Suppr超能文献

缺乏K88、K99和987P抗原的产肠毒素大肠杆菌猪源菌株的菌毛产生、血凝和黏附

Pilus production, hemagglutination, and adhesion by porcine strains of enterotoxigenic Escherichia coli lacking K88, K99, and 987P antigens.

作者信息

Awad-Masalmeh M, Moon H W, Runnels P L, Schneider R A

出版信息

Infect Immun. 1982 Jan;35(1):305-13. doi: 10.1128/iai.35.1.305-313.1982.

Abstract

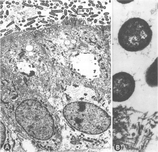
Three strains of enterotoxigenic Escherichia coli which adhered, colonized intensively, and caused disease in pig intestine, but which did not produce pili of the K88, K99, or 987P antigen types were designated 3P(-) ETEC. The 3P(-) ETEC caused mannose-resistant hemagglutination, adhered to porcine intestinal epithelial cells in vitro, and produced pili. However, most bacteria taken directly from the intestine of pigs infected with 3P(-) ETEC appeared to be nonpiliated. Two preparations were isolated from the 3P(-) ETEC. One (material A) contained pili, caused mannose-sensitive hemagglutination, and did not inhibit adhesion of whole bacteria to epithelial cells in vitro. The other (material B) had no demonstrable pili, caused mannose-resistant hemagglutination, and blocked ahesion of bacteria to epithelial cells in vitro. Antiserum against an acapsular mutant (K(-)) of one 3P(-) ETEC strain was absorbed to remove antibodies directed against somatic (O) antigen. The absorbed antiserum agglutinated all three 3P(-) ETEC strains grown in the K(-) form at 37 degrees C, but not when they were grown at 18 degrees C. The absorbed antiserum blocked the hemagglutinating activity of material B, but not of material A. It also reacted (via indirect immunofluorescence) with all of the 3P(-) ETEC when they were grown in pig intestine. The results were interpreted to indicate that: (i) the epithelial adhesive and mannose-resistant hemagglutinating activities of the 3P(-) ETEC strains may be mediated by an antigen contained in material B; (ii) this antigen either is not pilus associated or is associated with pili that are not demonstrable by the methods used here; (iii) the 3P(-) ETEC strains produce type 1 pili which do not mediate their adhesion to intestinal epithelium of pigs.

摘要

三株产肠毒素大肠杆菌在猪肠道内黏附、大量定植并致病,但不产生K88、K99或987P抗原类型的菌毛,被命名为3P(-) ETEC。3P(-) ETEC引起甘露糖抗性血凝反应,能在体外黏附猪肠道上皮细胞并产生菌毛。然而,直接从感染3P(-) ETEC的猪肠道中获取的大多数细菌似乎没有菌毛。从3P(-) ETEC中分离出两种制剂。一种(物质A)含有菌毛,引起甘露糖敏感血凝反应,且在体外不抑制全菌对上皮细胞的黏附。另一种(物质B)未检测到菌毛,引起甘露糖抗性血凝反应,并在体外阻断细菌对上皮细胞的黏附。用一株3P(-) ETEC菌株的无荚膜突变体(K(-))制备的抗血清经吸收以去除针对体细胞(O)抗原的抗体。吸收后的抗血清能凝集在37℃以K(-)形式生长的所有三株3P(-) ETEC菌株,但不能凝集在18℃生长的菌株。吸收后的抗血清阻断了物质B的血凝活性,但未阻断物质A的血凝活性。它还(通过间接免疫荧光法)与在猪肠道中生长的所有3P(-) ETEC发生反应。结果表明:(i)3P(-) ETEC菌株的上皮黏附及甘露糖抗性血凝活性可能由物质B中所含的一种抗原介导;(ii)该抗原要么与菌毛无关,要么与用此处所用方法无法检测到的菌毛相关;(iii)3P(-) ETEC菌株产生1型菌毛,但这些菌毛并不介导其对猪肠道上皮细胞的黏附。

https://cdn.ncbi.nlm.nih.gov/pmc/blobs/54db/351030/d2e141b51bb7/iai00153-0325-a.jpg

文献AI研究员

20分钟写一篇综述,助力文献阅读效率提升50倍。

立即体验

用中文搜PubMed

大模型驱动的PubMed中文搜索引擎

马上搜索

文档翻译

学术文献翻译模型,支持多种主流文档格式。

立即体验