• 文献检索
  • 文档翻译
  • 深度研究
  • 学术资讯
  • Suppr Zotero 插件Zotero 插件
  • 邀请有礼
  • 套餐&价格
  • 历史记录
应用&插件
Suppr Zotero 插件Zotero 插件浏览器插件Mac 客户端Windows 客户端微信小程序
定价
高级版会员购买积分包购买API积分包
服务
文献检索文档翻译深度研究API 文档MCP 服务
关于我们
关于 Suppr公司介绍联系我们用户协议隐私条款
关注我们

Suppr 超能文献

核心技术专利:CN118964589B侵权必究
粤ICP备2023148730 号-1Suppr @ 2026

文献检索

告别复杂PubMed语法,用中文像聊天一样搜索,搜遍4000万医学文献。AI智能推荐,让科研检索更轻松。

立即免费搜索

文件翻译

保留排版,准确专业,支持PDF/Word/PPT等文件格式,支持 12+语言互译。

免费翻译文档

深度研究

AI帮你快速写综述,25分钟生成高质量综述,智能提取关键信息,辅助科研写作。

立即免费体验

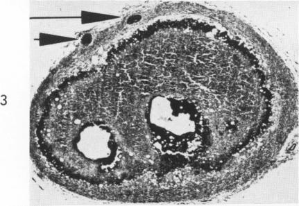
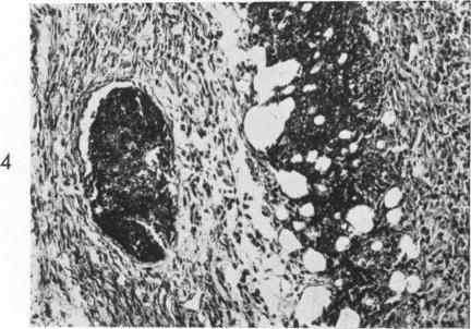
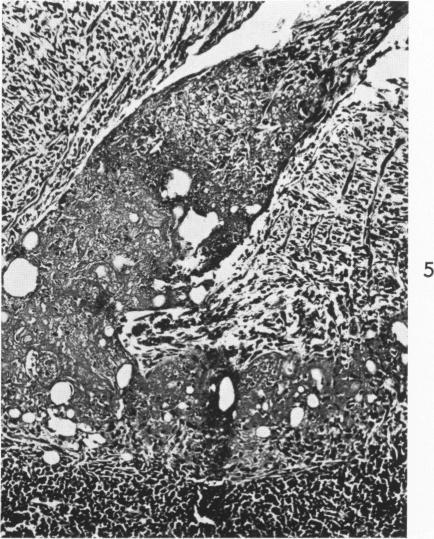
Hyperacute allergic encephalomyelitis. Lymphatic system as site of adjuvant effect of pertussis vaccine.

作者信息

Levine S, Wenk E J

出版信息

Am J Pathol. 1967 Mar;50(3):465-83.

PMID:6018674
原文链接:https://pmc.ncbi.nlm.nih.gov/articles/PMC1965277/
Abstract
摘要
https://cdn.ncbi.nlm.nih.gov/pmc/blobs/5228/1965277/15f1fa3c3664/amjpathol00268-0110-e.jpg
https://cdn.ncbi.nlm.nih.gov/pmc/blobs/5228/1965277/9fd2f4a0becd/amjpathol00268-0110-a.jpg
https://cdn.ncbi.nlm.nih.gov/pmc/blobs/5228/1965277/361a7868e40c/amjpathol00268-0110-b.jpg
https://cdn.ncbi.nlm.nih.gov/pmc/blobs/5228/1965277/3f9eebf35f27/amjpathol00268-0110-c.jpg
https://cdn.ncbi.nlm.nih.gov/pmc/blobs/5228/1965277/2a91491e6b9a/amjpathol00268-0110-d.jpg
https://cdn.ncbi.nlm.nih.gov/pmc/blobs/5228/1965277/15f1fa3c3664/amjpathol00268-0110-e.jpg
https://cdn.ncbi.nlm.nih.gov/pmc/blobs/5228/1965277/9fd2f4a0becd/amjpathol00268-0110-a.jpg
https://cdn.ncbi.nlm.nih.gov/pmc/blobs/5228/1965277/361a7868e40c/amjpathol00268-0110-b.jpg
https://cdn.ncbi.nlm.nih.gov/pmc/blobs/5228/1965277/3f9eebf35f27/amjpathol00268-0110-c.jpg
https://cdn.ncbi.nlm.nih.gov/pmc/blobs/5228/1965277/2a91491e6b9a/amjpathol00268-0110-d.jpg
https://cdn.ncbi.nlm.nih.gov/pmc/blobs/5228/1965277/15f1fa3c3664/amjpathol00268-0110-e.jpg

相似文献

1
Hyperacute allergic encephalomyelitis. Lymphatic system as site of adjuvant effect of pertussis vaccine.超急性变应性脑脊髓炎。作为百日咳疫苗佐剂作用部位的淋巴系统。
Am J Pathol. 1967 Mar;50(3):465-83.
2
INDUCTION OF EXPERIMENTAL ALLERGIC ENCEPHALOMYELITIS IN RATS WITHOUT THE AID OF ADJUVANT.无佐剂诱导大鼠实验性变应性脑脊髓炎
Ann N Y Acad Sci. 1965 Mar 31;122:209-26. doi: 10.1111/j.1749-6632.1965.tb20204.x.
3
The hyperacute form of allergic encephalomyelitis produced in rats without the aid of pertussis vaccine.在不借助百日咳疫苗的情况下在大鼠中产生的超急性型变应性脑脊髓炎。
J Neuropathol Exp Neurol. 1989 May;48(3):255-62. doi: 10.1097/00005072-198905000-00003.
4
[Adjuvant role of the lipopolysaccharide from Bordetella pertussis in the induction of experimental allergic encephalomyelitis. Induction of a subacute form in the rabbit and inhibition of this adjuvant effect].[百日咳博德特氏菌脂多糖在实验性变应性脑脊髓炎诱导中的佐剂作用。兔亚急性形式的诱导及这种佐剂效应的抑制]
Pathol Biol. 1968 Oct;16(19):853-8.
5
[ON THE EFFECT OF EXPERIMENTAL "ALLERGIC" ENCEPHALOMYELITIS ON THE RETICULOENDOTHELIAL SYSTEM].[关于实验性“过敏性”脑脊髓炎对网状内皮系统的影响]
Z Immunitats Allergieforsch. 1964 Mar;126:33-5.
6
Delayed, relapsing experimental allergic encephalomyelitis in mice. Role of adjuvants and pertussis vaccine.小鼠迟发性复发性实验性变应性脑脊髓炎。佐剂和百日咳疫苗的作用。
J Neurol Sci. 1982 Nov-Dec;57(1):105-10. doi: 10.1016/0022-510x(82)90114-9.
7
Allergic encephalomyelitis in the reputedly resistant Brown Norway strain of rats.在据称具有抗性的大鼠棕色挪威品系中发生的变应性脑脊髓炎。
J Immunol. 1975 Feb;114(2 Pt 1):597-601.
8
Experimental allergic encephalomyelitis in hamsters.仓鼠实验性变应性脑脊髓炎
Proc Soc Exp Biol Med. 1974 Jan;145(1):161-7. doi: 10.3181/00379727-145-37769.
9
ALLERGIC ENCEPHALOMYELITIS: A HYPERACUTE FORM.变应性脑脊髓炎:超急性型
Science. 1964 Dec 25;146(3652):1681-2. doi: 10.1126/science.146.3652.1681.
10
Experimental allergic encephalomyelitis in inbred and outbred mice.近交系和远交系小鼠的实验性变应性脑脊髓炎
J Immunol. 1973 Jan;110(1):139-43.

引用本文的文献

1
Exercise and brain health--implications for multiple sclerosis: Part II--immune factors and stress hormones.运动与大脑健康——对多发性硬化症的影响:第二部分——免疫因素与应激激素
Sports Med. 2008;38(3):179-86. doi: 10.2165/00007256-200838030-00001.
2
Experimental allergic encephalomyelitis. Inhibition of clinical signs and paradoxical enhancement of lesions in second attacks.实验性变应性脑脊髓炎。第二次发作时临床症状的抑制及病变的矛盾性增强。
Am J Pathol. 1980 Nov;101(2):375-86.
3
Enhancement of allergic encephalomyelitis by particulate adjuvants inoculated long before antigen.

本文引用的文献

1
Suppression of experimental allergic encephalomyelitis by stress.应激对实验性变应性脑脊髓炎的抑制作用。
Proc Soc Exp Biol Med. 1962 Feb;109:294-8. doi: 10.3181/00379727-109-27183.
2
Ascites in the rat produced by pertussis vaccine.百日咳疫苗所致大鼠腹水
Exp Mol Pathol. 1962 Apr;1:104-12. doi: 10.1016/0014-4800(62)90013-8.
3
Transfer of allergic encephalomyelitis in rats by means of lymph node cells.通过淋巴结细胞在大鼠中传播过敏性脑脊髓炎。
在抗原接种前很久接种颗粒佐剂对变应性脑脊髓炎的增强作用
Am J Pathol. 1980 May;99(2):291-304.
4
Allergic adrenalitis and encephalomyelitis produced by injection into lymph nodes.通过注射到淋巴结产生的变应性肾上腺炎和脑脊髓炎。
Clin Exp Immunol. 1969 Jan;4(1):177-8.
5
The production and passive transfer of allergic adrenalitis.变应性肾上腺炎的产生与被动转移
Am J Pathol. 1968 Jan;52(1):41-54.
6
[Lymphocyte transformation test with pertussis vaccine].[百日咳疫苗淋巴细胞转化试验]
Klin Wochenschr. 1971 Apr 15;49(8):501-3. doi: 10.1007/BF01485305.
7
Immunotherapy in acute leukaemia.急性白血病的免疫疗法
Br Med J. 1970 Mar 7;1(5696):628. doi: 10.1136/bmj.1.5696.628-a.
8
Reduction of allergic encephalomyelitis incubation period to five days.将变应性脑脊髓炎潜伏期缩短至五天。
Am J Pathol. 1969 Jul;56(1):97-109.
9
Hyperacute allergic encephalomyelitis. A localized form produced by passive transfer and pertussis vaccine.超急性变应性脑脊髓炎。一种由被动转移和百日咳疫苗引起的局限性形式。
Am J Pathol. 1973 Oct;73(1):247-60.
10
Inhibition of macrophage response to brain injury. A new effect of pertussis vaccine possibly related to histamine-sensitizing factor.抑制巨噬细胞对脑损伤的反应。百日咳疫苗的一种新作用,可能与组胺致敏因子有关。
Am J Pathol. 1972 May;67(2):349-60.
J Exp Med. 1960 Jan 1;111(1):119-36. doi: 10.1084/jem.111.1.119.
4
THE EFFECT OF BACTERIAL PYROGEN ON THE BLOOD-BRAIN BARRIER FOR TRYPAN BLUE.细菌热原对锥虫蓝血脑屏障的影响。
J Pathol Bacteriol. 1965 Apr;89:481-94.
5
A HYPERACUTE FORM OF ALLERGIC ENCEPHALOMYELITIS.一种超急性形式的变应性脑脊髓炎。
Am J Pathol. 1965 Jul;47(1):61-88.
6
STUDIES ON THE LYMPHOCYTOSIS INDUCED IN MICE BY BORDETELLA PERTUSSIS.百日咳博德特氏菌诱导小鼠淋巴细胞增多的研究
J Exp Med. 1965 Jan 1;121(1):49-68. doi: 10.1084/jem.121.1.49.
7
AN ANALYSIS OF COMPONENTS OF FREUND'S ADJUVANTS IN THE PRODUCTION OF EXPERIMENTAL "ALLERGIC" ENCEPHALOMYELITIS IN THE GUINEA PIG.弗氏佐剂成分在豚鼠实验性“过敏性”脑脊髓炎产生中的分析
Z Immunitats Allergieforsch. 1964 Mar;126:193-208.
8
SUBSTITUTES FOR THE MYCOBACTERIA IN FREUND'S ADJUVANTS IN THE PRODUCTION OF EXPERIMENTAL "ALLERGIC" ENCEPHALOMYELITIS IN THE GUINEA PIG.弗氏佐剂中分枝杆菌的替代物在豚鼠实验性“过敏性”脑脊髓炎产生中的作用
J Immunol. 1964 Jan;92:28-40.
9
Hemorrhagic reactions in animals sensitized with ovalbumin in adjuvants containing mycobacteria. II. Relation to "delayed" hypersensitivity.在含有分枝杆菌的佐剂中用卵清蛋白致敏的动物的出血反应。II. 与“迟发性”超敏反应的关系。
Proc Soc Exp Biol Med. 1959 Oct;102:140-6. doi: 10.3181/00379727-102-25171.
10
Experimental meningoencephalomyelitis produced by hemophilus pertussis.由百日咳嗜血杆菌引起的实验性脑膜脑脊髓炎。
AMA Arch Pathol. 1959 Jun;67(6):694-9.