Suppr超能文献

风疹病毒在BHK - 21细胞中发育的微观形态学特征

Micromorphological aspects of the development of rubella virus in BHK-21 cells.

作者信息

Edwards M R, Cohen S M, Bruno M, Deibel R

出版信息

J Virol. 1969 Apr;3(4):439-44. doi: 10.1128/JVI.3.4.439-444.1969.

Abstract

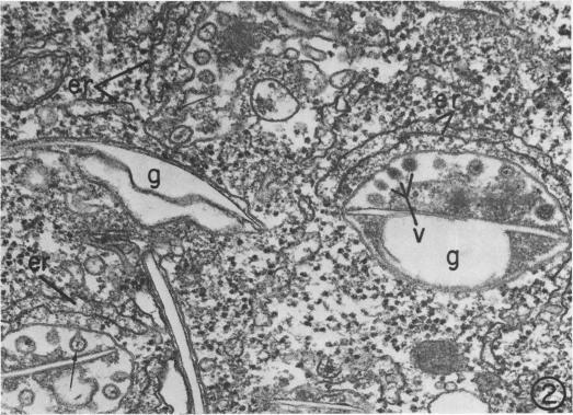
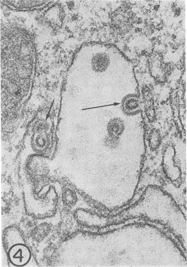
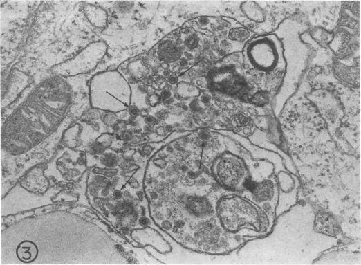
Sequential effects of rubella virus infection in BHK-21 cells were studied by electron microscopy of thin sections of control and infected cells, 2 to 7 days after infection. Vacuolization of cytoplasm in Golgi areas apparently preceded budding of virions from vacuole membranes and involvement of the endoplasmic reticulum. Newly formed endoplasmic reticulum cisternae encircled and segregated virionforming vacuoles together with other cellular elements. Large vacuolar complexes with numerous virus particles developed, and virus release from these areas occurred with disruption at the cell periphery. The viral particles, with a mean diameter of about 56 nm, consisted of an electron-dense core surrounded by a less dense capsid, enveloped by a typical unit membrane derived from the vacuole membrane.

摘要

通过对感染后2至7天的对照细胞和感染细胞的超薄切片进行电子显微镜观察,研究了风疹病毒在BHK - 21细胞中的连续效应。高尔基体区域细胞质的空泡化显然先于病毒粒子从液泡膜出芽以及内质网的参与。新形成的内质网池与其他细胞成分一起包围并分隔形成病毒粒子的液泡。形成了含有大量病毒颗粒的大液泡复合体,病毒从这些区域释放时细胞周边会发生破裂。病毒粒子的平均直径约为56纳米,由一个电子致密的核心和一个密度较低的衣壳组成,被源自液泡膜的典型单位膜包裹。

https://cdn.ncbi.nlm.nih.gov/pmc/blobs/9192/375789/02b9c3e2f6b1/jvirol00304-0079-a.jpg

文献检索

告别复杂PubMed语法,用中文像聊天一样搜索,搜遍4000万医学文献。AI智能推荐,让科研检索更轻松。

立即免费搜索

文件翻译

保留排版,准确专业,支持PDF/Word/PPT等文件格式,支持 12+语言互译。

免费翻译文档

深度研究

AI帮你快速写综述,25分钟生成高质量综述,智能提取关键信息,辅助科研写作。

立即免费体验