Suppr超能文献

萨斯喀彻温省商业肉鸡群中的亚临床传染性法氏囊病

Subclinical infectious bursal disease in commercial broiler flocks in Saskatchewan.

作者信息

Armstrong L D, Tabel H, Riddell C

出版信息

Can J Comp Med. 1981 Jan;45(1):26-33.

Abstract

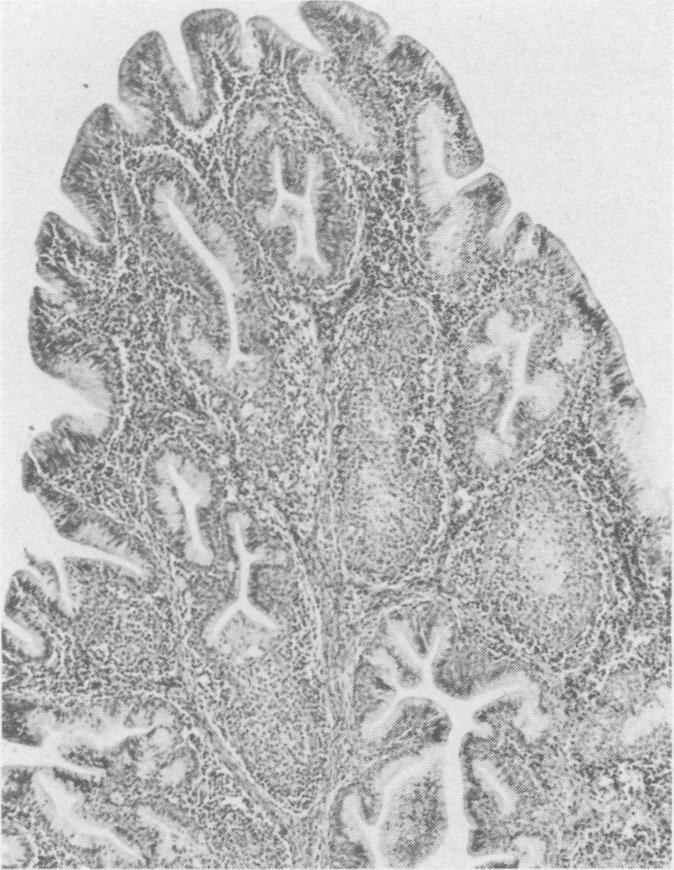
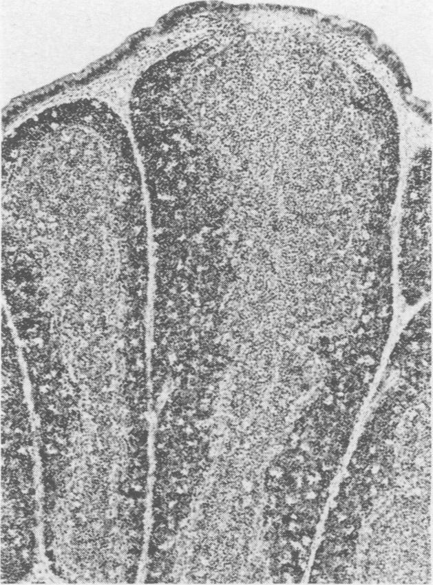
Five commercial broiler flocks, not vaccinated for infectious bursal disease virus, derived from infectious bursal disease virus-vaccinated breeder flocks were surveyed for evidence of bursal damage and infectious bursal disease virus infection. They were compared with two groups of birds raised in isolation. Serum samples from one day old chicks contained maternal anti-infectious bursal disease virus antibodies which declined to undetectable levels by four weeks of age. Serum antibody levels remained undetectable in both control groups and one commercial flock, whereas four of the five commercial flocks had actively produced anti-infectious bursal disease virus antibodies by slaughter age. The weight of bursae from infectious bursal disease virus-positive flocks declined as compared to controls after four weeks of age. The decline in weight correlated with the appearance of histopathological lesions. Infectious bursal disease virus antigen was demonstrated in selected infected bursae and infectious bursal disease bursae and infectious bursal disease virus was isolated from some of these damaged bursae. Clinical infectious bursal disease was not observed in any of the commercial flocks. The importance of subclinical bursal damage and immunosuppression is discussed.

摘要

对五群未接种传染性法氏囊病病毒疫苗、来自接种过传染性法氏囊病病毒疫苗的种鸡群的商品肉鸡进行了调查,以寻找法氏囊损伤和传染性法氏囊病病毒感染的证据。将它们与两组隔离饲养的鸡进行比较。一日龄雏鸡的血清样本含有母源抗传染性法氏囊病病毒抗体,这些抗体在四周龄时降至无法检测的水平。在两个对照组和一群商品肉鸡中,血清抗体水平一直无法检测到,而五群商品肉鸡中有四群在屠宰时已主动产生了抗传染性法氏囊病病毒抗体。四周龄后,传染性法氏囊病病毒阳性鸡群的法氏囊重量与对照组相比有所下降。重量的下降与组织病理学损伤的出现相关。在选定的受感染法氏囊中检测到了传染性法氏囊病病毒抗原,并且从其中一些受损法氏囊中分离出了传染性法氏囊病病毒。在任何一群商品肉鸡中均未观察到临床传染性法氏囊病。文中讨论了亚临床法氏囊损伤和免疫抑制的重要性。

https://cdn.ncbi.nlm.nih.gov/pmc/blobs/07aa/1320116/dc83b42ffba7/compmed00017-0032-a.jpg

文献检索

告别复杂PubMed语法,用中文像聊天一样搜索,搜遍4000万医学文献。AI智能推荐,让科研检索更轻松。

立即免费搜索

文件翻译

保留排版,准确专业,支持PDF/Word/PPT等文件格式,支持 12+语言互译。

免费翻译文档

深度研究

AI帮你快速写综述,25分钟生成高质量综述,智能提取关键信息,辅助科研写作。

立即免费体验