• 文献检索
  • 文档翻译
  • 深度研究
  • 学术资讯
  • Suppr Zotero 插件Zotero 插件
  • 邀请有礼
  • 套餐&价格
  • 历史记录
应用&插件
Suppr Zotero 插件Zotero 插件浏览器插件Mac 客户端Windows 客户端微信小程序
定价
高级版会员购买积分包购买API积分包
服务
文献检索文档翻译深度研究API 文档MCP 服务
关于我们
关于 Suppr公司介绍联系我们用户协议隐私条款
关注我们

Suppr 超能文献

核心技术专利:CN118964589B侵权必究
粤ICP备2023148730 号-1Suppr @ 2026

文献检索

告别复杂PubMed语法,用中文像聊天一样搜索,搜遍4000万医学文献。AI智能推荐,让科研检索更轻松。

立即免费搜索

文件翻译

保留排版,准确专业,支持PDF/Word/PPT等文件格式,支持 12+语言互译。

免费翻译文档

深度研究

AI帮你快速写综述,25分钟生成高质量综述,智能提取关键信息,辅助科研写作。

立即免费体验

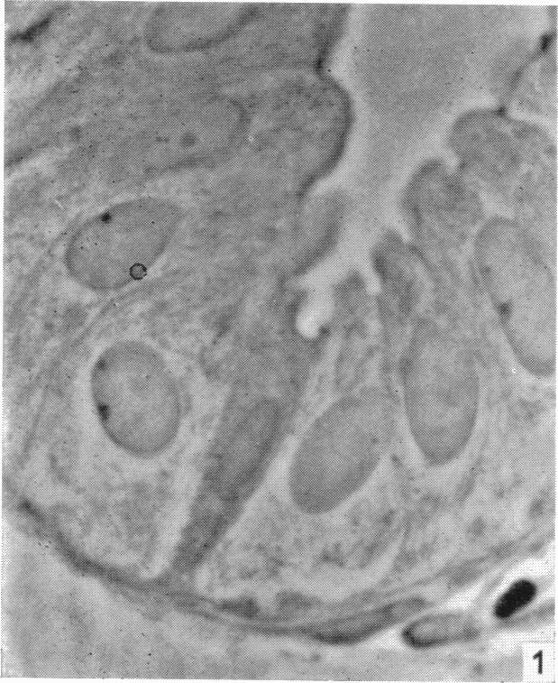
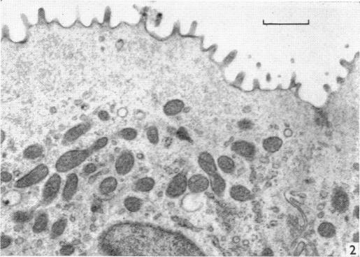
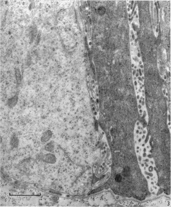
An electron microscopic study of developing gall bladder epithelium in the rabbit.

作者信息

Hayward A F

出版信息

J Anat. 1966 Apr;100(Pt 2):245-59.

PMID:5954781
原文链接:https://pmc.ncbi.nlm.nih.gov/articles/PMC1270734/
Abstract
摘要
https://cdn.ncbi.nlm.nih.gov/pmc/blobs/81fd/1270734/08ad8249464e/janat00414-0042-b.jpg
https://cdn.ncbi.nlm.nih.gov/pmc/blobs/81fd/1270734/3c11b62f516e/janat00414-0034-a.jpg
https://cdn.ncbi.nlm.nih.gov/pmc/blobs/81fd/1270734/4762e0fea511/janat00414-0034-b.jpg
https://cdn.ncbi.nlm.nih.gov/pmc/blobs/81fd/1270734/8ddfba834884/janat00414-0034-c.jpg
https://cdn.ncbi.nlm.nih.gov/pmc/blobs/81fd/1270734/c37eac6f2e3e/janat00414-0036-a.jpg
https://cdn.ncbi.nlm.nih.gov/pmc/blobs/81fd/1270734/220a986ae655/janat00414-0037-a.jpg
https://cdn.ncbi.nlm.nih.gov/pmc/blobs/81fd/1270734/fe2fbffc5471/janat00414-0038-a.jpg
https://cdn.ncbi.nlm.nih.gov/pmc/blobs/81fd/1270734/d185d7869e8c/janat00414-0038-b.jpg
https://cdn.ncbi.nlm.nih.gov/pmc/blobs/81fd/1270734/39f986bdb764/janat00414-0040-a.jpg
https://cdn.ncbi.nlm.nih.gov/pmc/blobs/81fd/1270734/4dbbab0b382f/janat00414-0041-a.jpg
https://cdn.ncbi.nlm.nih.gov/pmc/blobs/81fd/1270734/72cdbe4bad0f/janat00414-0042-a.jpg
https://cdn.ncbi.nlm.nih.gov/pmc/blobs/81fd/1270734/08ad8249464e/janat00414-0042-b.jpg
https://cdn.ncbi.nlm.nih.gov/pmc/blobs/81fd/1270734/3c11b62f516e/janat00414-0034-a.jpg
https://cdn.ncbi.nlm.nih.gov/pmc/blobs/81fd/1270734/4762e0fea511/janat00414-0034-b.jpg
https://cdn.ncbi.nlm.nih.gov/pmc/blobs/81fd/1270734/8ddfba834884/janat00414-0034-c.jpg
https://cdn.ncbi.nlm.nih.gov/pmc/blobs/81fd/1270734/c37eac6f2e3e/janat00414-0036-a.jpg
https://cdn.ncbi.nlm.nih.gov/pmc/blobs/81fd/1270734/220a986ae655/janat00414-0037-a.jpg
https://cdn.ncbi.nlm.nih.gov/pmc/blobs/81fd/1270734/fe2fbffc5471/janat00414-0038-a.jpg
https://cdn.ncbi.nlm.nih.gov/pmc/blobs/81fd/1270734/d185d7869e8c/janat00414-0038-b.jpg
https://cdn.ncbi.nlm.nih.gov/pmc/blobs/81fd/1270734/39f986bdb764/janat00414-0040-a.jpg
https://cdn.ncbi.nlm.nih.gov/pmc/blobs/81fd/1270734/4dbbab0b382f/janat00414-0041-a.jpg
https://cdn.ncbi.nlm.nih.gov/pmc/blobs/81fd/1270734/72cdbe4bad0f/janat00414-0042-a.jpg
https://cdn.ncbi.nlm.nih.gov/pmc/blobs/81fd/1270734/08ad8249464e/janat00414-0042-b.jpg

相似文献

1
An electron microscopic study of developing gall bladder epithelium in the rabbit.家兔胆囊上皮发育的电子显微镜研究。
J Anat. 1966 Apr;100(Pt 2):245-59.
2
The reactions of rabbit gall bladder epithelium to electron microscopic stainings for carbohydrates with 1,2-glycol groupings.
Acta Histochem. 1976;56(1):156-69. doi: 10.1016/S0065-1281(76)80036-0.
3
Acid mucosaccharide-containing structures in the gall bladder epithelium of the rabbit as seen with the electron microscope.用电镜观察兔胆囊上皮中含酸性粘多糖的结构
Histochemistry. 1974 Jun 5;39(4):351-60. doi: 10.1007/BF00495686.
4
Primary culture of bovine gall bladder epithelial cells.牛胆囊上皮细胞的原代培养。
Gut. 1993 Nov;34(11):1612-5. doi: 10.1136/gut.34.11.1612.
5
[The development of the guinea pig gallbladder epithelial cells. I. Light microscopical and carbohydrate-histochemical investigations (author's transl)].[豚鼠胆囊上皮细胞的发育。I. 光学显微镜和碳水化合物组织化学研究(作者译)]
Histochemistry. 1975 Dec 8;45(3):177-90. doi: 10.1007/BF00507693.
6
[Fine structure of gall bladder and biliary ducts. I. The epithelium of the mouse gall bladder].[胆囊和胆管的精细结构。I. 小鼠胆囊的上皮]
Z Zellforsch Mikrosk Anat. 1972;135(1):87-102.
7
Electron microscopic study of the development of the mouse corneal epithelium.小鼠角膜上皮发育的电子显微镜研究
Invest Ophthalmol. 1971 Nov;10(11):811-25.
8
Cation permeation mechanisms and cation selectivity in "tight junctions" of gallbladder epithelium.胆囊上皮“紧密连接”中的阳离子渗透机制及阳离子选择性
Membranes. 1975;3:383-497.
9
Defective development of the gall bladder and cystic duct in Lgr4- hypomorphic mice.Lgr4基因低表达小鼠胆囊和胆囊管的发育缺陷
Dev Dyn. 2009 Apr;238(4):993-1000. doi: 10.1002/dvdy.21900.
10
A combined scanning and transmission electron microscopic study of alveolar epithelial development of the fetal rabbit lung.胎兔肺肺泡上皮发育的扫描电镜与透射电镜联合研究
Am J Pathol. 1973 Nov;73(2):365-76.

引用本文的文献

1
Changes in fine structure of developing intestinal epithelium associated with pinocytosis.与胞饮作用相关的发育中肠上皮细胞精细结构的变化。
J Anat. 1967 Nov;102(Pt 1):57-70.
2
Apical surface of the epithelial cells in the gallbladder of the rainbow trout and the tench.虹鳟鱼和丁鱥胆囊上皮细胞的顶面。
Cell Tissue Res. 1982;224(2):449-54. doi: 10.1007/BF00216886.
3
Anatomical and immunological responses of rabbit gallbladders to bacterial infections.兔胆囊对细菌感染的解剖学和免疫学反应。

本文引用的文献

1
The ultrastructure of the gall-bladder epithelium of the dog.狗胆囊上皮的超微结构
J Anat. 1962 Oct;96(Pt 4):477-87.
2
Cell death in chick embryos as studied by electron microscopy.通过电子显微镜研究鸡胚中的细胞死亡。
J Anat. 1961 Jan;95(Pt 1):54-60.3.
3
Electron microscope studies of the structure of the microvilli on principal epithelial cells of rat jejunum after treatment in hypo- and hypertonic saline.对大鼠空肠主要上皮细胞微绒毛结构在低渗和高渗盐溶液处理后的电子显微镜研究。
Infect Immun. 1982 Apr;36(1):407-16. doi: 10.1128/iai.36.1.407-416.1982.
4
Morphology of canine gallbladder. Scanning electron microscope observations on the epithelium.犬胆囊的形态学。上皮的扫描电子显微镜观察。
Cell Tissue Res. 1983;233(1):161-74. doi: 10.1007/BF00222240.
5
Some observations on the fine structure of light and dark cells in the gall bladder epithelium of the mouse.对小鼠胆囊上皮中明细胞和暗细胞精细结构的一些观察。
Z Zellforsch Mikrosk Anat. 1968;84(4):463-72. doi: 10.1007/BF00320862.
6
Acid mucosaccharide-containing structures in the gall bladder epithelium of the rabbit as seen with the electron microscope.用电镜观察兔胆囊上皮中含酸性粘多糖的结构
Histochemistry. 1974 Jun 5;39(4):351-60. doi: 10.1007/BF00495686.
7
Scanning and transmission electron microscope observations on human gallbladder epithelium. II. Foetal development.人体胆囊上皮的扫描电镜和透射电镜观察。II. 胎儿发育
Z Anat Entwicklungsgesch. 1972;136(3):326-35. doi: 10.1007/BF00522620.
8
Histochemistry of mucosubstances in the gallbladder epithelium of the chick embryo.鸡胚胆囊上皮中黏液物质的组织化学
Histochemistry. 1988;88(3-6):519-24. doi: 10.1007/BF00570319.
9
[The development of the guinea pig gallbladder epithelial cells. II. Electron microscopical and enzymhistochemical investigations (author's transl)].[豚鼠胆囊上皮细胞的发育。II. 电子显微镜和酶组织化学研究(作者译)]
Histochemistry. 1975 Aug 28;44(3):253-75. doi: 10.1007/BF00491495.
J Cell Biol. 1962 Jul;14(1):125-39. doi: 10.1083/jcb.14.1.125.
4
An electron microscope study of the early effects of 3'-Me-DAB on rat liver cells.3'-甲基二乙基亚硝胺对大鼠肝细胞早期影响的电子显微镜研究。
Cancer Res. 1959 Nov;19:997-1009.
5
Cytological observations on the epithelium of the gallbladder in urodele amphibian Triturus pyrrhogaster.
Okajimas Folia Anat Jpn. 1954 Nov;26(5-6):327-33. doi: 10.2535/ofaj1936.26.5-6_327.
6
THE FINE STRUCTURE OF THE GALL BLADDER EPITHELIUM OF THE SHEEP.绵羊胆囊上皮的精细结构
Z Zellforsch Mikrosk Anat. 1965 Jan 22;65:331-9. doi: 10.1007/BF00345634.
7
DEMONSTRATION OF ACID PHOSPHATASE-CONTAINING GRANULES AND CYTOPLASMIC BODIES IN THE EPITHELIUM OF FOETAL RAT DUODENUM DURING CERTAIN STAGES OF DIFFERENTIATION.在分化的某些阶段,胎鼠十二指肠上皮中含酸性磷酸酶颗粒和细胞质体的显示
J Cell Biol. 1963 Aug;18(2):251-65. doi: 10.1083/jcb.18.2.251.
8
Chemocytological observations on two peculiar epithelial cell types in the gall bladders of laboratory rodents.对实验用啮齿动物胆囊中两种特殊上皮细胞类型的化学细胞学观察。
Z Zellforsch Mikrosk Anat. 1962;56:180-7. doi: 10.1007/BF00325112.
9
Electron microscopic study of adipose tissue (fat organs) with special reference to the transport of lipids between blood and fat cells.脂肪组织(脂肪器官)的电子显微镜研究,特别涉及血液与脂肪细胞之间脂质的转运。
Z Zellforsch Mikrosk Anat. 1963;59:326-57. doi: 10.1007/BF00339791.
10
An electron microscopic study of early cytoplasmic alterations in hepatic parenchymal cells of mouse liver during necrosis in vitro (autolysis).体外坏死(自溶)过程中小鼠肝脏肝实质细胞早期细胞质变化的电子显微镜研究。
Lab Invest. 1962 Nov;11:986-1015.