用&插件
Suppr Zotero 插件Zotero 插件浏览器插件Mac 客户端Windows 客户端微信小程序
定价
高级版会员购买积分包购买API积分包
服务
文献检索文档翻译深度研究API 文档MCP 服务
关于我们
关于 Suppr公司介绍联系我们用户协议隐私条款
关注我们

Suppr 超能文献

核心技术专利:CN118964589B侵权必究
粤ICP备2023148730 号-1Suppr @ 2026

文献检索

告别复杂PubMed语法,用中文像聊天一样搜索,搜遍4000万医学文献。AI智能推荐,让科研检索更轻松。

立即免费搜索

文件翻译

保留排版,准确专业,支持PDF/Word/PPT等文件格式,支持 12+语言互译。

免费翻译文档

深度研究

AI帮你快速写综述,25分钟生成高质量综述,智能提取关键信息,辅助科研写作。

立即免费体验

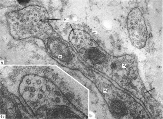
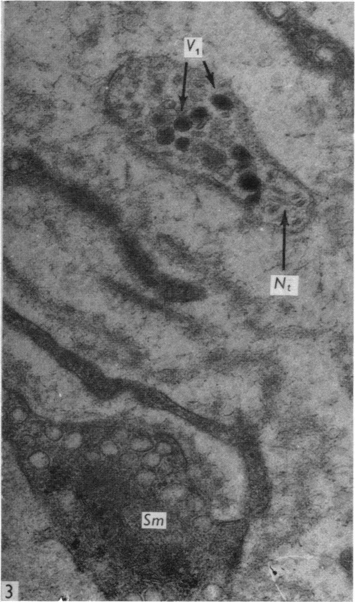
Fine structural study of the terminal effecror plexus, neuromuscular and intermuscular relationships in the pulmonary artery.

作者信息

Verity M A, Bevan J A

出版信息

J Anat. 1968 Jun;103(Pt 1):49-63.

PMID:5691966
原文链接:https://pmc.ncbi.nlm.nih.gov/articles/PMC1231874/
Abstract
摘要
https://cdn.ncbi.nlm.nih.gov/pmc/blobs/00f6/1231874/ba78fc5d804d/janat00402-0063-c.jpg
https://cdn.ncbi.nlm.nih.gov/pmc/blobs/00f6/1231874/c0cee8324ef0/janat00402-0057-a.jpg
https://cdn.ncbi.nlm.nih.gov/pmc/blobs/00f6/1231874/17c694c31d87/janat00402-0057-b.jpg
https://cdn.ncbi.nlm.nih.gov/pmc/blobs/00f6/1231874/36452be54e00/janat00402-0057-c.jpg
https://cdn.ncbi.nlm.nih.gov/pmc/blobs/00f6/1231874/d5148d9451d6/janat00402-0059-a.jpg
https://cdn.ncbi.nlm.nih.gov/pmc/blobs/00f6/1231874/8aa37069c4ac/janat00402-0059-b.jpg
https://cdn.ncbi.nlm.nih.gov/pmc/blobs/00f6/1231874/76ef052bc330/janat00402-0061-a.jpg
https://cdn.ncbi.nlm.nih.gov/pmc/blobs/00f6/1231874/0225bed18959/janat00402-0061-b.jpg
https://cdn.ncbi.nlm.nih.gov/pmc/blobs/00f6/1231874/1591ab33663f/janat00402-0061-c.jpg
https://cdn.ncbi.nlm.nih.gov/pmc/blobs/00f6/1231874/09e638edc11b/janat00402-0063-a.jpg
https://cdn.ncbi.nlm.nih.gov/pmc/blobs/00f6/1231874/0dbcc3404958/janat00402-0063-b.jpg
https://cdn.ncbi.nlm.nih.gov/pmc/blobs/00f6/1231874/ba78fc5d804d/janat00402-0063-c.jpg
https://cdn.ncbi.nlm.nih.gov/pmc/blobs/00f6/1231874/c0cee8324ef0/janat00402-0057-a.jpg
https://cdn.ncbi.nlm.nih.gov/pmc/blobs/00f6/1231874/17c694c31d87/janat00402-0057-b.jpg
https://cdn.ncbi.nlm.nih.gov/pmc/blobs/00f6/1231874/36452be54e00/janat00402-0057-c.jpg
https://cdn.ncbi.nlm.nih.gov/pmc/blobs/00f6/1231874/d5148d9451d6/janat00402-0059-a.jpg
https://cdn.ncbi.nlm.nih.gov/pmc/blobs/00f6/1231874/8aa37069c4ac/janat00402-0059-b.jpg
https://cdn.ncbi.nlm.nih.gov/pmc/blobs/00f6/1231874/76ef052bc330/janat00402-0061-a.jpg
https://cdn.ncbi.nlm.nih.gov/pmc/blobs/00f6/1231874/0225bed18959/janat00402-0061-b.jpg
https://cdn.ncbi.nlm.nih.gov/pmc/blobs/00f6/1231874/1591ab33663f/janat00402-0061-c.jpg
https://cdn.ncbi.nlm.nih.gov/pmc/blobs/00f6/1231874/09e638edc11b/janat00402-0063-a.jpg
https://cdn.ncbi.nlm.nih.gov/pmc/blobs/00f6/1231874/0dbcc3404958/janat00402-0063-b.jpg
https://cdn.ncbi.nlm.nih.gov/pmc/blobs/00f6/1231874/ba78fc5d804d/janat00402-0063-c.jpg

相似文献

1
Fine structural study of the terminal effecror plexus, neuromuscular and intermuscular relationships in the pulmonary artery.肺动脉终末效应器丛、神经肌肉及肌间关系的超微结构研究
J Anat. 1968 Jun;103(Pt 1):49-63.
2
A light and electron microscopic study of the innervation of pulmonary arteries in the cat.猫肺动脉神经支配的光镜和电镜研究。
Anat Rec. 1981 Nov;201(3):513-21. doi: 10.1002/ar.1092010308.
3
[Histological observations on the relationships between the intrinsic innervation and the excitability of the smooth muscle in the stomach].[关于胃内固有神经支配与平滑肌兴奋性之间关系的组织学观察]
Nihon Heikatsukin Gakkai Zasshi. 1971 Sep;7(3):105-17. doi: 10.1540/jsmr1965.7.105.
4
[Recent data on the ultrastructure and innervation of gastrointestinal smooth muscle].[胃肠道平滑肌超微结构与神经支配的最新数据]
Presse Med (1893). 1968 Feb 10;76(7):319-21.
5
Sympathetic mechanisms in blood vessels: nerve and muscle relationships.血管中的交感神经机制:神经与肌肉的关系。
Annu Rev Pharmacol. 1973;13:269-85. doi: 10.1146/annurev.pa.13.040173.001413.
6
The fine structure of vascular sympathetic neuromuscular contacts in the rat.大鼠血管交感神经肌肉接触的精细结构
Am J Anat. 1967 Jul;121(1):153-73. doi: 10.1002/aja.1001210110.
7
Nerve endings in the urinary bladder of the cat.猫膀胱中的神经末梢。
J Comp Neurol. 1969 May;136(1):1-20. doi: 10.1002/cne.901360102.
8
Post-natal development of the innervation of the mouse vas deferens. A fine structural study.小鼠输精管神经支配的产后发育。一项超微结构研究。
J Anat. 1969 Jan;104(Pt 1):17-32.
9
Some observations on the innervation of the striated muscle in the mouse oesophagus--an electron microscopy study.小鼠食管横纹肌神经支配的一些观察——一项电子显微镜研究。
J Anat. 1972 Jul;112(Pt 2):173-84.
10
The fine structure of the smooth muscle in the hypobranchial gland of the gastropod Buccinum undatum L.
Tissue Cell. 1972;4(3):479-92. doi: 10.1016/s0040-8166(72)80024-7.

引用本文的文献

1
Beyond medications: is pulmonary artery denervation the answer for pulmonary arterial hypertension?: PADN for PAH.药物治疗之外:肺动脉去神经支配是肺动脉高压的答案吗?:用于肺动脉高压的肺动脉去神经支配术
AsiaIntervention. 2022 Mar;8(1):14-15. doi: 10.4244/AIJ-E-22-00001. Epub 2022 Mar 15.
2
Hemodynamic, functional, and clinical responses to pulmonary artery denervation in patients with pulmonary arterial hypertension of different causes: phase II results from the Pulmonary Artery Denervation-1 study.不同病因肺动脉高压患者对肺动脉去神经支配的血流动力学、功能及临床反应:肺动脉去神经支配-1研究的II期结果
Circ Cardiovasc Interv. 2015 Nov;8(11):e002837. doi: 10.1161/CIRCINTERVENTIONS.115.002837.
3

本文引用的文献

1
Electron microscopic observations on the structure of the rat adrenal medulla: II. Normal innervation.大鼠肾上腺髓质结构的电子显微镜观察:II. 正常神经支配
J Anat. 1965 Apr;99(Pt 2):255-72.
2
Fine structure of vascular walls in mammals with special reference to smooth muscle component.哺乳动物血管壁的精细结构,特别涉及平滑肌成分。
Physiol Rev Suppl. 1962 Jul;5:48-87.
3
Fine structure of the arteriolar nerves in the guinea pig pancreas.豚鼠胰腺小动脉神经的精细结构
The adventitia: Essential role in pulmonary vascular remodeling.
中膜:肺血管重构中的重要作用。
Compr Physiol. 2011 Jan;1(1):141-61. doi: 10.1002/cphy.c090017.
4
Structure and composition of pulmonary arteries, capillaries, and veins.肺动、静脉的结构和组成。
Compr Physiol. 2012 Jan;2(1):675-709. doi: 10.1002/cphy.c100081.
5
Nexuses between areas of the surface membrane of the same arterial smooth muscle cell.同一动脉平滑肌细胞膜表面区域之间的连接
J Cell Biol. 1971 May 1;49(2):521-5. doi: 10.1083/jcb.49.2.521.
6
Ultrastructure of sympathetic axons and their structural relationship with vascular smooth muscle.交感神经轴突的超微结构及其与血管平滑肌的结构关系。
Anat Embryol (Berl). 1996 Jun;193(6):515-31. doi: 10.1007/BF00187924.
7
Autoradiographic localization of dopamine D2-like receptors in the rabbit pulmonary vascular tree.多巴胺 D2 样受体在兔肺血管树中的放射自显影定位。
Naunyn Schmiedebergs Arch Pharmacol. 1994 Jun;349(6):559-64. doi: 10.1007/BF01258459.
8
Cell membrane features of rabbit arterial smooth muscle. A freeze-fracture study.兔动脉平滑肌的细胞膜特征。一项冷冻蚀刻研究。
Cell Tissue Res. 1980;212(2):341-50. doi: 10.1007/BF00233966.
9
Smooth muscle cells in 'venous patches'grafted into the rat common carotid artery. A structural study.
Experientia. 1982 Jan 15;38(1):122-4. doi: 10.1007/BF01944565.
10
Vein to artery grafts. An experimental study of reinnervation of the graft wall.静脉-动脉移植。移植血管壁再神经支配的实验研究。
Ann Surg. 1984 Aug;200(2):153-8. doi: 10.1097/00000658-198408000-00006.
Nature. 1961 Nov 11;192:566-7. doi: 10.1038/192566a0.
4
Simple methods for "staining with lead" at high pH in electron microscopy.电子显微镜中在高pH值下“铅染色”的简单方法。
J Biophys Biochem Cytol. 1961 Dec;11(3):729-32. doi: 10.1083/jcb.11.3.729.
5
Electron microscopy of elastic arteries; the thoracic aorta of the rat.弹性动脉的电子显微镜检查;大鼠胸主动脉
J Ultrastruct Res. 1960 Jun;3:469-83. doi: 10.1016/s0022-5320(60)90023-x.
6
Electron microscopy of muscular arteries; pial vessels of43 the cat and monkey.猫和猴的肌性动脉及软脑膜血管的电子显微镜检查
J Ultrastruct Res. 1960 Jun;3:447-68. doi: 10.1016/s0022-5320(60)90022-8.
7
Electron microscope study of the normal rat aorta.正常大鼠主动脉的电子显微镜研究。
J Biophys Biochem Cytol. 1960 Jun;7(3):533-8. doi: 10.1083/jcb.7.3.533.
8
CORRELATION BETWEEN CATECHOLAMINE CONTENT AND NUMBERS OF GRANULATED VESICLES IN RABBIT HYPOTHALAMUS.家兔下丘脑儿茶酚胺含量与颗粒小泡数量的相关性
Biochem Pharmacol. 1965 Feb;14:183-4. doi: 10.1016/0006-2952(65)90076-6.
9
THE VESICULATED AXONS IN RELATION TO ARTERIOLAR SMOOTH MUSCLE IN THE PANCREAS. A FINE STUCTURAL AND QUANTITATIVE STUDY.胰腺中与小动脉平滑肌相关的空泡化轴突。一项精细结构和定量研究。
J Anat. 1965 Apr;99(Pt 2):299-313.
10
SYNAPTIC VESICLES FROM THE RAT HYPOTHALMUS. ISOLATION AND NOREPINEPHRINE CONTENT.来自大鼠下丘脑的突触小泡。分离及去甲肾上腺素含量
Life Sci (1962). 1965 Jan;4:193-201. doi: 10.1016/0024-3205(65)90119-0.