• 文献检索
  • 文档翻译
  • 深度研究
  • 学术资讯
  • Suppr Zotero 插件Zotero 插件
  • 邀请有礼
  • 套餐&价格
  • 历史记录
应用&插件
Suppr Zotero 插件Zotero 插件浏览器插件Mac 客户端Windows 客户端微信小程序
定价
高级版会员购买积分包购买API积分包
服务
文献检索文档翻译深度研究API 文档MCP 服务
关于我们
关于 Suppr公司介绍联系我们用户协议隐私条款
关注我们

Suppr 超能文献

核心技术专利:CN118964589B侵权必究
粤ICP备2023148730 号-1Suppr @ 2026

文献检索

告别复杂PubMed语法,用中文像聊天一样搜索,搜遍4000万医学文献。AI智能推荐,让科研检索更轻松。

立即免费搜索

文件翻译

保留排版,准确专业,支持PDF/Word/PPT等文件格式,支持 12+语言互译。

免费翻译文档

深度研究

AI帮你快速写综述,25分钟生成高质量综述,智能提取关键信息,辅助科研写作。

立即免费体验

来自GR和C3Hf小鼠品系的正常和肿瘤组织中鼠乳腺肿瘤病毒的前病毒

Proviruses of mouse mammary tumor virus in normal and neoplastic tissues from GR and C3Hf mouse strains.

作者信息

Cohen J C, Varmus H E

出版信息

J Virol. 1980 Aug;35(2):298-305. doi: 10.1128/JVI.35.2.298-305.1980.

DOI:10.1128/JVI.35.2.298-305.1980
PMID:6255172
原文链接:https://pmc.ncbi.nlm.nih.gov/articles/PMC288813/
Abstract

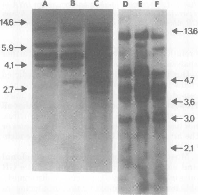
We analyzed two experimental situations to assess the role of endogenous mouse mammary tumor virus (MMTV) DNA in the genesis of mammary carcinomas. (i) GR mice carry in their germ line one or more proviruses indistinguishable by limited restriction mapping from the proviruses introduced into cells by experimental infection with the highly tumorigenic virus isolated from GR mouse milk, MMTV(GR). Most tumors arising in GR mice contain one or more proviruses at various sites in tumor DNA in addition to those present endogenously. Detection of these new proviruses is possible as a consequence of the clonal or quasiclonal character of the tumors. (ii) C3H/He mice carry three units of endogenous viral DNA, none of which resembles the DNA of the commonly encountered strains of milk-borne MMTV. Nevertheless, MMTV-associated tumors arise late in life when these animals are removed from the influence of milk-borne virus; the responsible agent, MMTV(C3Hf), can also produce tumors in BALB/c mice. We found that tumors arising in both C3Hf/He mice and BALB/c mice infected with MMTV(C3Hf) were clonal or quasiclonal and contained one or more new copies of proviral DNA at various sites in the host genome. These new proviruses were readily distinguished from the proviruses of the common milk-borne virus strains and closely resembled unit II of endogenous MMTV DNA (Cohen et al., J. Virol., 32:483-496). Thus, in both experimental systems, we found evidence for new proviruses in mammary tumors, despite the preexistence of similar or identical proviruses in the germ line. The results suggest that the repositioning of MMTV proviruses may be required for the full expression of the oncogenic potential of endogenous MMTV DNA.

摘要

我们分析了两种实验情况,以评估内源性小鼠乳腺肿瘤病毒(MMTV)DNA在乳腺癌发生过程中的作用。(i)GR小鼠在其种系中携带一种或多种前病毒,通过有限的限制性图谱分析,这些前病毒与通过实验感染从GR小鼠乳汁中分离出的高致瘤性病毒MMTV(GR)导入细胞的前病毒无法区分。除了内源性存在的那些前病毒外,GR小鼠中出现的大多数肿瘤在肿瘤DNA的不同位点还含有一种或多种前病毒。由于肿瘤的克隆或准克隆特性,这些新前病毒是可以检测到的。(ii)C3H/He小鼠携带三个内源性病毒DNA单位,其中没有一个与常见的乳汁传播的MMTV菌株的DNA相似。然而,当这些动物不再受乳汁传播病毒的影响时,MMTV相关肿瘤在其生命后期出现;致病因子MMTV(C3Hf)也能在BALB/c小鼠中产生肿瘤。我们发现,感染MMTV(C3Hf)的C3Hf/He小鼠和BALB/c小鼠中出现的肿瘤都是克隆性或准克隆性的,并且在宿主基因组的不同位点含有一个或多个前病毒DNA的新拷贝。这些新前病毒很容易与常见的乳汁传播病毒株的前病毒区分开来,并且与内源性MMTV DNA的单位II非常相似(Cohen等人,《病毒学杂志》,32:483 - 496)。因此,在这两个实验系统中,尽管种系中已经存在相似或相同的前病毒,我们还是在乳腺肿瘤中发现了新前病毒的证据。结果表明,MMTV前病毒的重新定位可能是内源性MMTV DNA致癌潜力充分表达所必需的。

https://cdn.ncbi.nlm.nih.gov/pmc/blobs/d949/288813/5c9f642d9051/jvirol00176-0035-a.jpg
https://cdn.ncbi.nlm.nih.gov/pmc/blobs/d949/288813/32231b5c069b/jvirol00176-0032-a.jpg
https://cdn.ncbi.nlm.nih.gov/pmc/blobs/d949/288813/4094480e34b2/jvirol00176-0033-a.jpg
https://cdn.ncbi.nlm.nih.gov/pmc/blobs/d949/288813/e05d8197a00b/jvirol00176-0034-a.jpg
https://cdn.ncbi.nlm.nih.gov/pmc/blobs/d949/288813/5c9f642d9051/jvirol00176-0035-a.jpg
https://cdn.ncbi.nlm.nih.gov/pmc/blobs/d949/288813/32231b5c069b/jvirol00176-0032-a.jpg
https://cdn.ncbi.nlm.nih.gov/pmc/blobs/d949/288813/4094480e34b2/jvirol00176-0033-a.jpg
https://cdn.ncbi.nlm.nih.gov/pmc/blobs/d949/288813/e05d8197a00b/jvirol00176-0034-a.jpg
https://cdn.ncbi.nlm.nih.gov/pmc/blobs/d949/288813/5c9f642d9051/jvirol00176-0035-a.jpg

相似文献

1
Proviruses of mouse mammary tumor virus in normal and neoplastic tissues from GR and C3Hf mouse strains.来自GR和C3Hf小鼠品系的正常和肿瘤组织中鼠乳腺肿瘤病毒的前病毒
J Virol. 1980 Aug;35(2):298-305. doi: 10.1128/JVI.35.2.298-305.1980.
2
Mammary tumor virus proviral DNA in normal murine tissue and non-virally induced mammary tumors.正常鼠组织和非病毒诱导的乳腺肿瘤中的乳腺肿瘤病毒前病毒DNA
J Virol. 1981 Aug;39(2):367-76. doi: 10.1128/JVI.39.2.367-376.1981.
3
Mouse mammary tumor virus proviral sequences congenital to C3H/Sm mice are differentially hypomethylated in chemically induced, virus-induced, and spontaneous mammary tumors.C3H/Sm小鼠先天性携带的小鼠乳腺肿瘤病毒前病毒序列,在化学诱导、病毒诱导和自发性乳腺肿瘤中存在差异低甲基化。
J Virol. 1982 Sep;43(3):876-84. doi: 10.1128/JVI.43.3.876-884.1982.
4
Organization and expression of mouse mammary tumor virus sequences in normal and neoplastic C3Hf/HeSed mouse tissues.正常和肿瘤性C3Hf/HeSed小鼠组织中小鼠乳腺肿瘤病毒序列的组织与表达
J Virol. 1984 Nov;52(2):328-35. doi: 10.1128/JVI.52.2.328-335.1984.
5
Mammary tumorigenesis in C3Hf/Ki mice: examination of germinal mouse mammary tumor viruses and the int-1 and int-2 putative proto-oncogenes.C3Hf/Ki小鼠的乳腺肿瘤发生:对生殖系小鼠乳腺肿瘤病毒以及int-1和int-2假定原癌基因的检测
Virus Res. 1985 Apr;2(3):231-43. doi: 10.1016/0168-1702(85)90011-5.
6
Integration of new endogenous mouse mammary tumor virus proviral DNA at common sites in the DNA of mammary tumors of C3Hf mice and hypomethylation of the endogenous mouse mammary tumor virus proviral DNA in C3Hf mammary tumors and spleens.新的内源性小鼠乳腺肿瘤病毒前病毒DNA整合于C3Hf小鼠乳腺肿瘤DNA的常见位点,以及C3Hf乳腺肿瘤和脾脏中内源性小鼠乳腺肿瘤病毒前病毒DNA的低甲基化。
J Virol. 1983 Jan;45(1):114-23. doi: 10.1128/JVI.45.1.114-123.1983.
7
Acquisition of proviral DNA of mouse mammary tumor virus in thymic leukemia cells from GR mice.从GR小鼠的胸腺白血病细胞中获取小鼠乳腺肿瘤病毒的前病毒DNA。
J Virol. 1982 Sep;43(3):819-29. doi: 10.1128/JVI.43.3.819-829.1982.
8
Mammary tumorigenesis and tumor morphology in four C3H sublines with or without exogenous mammary tumor virus.四个有或没有外源性乳腺肿瘤病毒的C3H亚系中的乳腺肿瘤发生及肿瘤形态
Cancer Res. 1986 Apr;46(4 Pt 2):2096-100.
9
Characterization and chromosomal distribution of endogenous mouse mammary tumor viruses of European mouse strains STS/A and GR/A.欧洲小鼠品系STS/A和GR/A的内源性小鼠乳腺肿瘤病毒的特征及染色体分布
Virology. 1985 Apr 30;142(2):278-90. doi: 10.1016/0042-6822(85)90336-8.
10
Establishment of a C3Hf mammary tumor cell line expressing endogenous mouse mammary tumor virus: antigenic and genetic relationships of this virus with highly oncogenic mouse mammary tumor viruses.表达内源性小鼠乳腺肿瘤病毒的C3Hf乳腺肿瘤细胞系的建立:该病毒与高度致癌性小鼠乳腺肿瘤病毒的抗原及遗传关系
J Virol. 1979 Dec;32(3):852-9. doi: 10.1128/JVI.32.3.852-859.1979.

引用本文的文献

1
Mitochondrial mass, a new metabolic biomarker for stem-like cancer cells: Understanding WNT/FGF-driven anabolic signaling.线粒体质量,一种用于干性癌细胞的新型代谢生物标志物:了解WNT/FGF驱动的合成代谢信号传导。
Oncotarget. 2015 Oct 13;6(31):30453-71. doi: 10.18632/oncotarget.5852.
2
Characterization of mammary plaques in DDD mice congenic for Mtv-2 gene, DDD/1-Mtv-2/Mtv-2.DDD小鼠(DDD/1-Mtv-2/Mtv-2)中Mtv-2基因同源的乳腺斑块的特征分析。
Jpn J Cancer Res. 1993 Jan;84(1):48-54. doi: 10.1111/j.1349-7006.1993.tb02783.x.
3
The chromosomal integration site determines the tissue-specific methylation of mouse mammary tumour virus proviral genes.

本文引用的文献

1
Methylation of milk-borne and genetically transmitted mouse mammary tumor virus proviral DNA.乳源性和基因传播的小鼠乳腺肿瘤病毒前病毒DNA的甲基化
Cell. 1980 Mar;19(3):653-62. doi: 10.1016/s0092-8674(80)80042-0.
2
Note on a new inbred mouse-strain GR-A.关于一种新的近交系小鼠品系GR-A的说明。
Eur J Cancer (1965). 1965 Oct;1(2):123-4. doi: 10.1016/0014-2964(65)90003-4.
3
Analysis of endonuclease R-EcoRI fragments of DNA from lambdoid bacteriophages and other viruses by agarose-gel electrophoresis.通过琼脂糖凝胶电泳分析来自λ样噬菌体和其他病毒的DNA的核酸内切酶R-EcoRI片段。
染色体整合位点决定小鼠乳腺肿瘤病毒前病毒基因的组织特异性甲基化。
EMBO J. 1984 May;3(5):1129-35. doi: 10.1002/j.1460-2075.1984.tb01941.x.
4
Integration of new endogenous mouse mammary tumor virus proviral DNA at common sites in the DNA of mammary tumors of C3Hf mice and hypomethylation of the endogenous mouse mammary tumor virus proviral DNA in C3Hf mammary tumors and spleens.新的内源性小鼠乳腺肿瘤病毒前病毒DNA整合于C3Hf小鼠乳腺肿瘤DNA的常见位点,以及C3Hf乳腺肿瘤和脾脏中内源性小鼠乳腺肿瘤病毒前病毒DNA的低甲基化。
J Virol. 1983 Jan;45(1):114-23. doi: 10.1128/JVI.45.1.114-123.1983.
5
Mouse mammary tumor virus proviral sequences congenital to C3H/Sm mice are differentially hypomethylated in chemically induced, virus-induced, and spontaneous mammary tumors.C3H/Sm小鼠先天性携带的小鼠乳腺肿瘤病毒前病毒序列,在化学诱导、病毒诱导和自发性乳腺肿瘤中存在差异低甲基化。
J Virol. 1982 Sep;43(3):876-84. doi: 10.1128/JVI.43.3.876-884.1982.
6
Identification of a unique mouse mammary tumor virus in the BALB/cNIV mouse strain.在BALB/cNIV小鼠品系中鉴定出一种独特的小鼠乳腺肿瘤病毒。
J Virol. 1982 Jul;43(1):158-65. doi: 10.1128/JVI.43.1.158-165.1982.
7
Conservation of protein coding potential in the long terminal repeats of exogenous and endogenous mouse mammary tumor viruses.外源性和内源性小鼠乳腺肿瘤病毒长末端重复序列中蛋白质编码潜能的保守性
J Virol. 1982 Jun;42(3):880-8. doi: 10.1128/JVI.42.3.880-888.1982.
8
Restriction endonuclease mapping of the proviral DNA of the exogenous RIII murine mammary tumor virus.外源性RIII小鼠乳腺肿瘤病毒前病毒DNA的限制性内切酶图谱分析
J Virol. 1982 Mar;41(3):855-67. doi: 10.1128/JVI.41.3.855-867.1982.
9
Methylation and amplification of mouse mammary tumor virus DNA in normal, premalignant, and malignant cells of GR/A mice.GR/A小鼠正常、癌前和恶性细胞中鼠乳腺肿瘤病毒DNA的甲基化与扩增
J Virol. 1982 Mar;41(3):1007-13. doi: 10.1128/JVI.41.3.1007-1013.1982.
10
Activation of related transforming genes in mouse and human mammary carcinomas.小鼠和人类乳腺癌中相关转化基因的激活。
Proc Natl Acad Sci U S A. 1981 Aug;78(8):5185-9. doi: 10.1073/pnas.78.8.5185.
J Virol. 1974 Nov;14(5):1235-44. doi: 10.1128/JVI.14.5.1235-1244.1974.
4
Evidence that the AKR murine-leukemia-virus genome is complete in DNA of the high-virus AKR mouse and incomplete in the DNA of the "virus-negative" NIH mouse.有证据表明,AKR鼠白血病病毒基因组在高病毒血症AKR小鼠的DNA中是完整的,而在“病毒阴性”NIH小鼠的DNA中是不完整的。
Proc Natl Acad Sci U S A. 1974 Jan;71(1):167-71. doi: 10.1073/pnas.71.1.167.
5
Transcription of mouse mammary tumor virus genes in tissues from high and low tumor incidence mouse strains.高肿瘤发生率和低肿瘤发生率小鼠品系组织中小鼠乳腺肿瘤病毒基因的转录
J Mol Biol. 1973 Oct 5;79(4):663-79. doi: 10.1016/0022-2836(73)90070-3.
6
Genetic transmission of viruses that incite mammary tumor in mice.引发小鼠乳腺肿瘤的病毒的基因传递。
Proc Natl Acad Sci U S A. 1970 Sep;67(1):377-84. doi: 10.1073/pnas.67.1.377.
7
The mammary tumor virus (MTV).乳腺肿瘤病毒(MTV)。
Curr Top Microbiol Immunol. 1968;45:1-69. doi: 10.1007/978-3-642-50109-8_1.
8
Incorporation of oligodeoxynucleotides into DNA.将寡脱氧核苷酸掺入DNA中。
Proc Natl Acad Sci U S A. 1968 Sep;61(1):284-91. doi: 10.1073/pnas.61.1.284.
9
An interference phenomenon associated with resistance to infection with mouse mammary tumor virus.
J Natl Cancer Inst. 1965 Aug;35(2):299-308.
10
Host-virus interactions in murine mammary carcinogenesis.小鼠乳腺癌发生过程中的宿主-病毒相互作用
Biochim Biophys Acta. 1974 Dec 31;355(3-4):236-59. doi: 10.1016/0304-419x(74)90012-2.