Zühlsdorf M, Imort M, Hasilik A, von Figura K
Biochem J. 1983 Sep 1;213(3):733-40. doi: 10.1042/bj2130733.
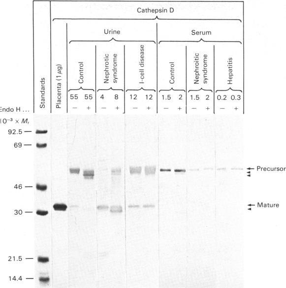
A procedure is described that allows the characterization of the molecular forms of beta-hexosaminidase and cathepsin D in controls and pathological specimens of human serum and human urine. The following observations were made. (1) In human serum, beta-hexosaminidase (alpha- and beta-chain) and cathepsin D are present predominantly in their high-molecular-weight precursor forms. In human urine, these enzymes exist as both precursor and mature forms. (2) Cathepsin D precursor from serum and urine differs in the number of oligosaccharides that are sensitive to endo-beta-N-acetylglucosaminidase H. Therefore the urine enzyme is not likely to originate from the serum. (3) The presence exclusively of precursors of beta-hexosaminidase and of cathepsin D in the sera of patients with hepatitis suggests that in hepatitis secretion of lysosomal enzymes is elevated, rather than the enzymes leaking from damaged cells. (4) In the urine of patients with nephrotic syndrome, beta-hexosaminidase and cathepsin D are present in grossly elevated amounts, but do not differ in the polypeptide patterns from controls. (5) In urine from a patient with mucolipidosis II, the elevated activity of beta-hexosaminidase is accounted for mainly by the precursor forms. Mature beta-chain of beta-hexosaminidase is lacking, and incompletely processed beta-hexosaminidase polypeptides are present. Both the precursor and the mature forms of cathepsin D are increased. They contain only complex oligosaccharides.
本文描述了一种方法,可用于鉴定人血清和人尿液的对照样本及病理样本中β-己糖胺酶和组织蛋白酶D的分子形式。得到了以下观察结果:(1)在人血清中,β-己糖胺酶(α链和β链)和组织蛋白酶D主要以高分子量前体形式存在。在人尿液中,这些酶以前体和成熟形式存在。(2)血清和尿液中的组织蛋白酶D前体对内切β-N-乙酰葡糖胺酶H敏感的寡糖数量不同。因此,尿液中的酶不太可能来源于血清。(3)肝炎患者血清中仅存在β-己糖胺酶和组织蛋白酶D的前体,这表明在肝炎中溶酶体酶的分泌增加,而非酶从受损细胞中渗漏。(4)在肾病综合征患者的尿液中,β-己糖胺酶和组织蛋白酶D的含量大幅升高,但多肽模式与对照无差异。(5)在一名黏脂贮积症II型患者的尿液中,β-己糖胺酶活性升高主要由前体形式所致。β-己糖胺酶的成熟β链缺失,存在未完全加工的β-己糖胺酶多肽。组织蛋白酶D的前体和成熟形式均增加。它们仅含有复合寡糖。